2 million antibody products . Find yours today
View products

1 matching ZFP91 Zinc Finger Protein antibodies for Immunoprecipitation from 5 suppliers

Superstar Kits

ZFP91 Zinc Finger Protein information

Aliases

ZFP91 Zinc Finger Protein is also known as Penta Zf protein, Pzf, ZFP91, Zinc finger protein 757, Zinc finger protein 91 homolog, Zinc finger protein PZF, ZNF757

View matching ELISA Kits

1 matching ZFP91 Zinc Finger Protein antibodies for Immunoprecipitation after applying filters

Click each ZFP91 Zinc Finger Protein antibody that interests you to view the full ZFP91 Zinc Finger Protein antibody datasheet.
View only ZFP91 Zinc Finger Protein Monoclonal Antibodies or ZFP91 Zinc Finger Protein Polyclonal Antibodies

Immunoprecipitation - Use Filter to switch application

Supplier data
Bethyl Labs
A303-245A
Rabbit Poly, 20 ug
Hu
IP, WB
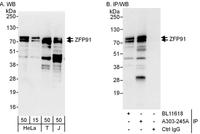
ZFP91 Zinc Finger Protein antibody, A303-245A, Bethyl Labs, Western Blot image  WB

Western Blot

Supplier data
Bethyl Labs
A303-245A
Rabbit Poly, 20 ug
Hu
IP, WB
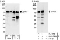
ZFP91 Zinc Finger Protein antibody, A303-245A, Bethyl Labs, Immunoprecipitation image  IP

Immunohistochemistry paraffin

Supplier data
Lifespan Biosciences
LS-B14788
Rabbit Poly, 1 Vial
Bv, GP, Hu, Xe
IHC-P, IP, WB
IP, WB