2 million antibody products . Find yours today
View products

84 matching Kelch Like Family Member 2 antibodies for Western Blot from 10 suppliers

Superstar Kits

Kelch Like Family Member 2 information

Aliases

Kelch Like Family Member 2 is also known as Actin-binding protein Mayven, Kelch-like protein 2, KLHL2

View matching ELISA Kits

84 matching Kelch Like Family Member 2 antibodies for Western Blot after applying filters

Click each Kelch Like Family Member 2 antibody that interests you to view the full Kelch Like Family Member 2 antibody datasheet.
View only Kelch Like Family Member 2 Monoclonal Antibodies or Kelch Like Family Member 2 Polyclonal Antibodies

Western Blot - Use Filter to switch application

Supplier data
FineTest
FNab04617
Rabbit Poly, 100 ug
Hu, Mo, Rt
ELISA, WB
ELISA
Supplier data
Origene
TA501549S
Mouse Mono [OTI4G1], 30 ul
Hu, Mo, Rt
FACS, IF, WB
FACS, IF
Supplier data
Origene
TA501618S
Mouse Mono [OTI5F3], 30 ul
Hu, Mo, Rt
FACS, IF, WB
FACS, IF
Supplier data
Origene
TA501619S
Mouse Mono [KT53], 30 ul
Hu, Mo, Rt
WB
Supplier data
Origene
TA501617S
Mouse Mono [OTI3C7], 30 ul
Cn, Hu, Mo, Pr, Rt
FACS, IF, WB
FACS, IF
Supplier data
Origene
TA501550S
Mouse Mono [OTI7A2], 30 ul
Hu, Mo, Rt
FACS, IF, WB
FACS, IF
Supplier data
Novus Biologicals
NBP2-17080
Rabbit Poly, 100 ul
Hu
ICC, IF, IHC-F, IHC-P, WB
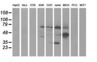
Kelch Like Family Member 2 antibody, NBP2-17080, Novus Biologicals, Immunocytochemistry image  ICC, Kelch Like Family Member 2 antibody, NBP2-17080, Novus Biologicals, Immunofluorescence image  IF, Kelch Like Family Member 2 antibody, NBP2-17080, Novus Biologicals, Immunohistochemistry frozen image  IHC-F, Kelch Like Family Member 2 antibody, NBP2-17080, Novus Biologicals, Immunohistochemistry paraffin image  IHC-P
Supplier data
Novus Biologicals
NBP2-02939
Mouse Mono [1G7], 100 ul
Cn, Hu, Pr
FACS, ICC, IF, WB
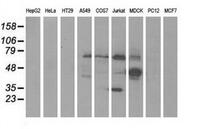
Kelch Like Family Member 2 antibody, NBP2-02939, Novus Biologicals, Flow Cytometry image  FACS, Kelch Like Family Member 2 antibody, NBP2-02939, Novus Biologicals, Immunocytochemistry image  ICC, Kelch Like Family Member 2 antibody, NBP2-02939, Novus Biologicals, Immunofluorescence image  IF
Supplier data
Origene
TA501547S
Mouse Mono [OTI3C4], 30 ul
Hu, Mo, Rt
FACS, IF, WB
FACS, IF
Supplier data
Origene
TA501549
Mouse Mono [clone 6D8], 100 ul
Hu
FACS, IF, WB
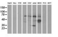
Kelch Like Family Member 2 antibody, TA501549, Origene, Flow Cytometry image  FACS, Kelch Like Family Member 2 antibody, TA501549, Origene, Immunofluorescence image  IF
Supplier data
Origene
TA501618
Mouse Mono [clone 10C12], 100 ul
Hu
FACS, IF, WB
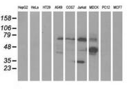
Kelch Like Family Member 2 antibody, TA501618, Origene, Flow Cytometry image  FACS, Kelch Like Family Member 2 antibody, TA501618, Origene, Immunofluorescence image  IF
Supplier data
Origene
TA501617
Mouse Mono [clone 1G7], 100 ul
Cn, Hu, Pr
FACS, IF, WB
Kelch Like Family Member 2 antibody, TA501617, Origene, Flow Cytometry image  FACS, Kelch Like Family Member 2 antibody, TA501617, Origene, Immunofluorescence image  IF
Supplier data
Origene
TA501547
Mouse Mono [clone 8B8], 100 ul
Hu
FACS, IF, WB
Kelch Like Family Member 2 antibody, TA501547, Origene, Flow Cytometry image  FACS, Kelch Like Family Member 2 antibody, TA501547, Origene, Immunofluorescence image  IF
Supplier data
Origene
TA501550
Mouse Mono [clone 3H9], 100 ul
Hu
FACS, IF, WB
Kelch Like Family Member 2 antibody, TA501550, Origene, Flow Cytometry image  FACS, Kelch Like Family Member 2 antibody, TA501550, Origene, Immunofluorescence image  IF
Supplier data
Origene
TA501619
Mouse Mono [clone 8D8], 100 ul
Hu
WB
Supplier data
Origene
CF501618
Mouse Mono [Clone OTI10C12], 100 ug
Hu
AP, IF, WB
AP, IF
Supplier data
Origene
CF501547
Mouse Mono [Clone OTI8B8], 100 ug
Hu
AP, IF, WB
AP, IF
Supplier data
Origene
CF501549
Mouse Mono [Clone OTI6D8], 100 ug
Hu
AP, IF, WB
AP, IF
Supplier data
Origene
CF501619
Mouse Mono [Clone OTI8D8], 100 ug
Hu
WB
Supplier data
Origene
CF501550
Mouse Mono [Clone OTI3H9], 100 ug
Hu
AP, IF, WB
AP, IF
Supplier data
Origene
CF501617
Mouse Mono [Clone OTI1G7], 100 ug
Cn, Hu, Pr
AP, IF, WB
AP, IF
Supplier data
Origene
TA340166
Rabbit Poly, 50 ug
Hu
WB
Supplier data
Origene
TA350120
Rabbit Poly, 100 ul
Bac, Ch
WB
Supplier data
Novus Biologicals
H00011275-B01P
Mouse Poly, 50 ug
Hu
ELISA, WB
ELISA
Supplier data
MyBioSource
MBS832212
Mouse Mono [1G7], 100 ul
Cn, Hu, Pr
FACS, IF, WB
FACS, IF
Supplier data
St John's Laboratory
STJ26697
Rabbit Poly, 100 ul
Hu, Mo, Rt
WB
Supplier data
Lifespan Biosciences
LS-C115559
Mouse Mono [1G7], 1 Vial
Cn, Hu, Pr
FACS, IF, WB
Kelch Like Family Member 2 antibody, LS-C115559, Lifespan Biosciences, Flow Cytometry image  FACS, Kelch Like Family Member 2 antibody, LS-C115559, Lifespan Biosciences, Immunofluorescence image  IF
Supplier data
Lifespan Biosciences
LS-C115560
Mouse Mono [10C12], 1 Vial
Hu
FACS, IF, WB
Kelch Like Family Member 2 antibody, LS-C115560, Lifespan Biosciences, Flow Cytometry image  FACS, Kelch Like Family Member 2 antibody, LS-C115560, Lifespan Biosciences, Immunofluorescence image  IF
Supplier data
Lifespan Biosciences
LS-C115514
Mouse Mono [3H9], 1 Vial
Hu
FACS, IF, WB
Kelch Like Family Member 2 antibody, LS-C115514, Lifespan Biosciences, Flow Cytometry image  FACS, Kelch Like Family Member 2 antibody, LS-C115514, Lifespan Biosciences, Immunofluorescence image  IF
Supplier data
Lifespan Biosciences
LS-C115512
Mouse Mono [8B8], 1 Vial
Hu
FACS, IF, WB
Kelch Like Family Member 2 antibody, LS-C115512, Lifespan Biosciences, Flow Cytometry image  FACS, Kelch Like Family Member 2 antibody, LS-C115512, Lifespan Biosciences, Immunofluorescence image  IF
Supplier data
Lifespan Biosciences
LS-C396443
Rabbit Poly, 1 Vial
Hu
ELISA, IF, IHC-P, WB
ELISA, Kelch Like Family Member 2 antibody, LS-C396443, Lifespan Biosciences, Immunofluorescence image  IF, Kelch Like Family Member 2 antibody, LS-C396443, Lifespan Biosciences, Immunohistochemistry paraffin image  IHC-P
Supplier data
Lifespan Biosciences
LS-C115561
Mouse Mono [8D8], 1 Vial
Hu
WB
Supplier data
Lifespan Biosciences
LS-C160013
Rabbit Poly, 1 Vial
Hu
WB
Supplier data
Boster Biological Technology
M09066
Mouse Mono [OTI1G7], 100 ul
Cn, Hu, Pr
FACS, IF, WB
FACS, Kelch Like Family Member 2 antibody, M09066, Boster Biological Technology, Immunofluorescence image  IF
Supplier data
Boster Biological Technology
A09066
Rabbit Poly, 100 ul
Hu, Mo, Rt
WB
Supplier data
Invitrogen Antibodies
PA5-30441
Rabbit Poly, 100 ul
Hu
ICC, IF, IHC-F, IHC-P, WB
ICC, Kelch Like Family Member 2 antibody, PA5-30441, Invitrogen Antibodies, Immunofluorescence image  IF, Kelch Like Family Member 2 antibody, PA5-30441, Invitrogen Antibodies, Immunohistochemistry frozen image  IHC-F, Kelch Like Family Member 2 antibody, PA5-30441, Invitrogen Antibodies, Immunohistochemistry paraffin image  IHC-P
Supplier data
Invitrogen Antibodies
PA5-50436
Rabbit Poly, 100 ul
Hu
IHC-F, IHC-P, WB
Kelch Like Family Member 2 antibody, PA5-50436, Invitrogen Antibodies, Immunohistochemistry frozen image  IHC-F, Kelch Like Family Member 2 antibody, PA5-50436, Invitrogen Antibodies, Immunohistochemistry paraffin image  IHC-P
Supplier data
Invitrogen Antibodies
MA5-25221
Mouse Mono [OTI1G7], 100 ul
Cn, Hu
FACS, ICC, IF, WB
FACS, Kelch Like Family Member 2 antibody, MA5-25221, Invitrogen Antibodies, Immunocytochemistry image  ICC, IF
Supplier data
Invitrogen Antibodies
MA5-25206
Mouse Mono [OTI6D8], 100 ul
Hu
FACS, ICC, IF, WB
FACS, Kelch Like Family Member 2 antibody, MA5-25206, Invitrogen Antibodies, Immunocytochemistry image  ICC, IF
Supplier data
Proteintech Group
14449-1-AP
Rabbit Poly, 150 ul
Hu, Mo, Rt
ELISA, IF, WB
ELISA, Kelch Like Family Member 2 antibody, 14449-1-AP, Proteintech Group, Immunofluorescence image  IF
Supplier data
ProSci
59-303
Rabbit Poly, 400 ul
Hu
WB