2 million antibody products . Find yours today
View products

54 matching Striatin Interacting Protein 1 antibodies for Western Blot from 6 suppliers

Superstar Kits

Striatin Interacting Protein 1 information

Aliases

Striatin Interacting Protein 1 is also known as FAM40A, KIAA1761, Protein FAM40A, STRIP1, STRP1

View matching ELISA Kits

54 matching Striatin Interacting Protein 1 antibodies for Western Blot after applying filters

Click each Striatin Interacting Protein 1 antibody that interests you to view the full Striatin Interacting Protein 1 antibody datasheet.
View only Striatin Interacting Protein 1 Monoclonal Antibodies or Striatin Interacting Protein 1 Polyclonal Antibodies

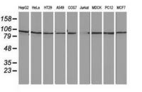
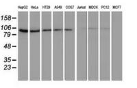
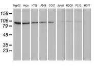
Western Blot - Use Filter to switch application

Supplier data
MyBioSource
MBS532903
Mouse Mono [7G7], 100 ul
Cn, Hu, Rt
FACS, IF, IHC-P, WB
FACS, IF, IHC-P
Supplier data
MyBioSource
MBS831810
Mouse Mono [7B8], 100 ul
Cn, Hu, Pr, Rt
FACS, IF, IHC-F, WB
FACS, IF, IHC-F
Supplier data
MyBioSource
MBS9203502
Rabbit Poly, 400 ul
Hu, Mo
ELISA, FACS, IHC-F, WB
ELISA, FACS, IHC-F
Supplier data
Novus Biologicals
NBP2-45715
Mouse Mono [7B8], 100 ul
Cn, Hu, Mo, Pr, Rt
FACS, IF, IHC-F, IHC-P, WB
Striatin Interacting Protein 1 antibody, NBP2-45715, Novus Biologicals, Flow Cytometry image  FACS, Striatin Interacting Protein 1 antibody, NBP2-45715, Novus Biologicals, Immunofluorescence image  IF, Striatin Interacting Protein 1 antibody, NBP2-45715, Novus Biologicals, Immunohistochemistry frozen image  IHC-F, Striatin Interacting Protein 1 antibody, NBP2-45715, Novus Biologicals, Immunohistochemistry paraffin image  IHC-P
Supplier data
Novus Biologicals
NBP2-32528
Rabbit Poly, 100 ul
Hu
IHC-F, IHC-P, WB
Striatin Interacting Protein 1 antibody, NBP2-32528, Novus Biologicals, Immunohistochemistry frozen image  IHC-F, Striatin Interacting Protein 1 antibody, NBP2-32528, Novus Biologicals, Immunohistochemistry paraffin image  IHC-P
Supplier data
Novus Biologicals
NBP2-56570
Rabbit Poly, 100 ul
Hu
ICC, IF, WB
Striatin Interacting Protein 1 antibody, NBP2-56570, Novus Biologicals, Immunocytochemistry image  ICC, Striatin Interacting Protein 1 antibody, NBP2-56570, Novus Biologicals, Immunofluorescence image  IF
Supplier data
St John's Laboratory
STJ112372
Rabbit Poly, 100 ul
Hu, Mo, Rt
WB
Supplier data
Lifespan Biosciences
LS-C172586
Mouse Mono [7B8], 1 Vial
Cn, Hu, Pr, Rt
FACS, IF, IHC-F, IHC-P, WB
Striatin Interacting Protein 1 antibody, LS-C172586, Lifespan Biosciences, Flow Cytometry image  FACS, Striatin Interacting Protein 1 antibody, LS-C172586, Lifespan Biosciences, Immunofluorescence image  IF, Striatin Interacting Protein 1 antibody, LS-C172586, Lifespan Biosciences, Immunohistochemistry frozen image  IHC-F, Striatin Interacting Protein 1 antibody, LS-C172586, Lifespan Biosciences, Immunohistochemistry paraffin image  IHC-P
Supplier data
Lifespan Biosciences
LS-C172590
Mouse Mono [7G7], 1 Vial
Cn, Hu, Rt
FACS, IF, IHC-F, IHC-P, WB
Striatin Interacting Protein 1 antibody, LS-C172590, Lifespan Biosciences, Flow Cytometry image  FACS, Striatin Interacting Protein 1 antibody, LS-C172590, Lifespan Biosciences, Immunofluorescence image  IF, Striatin Interacting Protein 1 antibody, LS-C172590, Lifespan Biosciences, Immunohistochemistry frozen image  IHC-F, Striatin Interacting Protein 1 antibody, LS-C172590, Lifespan Biosciences, Immunohistochemistry paraffin image  IHC-P
Supplier data
Lifespan Biosciences
LS-B10554
Rabbit Poly, 1 Vial
Hu, Mo
FACS, IHC-F, IHC-P, WB
Striatin Interacting Protein 1 antibody, LS-B10554, Lifespan Biosciences, Flow Cytometry image  FACS, Striatin Interacting Protein 1 antibody, LS-B10554, Lifespan Biosciences, Immunohistochemistry frozen image  IHC-F, Striatin Interacting Protein 1 antibody, LS-B10554, Lifespan Biosciences, Immunohistochemistry paraffin image  IHC-P
Supplier data
Lifespan Biosciences
LS-C668512
Rabbit Poly, 1 Vial
Hu
WB
Supplier data
ABclonal Technology
A10334
Rabbit Poly, 100 ul
Hu, Mo, Rt
WB
Supplier data
Invitrogen Antibodies
MA5-25392
Mouse Mono [OTI7B8], 100 ul
Cn, Hu, Rt
FACS, ICC, IF, IHC-F, IHC-P, WB
FACS, Striatin Interacting Protein 1 antibody, MA5-25392, Invitrogen Antibodies, Immunocytochemistry image  ICC, IF, Striatin Interacting Protein 1 antibody, MA5-25392, Invitrogen Antibodies, Immunohistochemistry frozen image  IHC-F, Striatin Interacting Protein 1 antibody, MA5-25392, Invitrogen Antibodies, Immunohistochemistry paraffin image  IHC-P
Supplier data
Invitrogen Antibodies
PA5-26722
Rabbit Poly, 100 ug
Hu, Mo
FACS, IHC-F, IHC-P, WB
Striatin Interacting Protein 1 antibody, PA5-26722, Invitrogen Antibodies, Flow Cytometry image  FACS, Striatin Interacting Protein 1 antibody, PA5-26722, Invitrogen Antibodies, Immunohistochemistry frozen image  IHC-F, Striatin Interacting Protein 1 antibody, PA5-26722, Invitrogen Antibodies, Immunohistochemistry paraffin image  IHC-P
Supplier data
Invitrogen Antibodies
MA5-25394
Mouse Mono [OTI7G7], 100 ul
Cn, Hu, Rt
FACS, ICC, IF, IHC-F, IHC-P, WB
FACS, Striatin Interacting Protein 1 antibody, MA5-25394, Invitrogen Antibodies, Immunocytochemistry image  ICC, IF, Striatin Interacting Protein 1 antibody, MA5-25394, Invitrogen Antibodies, Immunohistochemistry frozen image  IHC-F, Striatin Interacting Protein 1 antibody, MA5-25394, Invitrogen Antibodies, Immunohistochemistry paraffin image  IHC-P
Supplier data
Invitrogen Antibodies
PA5-63837
Rabbit Poly, 100 ul
Hu
IHC-F, IHC-P, WB
Striatin Interacting Protein 1 antibody, PA5-63837, Invitrogen Antibodies, Immunohistochemistry frozen image  IHC-F, Striatin Interacting Protein 1 antibody, PA5-63837, Invitrogen Antibodies, Immunohistochemistry paraffin image  IHC-P
Supplier data
Invitrogen Antibodies
PA5-66330
Rabbit Poly, 100 ul
Hu
ICC, IF, WB
ICC, Striatin Interacting Protein 1 antibody, PA5-66330, Invitrogen Antibodies, Immunofluorescence image  IF
Supplier data
Atlas Antibodies
HPA060302
Rabbit Poly, 100 ul
Hu
IHC-F, IHC-P, WB
Striatin Interacting Protein 1 antibody, HPA060302, Atlas Antibodies, Immunohistochemistry frozen image  IHC-F, Striatin Interacting Protein 1 antibody, HPA060302, Atlas Antibodies, Immunohistochemistry paraffin image  IHC-P
Supplier data
Atlas Antibodies
HPA060498
Rabbit Poly, 100 ul
Hu
ICC, IF, WB
Striatin Interacting Protein 1 antibody, HPA060498, Atlas Antibodies, Immunocytochemistry image  ICC, Striatin Interacting Protein 1 antibody, HPA060498, Atlas Antibodies, Immunofluorescence image  IF
Supplier data
Origene
TA502314
Mouse Mono [clone 7G7], 100 ul
Cn, Hu, Rt
FACS, IF, IHC-F, IHC-P, WB
Striatin Interacting Protein 1 antibody, TA502314, Origene, Flow Cytometry image  FACS, Striatin Interacting Protein 1 antibody, TA502314, Origene, Immunofluorescence image  IF, IHC-F, IHC-P
Supplier data
Invitrogen Antibodies
PA5-76531
Rabbit Poly, 100 ul
Hu, Mo, Rt
WB
Supplier data
Origene
TA502310
Mouse Mono [clone 7B8], 100 ul
Cn, Hu, Pr, Rt
FACS, IF, IHC-F, IHC-P, WB
Striatin Interacting Protein 1 antibody, TA502310, Origene, Flow Cytometry image  FACS, Striatin Interacting Protein 1 antibody, TA502310, Origene, Immunofluorescence image  IF, IHC-F, IHC-P
Supplier data
Origene
CF502310
Mouse Mono [Clone OTI7B8], 100 ug
Cn, Hu, Pr, Rt
AP, IF, IHC-F, IHC-P, WB
AP, IF, IHC-F, IHC-P
Supplier data
Origene
CF502314
Mouse Mono [Clone OTI7G7], 100 ug
Cn, Hu, Rt
AP, IF, IHC-F, IHC-P, WB
AP, IF, IHC-F, IHC-P
Supplier data
Origene
AP51575PU-N
Rabbit Poly, 400 ul
Hu, Mo
WB
Supplier data
ProSci
64-079
Rabbit Poly, 400 ul
Hu, Mo
FACS, IHC-P, WB
Striatin Interacting Protein 1 antibody, 64-079, ProSci, Flow Cytometry image  FACS, Striatin Interacting Protein 1 antibody, 64-079, ProSci, Immunohistochemistry paraffin image  IHC-P
Supplier data
GeneTex
GTX64994
Rabbit Poly, 100 ul
Hu, Mo, Rt
WB