2 million antibody products . Find yours today
View products

21 matching Gremlin 2, DAN Family BMP Antagonist antibodies for Enzyme Linked Immunosorbent Assay from 7 suppliers

Superstar Kits

Gremlin 2, DAN Family BMP Antagonist information

Aliases

Gremlin 2, DAN Family BMP Antagonist is also known as Cktsf1b2, DAN domain family member 3, DAND3, GREM2, Gremlin-2, PRDC

1 Applications, 9 Species currently selected


View matching ELISA Kits

21 matching Gremlin 2, DAN Family BMP Antagonist antibodies for Enzyme Linked Immunosorbent Assay after applying filters

Click each Gremlin 2, DAN Family BMP Antagonist antibody that interests you to view the full Gremlin 2, DAN Family BMP Antagonist antibody datasheet.
View only Gremlin 2, DAN Family BMP Antagonist Monoclonal Antibodies or Gremlin 2, DAN Family BMP Antagonist Polyclonal Antibodies

Enzyme Linked Immunosorbent Assay - Use Filter to switch application

Supplier data
Novus Biologicals
H00064388-M02
Mouse Mono [4D9], 100 ug
Hu
ELISA

Western Blot

Supplier data
Novus Biologicals
H00064388-B01P
Mouse Poly, 50 ug
Hu
ELISA, WB
ELISA
Supplier data
St John's Laboratory
STJ98772
Rabbit Poly, 100 ul
Hu, Mo
ELISA, IHC-P, WB
ELISA, IHC-P
Supplier data
Lifespan Biosciences
LS-C813862
Rabbit Poly, 1 Vial
Hu, Mo
ELISA, IHC-F, IHC-P, WB
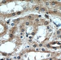
ELISA, IHC-F, Gremlin 2, DAN Family BMP Antagonist antibody, LS-C813862, Lifespan Biosciences, Immunohistochemistry paraffin image  IHC-P

Immunohistochemistry paraffin

Supplier data
FineTest
FNab03644
Rabbit Poly, 100 ug
Hu, Mo
ELISA, IHC-F, IHC-P
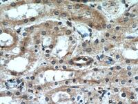
ELISA, Gremlin 2, DAN Family BMP Antagonist antibody, FNab03644, FineTest, Immunohistochemistry frozen image  IHC-F
Supplier data
Proteintech Group
13892-1-AP
Rabbit Poly, 150 ul
Hu, Mo, Rt
ELISA, IHC-F, IHC-P
ELISA, Gremlin 2, DAN Family BMP Antagonist antibody, 13892-1-AP, Proteintech Group, Immunohistochemistry frozen image  IHC-F
Supplier data
Lifespan Biosciences
LS-B8919
Rabbit Poly, 50 ul
Hu
ELISA, IHC-F, IHC-P
ELISA, Gremlin 2, DAN Family BMP Antagonist antibody, LS-B8919, Lifespan Biosciences, Immunohistochemistry frozen image  IHC-F
Supplier data
Lifespan Biosciences
LS-C813862
Rabbit Poly, 1 Vial
Hu, Mo
ELISA, IHC-F, IHC-P, WB
ELISA, IHC-F, Gremlin 2, DAN Family BMP Antagonist antibody, LS-C813862, Lifespan Biosciences, Western Blot image  WB
Supplier data
Biorbyt
orb137407
Rabbit Poly, 50 ul
Hu, Mo, Rt
ELISA, IHC-P
ELISA

Immunohistochemistry frozen

Supplier data
FineTest
FNab03644
Rabbit Poly, 100 ug
Hu, Mo
ELISA, IHC-F, IHC-P
ELISA, Gremlin 2, DAN Family BMP Antagonist antibody, FNab03644, FineTest, Immunohistochemistry paraffin image  IHC-P
Supplier data
Proteintech Group
13892-1-AP
Rabbit Poly, 150 ul
Hu, Mo, Rt
ELISA, IHC-F, IHC-P
ELISA, Gremlin 2, DAN Family BMP Antagonist antibody, 13892-1-AP, Proteintech Group, Immunohistochemistry paraffin image  IHC-P