2 million antibody products . Find yours today
View products

9 matching DM1 Locus, WD Repeat Containing antibodies for Immunocytochemistry from 7 suppliers

Superstar Kits

DM1 Locus, WD Repeat Containing information

Aliases

DM1 Locus, WD Repeat Containing is also known as DM9, DMWD, Protein 59, Protein DMR-N9

1 Applications, 6 Species currently selected

All  None               
  WB External link   IHC-P External link   IHC-F External link   ELISA External link   ICC External link   IF External link   IP External link
Human  External link   13       9       9       4       3       3       2   
Mouse  External link    4       2   
Rat  External link    4       2   
Equine  External link    1   
Guinea Pig  External link    1   
Canine  External link    1   

View matching ELISA Kits

9 matching DM1 Locus, WD Repeat Containing antibodies for Immunocytochemistry after applying filters

Click each DM1 Locus, WD Repeat Containing antibody that interests you to view the full DM1 Locus, WD Repeat Containing antibody datasheet.
View only DM1 Locus, WD Repeat Containing Monoclonal Antibodies or DM1 Locus, WD Repeat Containing Polyclonal Antibodies

Immunocytochemistry - Use Filter to switch application

Supplier data
Novus Biologicals
NBP2-49548
Rabbit Poly, 100 ul
Hu
ICC, IF, IHC-F, IHC-P, WB
DM1 Locus, WD Repeat Containing antibody, NBP2-49548, Novus Biologicals, Immunofluorescence image  IF, DM1 Locus, WD Repeat Containing antibody, NBP2-49548, Novus Biologicals, Immunohistochemistry frozen image  IHC-F, DM1 Locus, WD Repeat Containing antibody, NBP2-49548, Novus Biologicals, Immunohistochemistry paraffin image  IHC-P, DM1 Locus, WD Repeat Containing antibody, NBP2-49548, Novus Biologicals, Western Blot image  WB
Supplier data
Atlas Antibodies
HPA068172
Rabbit Poly, 100 ul
Hu
ICC, IF, IHC-F, IHC-P, WB
DM1 Locus, WD Repeat Containing antibody, HPA068172, Atlas Antibodies, Immunofluorescence image  IF, DM1 Locus, WD Repeat Containing antibody, HPA068172, Atlas Antibodies, Immunohistochemistry frozen image  IHC-F, DM1 Locus, WD Repeat Containing antibody, HPA068172, Atlas Antibodies, Immunohistochemistry paraffin image  IHC-P, DM1 Locus, WD Repeat Containing antibody, HPA068172, Atlas Antibodies, Western Blot image  WB

Western Blot

Supplier data
Novus Biologicals
NBP2-49548
Rabbit Poly, 100 ul
Hu
ICC, IF, IHC-F, IHC-P, WB
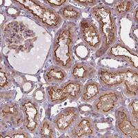
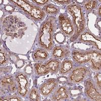
DM1 Locus, WD Repeat Containing antibody, NBP2-49548, Novus Biologicals, Immunocytochemistry image  ICC, DM1 Locus, WD Repeat Containing antibody, NBP2-49548, Novus Biologicals, Immunofluorescence image  IF, DM1 Locus, WD Repeat Containing antibody, NBP2-49548, Novus Biologicals, Immunohistochemistry frozen image  IHC-F, DM1 Locus, WD Repeat Containing antibody, NBP2-49548, Novus Biologicals, Immunohistochemistry paraffin image  IHC-P
Supplier data
Invitrogen Antibodies
PA5-64364
Rabbit Poly, 100 ul
Hu
ICC, IF, IHC-F, IHC-P, WB
ICC, DM1 Locus, WD Repeat Containing antibody, PA5-64364, Invitrogen Antibodies, Immunofluorescence image  IF, DM1 Locus, WD Repeat Containing antibody, PA5-64364, Invitrogen Antibodies, Immunohistochemistry frozen image  IHC-F, DM1 Locus, WD Repeat Containing antibody, PA5-64364, Invitrogen Antibodies, Immunohistochemistry paraffin image  IHC-P
Supplier data
Atlas Antibodies
HPA068172
Rabbit Poly, 100 ul
Hu
ICC, IF, IHC-F, IHC-P, WB
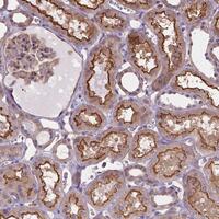
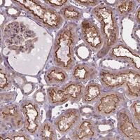
DM1 Locus, WD Repeat Containing antibody, HPA068172, Atlas Antibodies, Immunocytochemistry image  ICC, DM1 Locus, WD Repeat Containing antibody, HPA068172, Atlas Antibodies, Immunofluorescence image  IF, DM1 Locus, WD Repeat Containing antibody, HPA068172, Atlas Antibodies, Immunohistochemistry frozen image  IHC-F, DM1 Locus, WD Repeat Containing antibody, HPA068172, Atlas Antibodies, Immunohistochemistry paraffin image  IHC-P

Immunohistochemistry paraffin

Supplier data
Novus Biologicals
NBP2-49548
Rabbit Poly, 100 ul
Hu
ICC, IF, IHC-F, IHC-P, WB
DM1 Locus, WD Repeat Containing antibody, NBP2-49548, Novus Biologicals, Immunocytochemistry image  ICC, DM1 Locus, WD Repeat Containing antibody, NBP2-49548, Novus Biologicals, Immunofluorescence image  IF, DM1 Locus, WD Repeat Containing antibody, NBP2-49548, Novus Biologicals, Immunohistochemistry frozen image  IHC-F, DM1 Locus, WD Repeat Containing antibody, NBP2-49548, Novus Biologicals, Western Blot image  WB
Supplier data
Invitrogen Antibodies
PA5-64364
Rabbit Poly, 100 ul
Hu
ICC, IF, IHC-F, IHC-P, WB
ICC, DM1 Locus, WD Repeat Containing antibody, PA5-64364, Invitrogen Antibodies, Immunofluorescence image  IF, DM1 Locus, WD Repeat Containing antibody, PA5-64364, Invitrogen Antibodies, Immunohistochemistry frozen image  IHC-F, DM1 Locus, WD Repeat Containing antibody, PA5-64364, Invitrogen Antibodies, Western Blot image  WB
Supplier data
Atlas Antibodies
HPA068172
Rabbit Poly, 100 ul
Hu
ICC, IF, IHC-F, IHC-P, WB
DM1 Locus, WD Repeat Containing antibody, HPA068172, Atlas Antibodies, Immunocytochemistry image  ICC, DM1 Locus, WD Repeat Containing antibody, HPA068172, Atlas Antibodies, Immunofluorescence image  IF, DM1 Locus, WD Repeat Containing antibody, HPA068172, Atlas Antibodies, Immunohistochemistry frozen image  IHC-F, DM1 Locus, WD Repeat Containing antibody, HPA068172, Atlas Antibodies, Western Blot image  WB

Immunohistochemistry frozen

Supplier data
Novus Biologicals
NBP2-49548
Rabbit Poly, 100 ul
Hu
ICC, IF, IHC-F, IHC-P, WB
DM1 Locus, WD Repeat Containing antibody, NBP2-49548, Novus Biologicals, Immunocytochemistry image  ICC, DM1 Locus, WD Repeat Containing antibody, NBP2-49548, Novus Biologicals, Immunofluorescence image  IF, DM1 Locus, WD Repeat Containing antibody, NBP2-49548, Novus Biologicals, Immunohistochemistry paraffin image  IHC-P, DM1 Locus, WD Repeat Containing antibody, NBP2-49548, Novus Biologicals, Western Blot image  WB
Supplier data
Invitrogen Antibodies
PA5-64364
Rabbit Poly, 100 ul
Hu
ICC, IF, IHC-F, IHC-P, WB
ICC, DM1 Locus, WD Repeat Containing antibody, PA5-64364, Invitrogen Antibodies, Immunofluorescence image  IF, DM1 Locus, WD Repeat Containing antibody, PA5-64364, Invitrogen Antibodies, Immunohistochemistry paraffin image  IHC-P, DM1 Locus, WD Repeat Containing antibody, PA5-64364, Invitrogen Antibodies, Western Blot image  WB