2 million antibody products . Find yours today
View products

23 matching Activating Transcription Factor 7 Interacting Protein 2 antibodies for Immunohistochemistry paraffin from 6 suppliers

Superstar Kits

Activating Transcription Factor 7 Interacting Protein 2 information

Aliases

Activating Transcription Factor 7 Interacting Protein 2 is also known as ATF7-interacting protein 2, ATF7IP2, MCAF2, Protein similar to MCAF2, Psm2

1 Applications, 2 Species currently selected

All  None                   
  WB External link   IHC-P External link   IHC-F External link   FACS External link   ELISA External link   AP External link   IF External link   Pep-ELISA External link   ICC External link
Human  External link   41      34      30      27      18       6       3       2       2   
Mouse  External link   30      28      24      27      18       6       1       2   

View matching ELISA Kits

23 matching Activating Transcription Factor 7 Interacting Protein 2 antibodies for Immunohistochemistry paraffin after applying filters

Click each Activating Transcription Factor 7 Interacting Protein 2 antibody that interests you to view the full Activating Transcription Factor 7 Interacting Protein 2 antibody datasheet.
View only Activating Transcription Factor 7 Interacting Protein 2 Monoclonal Antibodies or Activating Transcription Factor 7 Interacting Protein 2 Polyclonal Antibodies

Immunohistochemistry paraffin - Use Filter to switch application

Supplier data
Atlas Antibodies
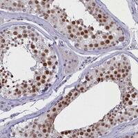
HPA041228
Rabbit Poly, 100 ul
Hu
IHC-F, IHC-P, WB
Activating Transcription Factor 7 Interacting Protein 2 antibody, HPA041228, Atlas Antibodies, Immunohistochemistry frozen image  IHC-F, Activating Transcription Factor 7 Interacting Protein 2 antibody, HPA041228, Atlas Antibodies, Western Blot image  WB
Supplier data
Atlas Antibodies
HPA041156
Rabbit Poly, 100 ul
Hu
IHC-F, IHC-P
Activating Transcription Factor 7 Interacting Protein 2 antibody, HPA041156, Atlas Antibodies, Immunohistochemistry frozen image  IHC-F
Supplier data
Novus Biologicals
NBP1-94029
Rabbit Poly, 100 ul
Hu
ICC, IF, IHC-F, IHC-P, WB
Activating Transcription Factor 7 Interacting Protein 2 antibody, NBP1-94029, Novus Biologicals, Immunocytochemistry image  ICC, Activating Transcription Factor 7 Interacting Protein 2 antibody, NBP1-94029, Novus Biologicals, Immunofluorescence image  IF, Activating Transcription Factor 7 Interacting Protein 2 antibody, NBP1-94029, Novus Biologicals, Immunohistochemistry frozen image  IHC-F, Activating Transcription Factor 7 Interacting Protein 2 antibody, NBP1-94029, Novus Biologicals, Western Blot image  WB
Supplier data
Novus Biologicals
NBP1-94028
Rabbit Poly, 100 ul
Hu
IHC-F, IHC-P
Activating Transcription Factor 7 Interacting Protein 2 antibody, NBP1-94028, Novus Biologicals, Immunohistochemistry frozen image  IHC-F
Supplier data
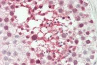
Lifespan Biosciences
LS-B12078
Rabbit Poly, 1 Vial
Hu, Mo
FACS, IHC-F, IHC-P, WB
Activating Transcription Factor 7 Interacting Protein 2 antibody, LS-B12078, Lifespan Biosciences, Flow Cytometry image  FACS, Activating Transcription Factor 7 Interacting Protein 2 antibody, LS-B12078, Lifespan Biosciences, Immunohistochemistry frozen image  IHC-F, Activating Transcription Factor 7 Interacting Protein 2 antibody, LS-B12078, Lifespan Biosciences, Western Blot image  WB
Supplier data
Invitrogen Antibodies
PA5-59489
Rabbit Poly, 100 ul
Hu
ICC, IF, IHC-F, IHC-P, WB
ICC, Activating Transcription Factor 7 Interacting Protein 2 antibody, PA5-59489, Invitrogen Antibodies, Immunofluorescence image  IF, Activating Transcription Factor 7 Interacting Protein 2 antibody, PA5-59489, Invitrogen Antibodies, Immunohistochemistry frozen image  IHC-F, Activating Transcription Factor 7 Interacting Protein 2 antibody, PA5-59489, Invitrogen Antibodies, Western Blot image  WB
Supplier data
Invitrogen Antibodies
PA5-24011
Rabbit Poly, 400 ul
Hu, Mo
FACS, IHC-F, IHC-P, WB
Activating Transcription Factor 7 Interacting Protein 2 antibody, PA5-24011, Invitrogen Antibodies, Flow Cytometry image  FACS, Activating Transcription Factor 7 Interacting Protein 2 antibody, PA5-24011, Invitrogen Antibodies, Immunohistochemistry frozen image  IHC-F, Activating Transcription Factor 7 Interacting Protein 2 antibody, PA5-24011, Invitrogen Antibodies, Western Blot image  WB
Supplier data
Invitrogen Antibodies
PA5-59456
Rabbit Poly, 100 ul
Hu
IHC-F, IHC-P
Activating Transcription Factor 7 Interacting Protein 2 antibody, PA5-59456, Invitrogen Antibodies, Immunohistochemistry frozen image  IHC-F
Supplier data
ProSci
55-228
Rabbit Poly, 400 ul
Hu, Mo
FACS, IF, IHC-F, IHC-P, WB
FACS, Activating Transcription Factor 7 Interacting Protein 2 antibody, 55-228, ProSci, Immunofluorescence image  IF, Activating Transcription Factor 7 Interacting Protein 2 antibody, 55-228, ProSci, Immunohistochemistry frozen image  IHC-F, Activating Transcription Factor 7 Interacting Protein 2 antibody, 55-228, ProSci, Western Blot image  WB
Supplier data
Biorbyt
orb243950
Rabbit Poly, 200 ul
Hu, Mo
FACS, IHC-P, WB
FACS, Activating Transcription Factor 7 Interacting Protein 2 antibody, orb243950, Biorbyt, Western Blot image  WB

Western Blot

Supplier data
Atlas Antibodies
HPA041228
Rabbit Poly, 100 ul
Hu
IHC-F, IHC-P, WB
Activating Transcription Factor 7 Interacting Protein 2 antibody, HPA041228, Atlas Antibodies, Immunohistochemistry frozen image  IHC-F, Activating Transcription Factor 7 Interacting Protein 2 antibody, HPA041228, Atlas Antibodies, Immunohistochemistry paraffin image  IHC-P
Supplier data
Novus Biologicals
NBP1-94029
Rabbit Poly, 100 ul
Hu
ICC, IF, IHC-F, IHC-P, WB
Activating Transcription Factor 7 Interacting Protein 2 antibody, NBP1-94029, Novus Biologicals, Immunocytochemistry image  ICC, Activating Transcription Factor 7 Interacting Protein 2 antibody, NBP1-94029, Novus Biologicals, Immunofluorescence image  IF, Activating Transcription Factor 7 Interacting Protein 2 antibody, NBP1-94029, Novus Biologicals, Immunohistochemistry frozen image  IHC-F, Activating Transcription Factor 7 Interacting Protein 2 antibody, NBP1-94029, Novus Biologicals, Immunohistochemistry paraffin image  IHC-P
Supplier data
Lifespan Biosciences
LS-B12078
Rabbit Poly, 1 Vial
Hu, Mo
FACS, IHC-F, IHC-P, WB
Activating Transcription Factor 7 Interacting Protein 2 antibody, LS-B12078, Lifespan Biosciences, Flow Cytometry image  FACS, Activating Transcription Factor 7 Interacting Protein 2 antibody, LS-B12078, Lifespan Biosciences, Immunohistochemistry frozen image  IHC-F, Activating Transcription Factor 7 Interacting Protein 2 antibody, LS-B12078, Lifespan Biosciences, Immunohistochemistry paraffin image  IHC-P
Supplier data
Invitrogen Antibodies
PA5-59489
Rabbit Poly, 100 ul
Hu
ICC, IF, IHC-F, IHC-P, WB
ICC, Activating Transcription Factor 7 Interacting Protein 2 antibody, PA5-59489, Invitrogen Antibodies, Immunofluorescence image  IF, Activating Transcription Factor 7 Interacting Protein 2 antibody, PA5-59489, Invitrogen Antibodies, Immunohistochemistry frozen image  IHC-F, Activating Transcription Factor 7 Interacting Protein 2 antibody, PA5-59489, Invitrogen Antibodies, Immunohistochemistry paraffin image  IHC-P
Supplier data
Invitrogen Antibodies
PA5-24011
Rabbit Poly, 400 ul
Hu, Mo
FACS, IHC-F, IHC-P, WB
Activating Transcription Factor 7 Interacting Protein 2 antibody, PA5-24011, Invitrogen Antibodies, Flow Cytometry image  FACS, Activating Transcription Factor 7 Interacting Protein 2 antibody, PA5-24011, Invitrogen Antibodies, Immunohistochemistry frozen image  IHC-F, Activating Transcription Factor 7 Interacting Protein 2 antibody, PA5-24011, Invitrogen Antibodies, Immunohistochemistry paraffin image  IHC-P

Related antibodies

Activating Transcription Factor 7 Interacting Protein 2 antibodies are often published withAssociated citations
KI-67100.0%
MutS Homolog 2100.0%
MutS Homolog 6100.0%