2 million antibody products . Find yours today
View products

29 matching Spermine Synthase antibodies for Enzyme Linked Immunosorbent Assay from 8 suppliers

Superstar Kits

Spermine Synthase information

Aliases

Spermine Synthase is also known as SMS, SPMSY, SPSY

View matching ELISA Kits

29 matching Spermine Synthase antibodies for Enzyme Linked Immunosorbent Assay after applying filters

Click each Spermine Synthase antibody that interests you to view the full Spermine Synthase antibody datasheet.
View only Spermine Synthase Monoclonal Antibodies or Spermine Synthase Polyclonal Antibodies

Enzyme Linked Immunosorbent Assay - Use Filter to switch application

Supplier data
Novus Biologicals
H00006611-M01
Mouse Mono [1G6], 100 ug
Hu
ELISA, WB
Spermine Synthase antibody, H00006611-M01, Novus Biologicals, Western Blot image  WB
Supplier data
Lifespan Biosciences
LS-C198227
Mouse Mono [1G6], 1 Vial
Hu
ELISA, WB
Spermine Synthase antibody, LS-C198227, Lifespan Biosciences, Western Blot image  WB

Western Blot

Supplier data
FineTest
FNab08171
Rabbit Poly, 100 ug
Hu, Mo, Rt
ELISA, WB
ELISA
Supplier data
Novus Biologicals
H00006611-M01
Mouse Mono [1G6], 100 ug
Hu
ELISA, WB
Spermine Synthase antibody, H00006611-M01, Novus Biologicals, Enzyme Linked Immunosorbent Assay image  ELISA
Supplier data
Lifespan Biosciences
LS-C198227
Mouse Mono [1G6], 1 Vial
Hu
ELISA, WB
Spermine Synthase antibody, LS-C198227, Lifespan Biosciences, Enzyme Linked Immunosorbent Assay image  ELISA
Supplier data
Proteintech Group
15979-1-AP
Rabbit Poly, 150 ul
Hu, Mo, Rt
ELISA, WB
ELISA

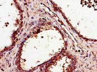
Immunohistochemistry paraffin

Supplier data
Biorbyt
orb46119
Rabbit Poly, 50 ug
Hu
ELISA, ICC, IF, IHC-P
ELISA, ICC, IF