2 million antibody products . Find yours today
View products

5 matching Transmembrane Protein 91 antibodies for Immunohistochemistry paraffin from 7 suppliers

Superstar Kits

Transmembrane Protein 91 information

Aliases

Transmembrane Protein 91 is also known as SynDIG3, TMEM91, TMM91

1 Applications, 9 Species currently selected


View matching ELISA Kits

5 matching Transmembrane Protein 91 antibodies for Immunohistochemistry paraffin after applying filters

Click each Transmembrane Protein 91 antibody that interests you to view the full Transmembrane Protein 91 antibody datasheet.
View only Transmembrane Protein 91 Monoclonal Antibodies or Transmembrane Protein 91 Polyclonal Antibodies

Immunohistochemistry paraffin - Use Filter to switch application

Supplier data
Antibodies Incorporated
73-186
Mouse Mono [N160/21], 5 ml
Mo, Rt
ICC, IHC-F, IHC-P, WB
ICC, Transmembrane Protein 91 antibody, 73-186, Antibodies Incorporated, Immunohistochemistry frozen image  IHC-F, Transmembrane Protein 91 antibody, 73-186, Antibodies Incorporated, Western Blot image  WB
Supplier data
Antibodies Incorporated
75-186
Mouse Mono [N160/21], 100 ul
Mo, Rt
ICC, IHC-F, IHC-P, WB
ICC, Transmembrane Protein 91 antibody, 75-186, Antibodies Incorporated, Immunohistochemistry frozen image  IHC-F, Transmembrane Protein 91 antibody, 75-186, Antibodies Incorporated, Western Blot image  WB
Supplier data
Atlas Antibodies
HPA053240
Rabbit Poly, 100 ul
Hu
IHC-F, IHC-P
Transmembrane Protein 91 antibody, HPA053240, Atlas Antibodies, Immunohistochemistry frozen image  IHC-F
Supplier data
Novus Biologicals
NBP2-13458
Rabbit Poly, 100 ul
Hu
IHC-F, IHC-P
Transmembrane Protein 91 antibody, NBP2-13458, Novus Biologicals, Immunohistochemistry frozen image  IHC-F
Supplier data
Epigentek
A63672-100
Rabbit Poly, 100 ug
Hu
ELISA, IF, IHC-F, IHC-P, WB
ELISA, Transmembrane Protein 91 antibody, A63672-100, Epigentek, Immunofluorescence image  IF, IHC-F, Transmembrane Protein 91 antibody, A63672-100, Epigentek, Western Blot image  WB
Supplier data
Invitrogen Antibodies
PA5-62763
Rabbit Poly, 100 ul
Hu
IHC-F, IHC-P
Transmembrane Protein 91 antibody, PA5-62763, Invitrogen Antibodies, Immunohistochemistry frozen image  IHC-F
Supplier data
Lifespan Biosciences
LS-C394873
Rabbit Poly, 1 Vial
Hu
ELISA, IF, IHC-P, WB
ELISA, Transmembrane Protein 91 antibody, LS-C394873, Lifespan Biosciences, Immunofluorescence image  IF, Transmembrane Protein 91 antibody, LS-C394873, Lifespan Biosciences, Western Blot image  WB
Supplier data
Cusabio
CSB-PA023896LA01HU
Rabbit Poly, 1 Vial
Hu
ELISA, IF, IHC-F, IHC-P, WB
ELISA, IF, Transmembrane Protein 91 antibody, CSB-PA023896LA01HU, Cusabio, Immunohistochemistry frozen image  IHC-F, Transmembrane Protein 91 antibody, CSB-PA023896LA01HU, Cusabio, Western Blot image  WB
Supplier data
Biorbyt
orb26157
Rabbit Poly, 50 ug
Hu
ELISA, ICC, IF, IHC-P, WB
ELISA, ICC, IF, Transmembrane Protein 91 antibody, orb26157, Biorbyt, Western Blot image  WB

Western Blot

Supplier data
Antibodies Incorporated
73-186
Mouse Mono [N160/21], 5 ml
Mo, Rt
ICC, IHC-F, IHC-P, WB
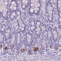
ICC, Transmembrane Protein 91 antibody, 73-186, Antibodies Incorporated, Immunohistochemistry frozen image  IHC-F, Transmembrane Protein 91 antibody, 73-186, Antibodies Incorporated, Immunohistochemistry paraffin image  IHC-P
Supplier data
Antibodies Incorporated
75-186
Mouse Mono [N160/21], 100 ul
Mo, Rt
ICC, IHC-F, IHC-P, WB
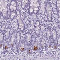
ICC, Transmembrane Protein 91 antibody, 75-186, Antibodies Incorporated, Immunohistochemistry frozen image  IHC-F, Transmembrane Protein 91 antibody, 75-186, Antibodies Incorporated, Immunohistochemistry paraffin image  IHC-P
Supplier data
Epigentek
A63672-100
Rabbit Poly, 100 ug
Hu
ELISA, IF, IHC-F, IHC-P, WB
ELISA, Transmembrane Protein 91 antibody, A63672-100, Epigentek, Immunofluorescence image  IF, IHC-F, Transmembrane Protein 91 antibody, A63672-100, Epigentek, Immunohistochemistry paraffin image  IHC-P