2 million antibody products . Find yours today
View products

7 matching D-Glutamate Cyclase antibodies for Immunofluorescence from 6 suppliers

Superstar Kits

D-Glutamate Cyclase information

Aliases

D-Glutamate Cyclase is also known as C14orf159, DGLUCY, GLUCM

1 Applications, 5 Species currently selected

All  None                 
  WB External link   IHC-P External link   IF External link   IHC-F External link   FACS External link   ELISA External link   ICC External link   IP External link
Human  External link   11      10       6       7       6       6   
Mouse  External link    9       4       7       6       1       1   
Rat  External link    9       4       7       6       1       1   
Zebrafish  External link    1   
Mammals  External link    1   

View matching ELISA Kits

7 matching D-Glutamate Cyclase antibodies for Immunofluorescence after applying filters

Click each D-Glutamate Cyclase antibody that interests you to view the full D-Glutamate Cyclase antibody datasheet.
View only D-Glutamate Cyclase Monoclonal Antibodies or D-Glutamate Cyclase Polyclonal Antibodies

Immunofluorescence - Use Filter to switch application

Supplier data
Atlas Antibodies
HPA041423
Rabbit Poly, 100 ul
Hu
ICC, IF, IHC-F, IHC-P, WB
D-Glutamate Cyclase antibody, HPA041423, Atlas Antibodies, Immunocytochemistry image  ICC, D-Glutamate Cyclase antibody, HPA041423, Atlas Antibodies, Immunohistochemistry frozen image  IHC-F, D-Glutamate Cyclase antibody, HPA041423, Atlas Antibodies, Immunohistochemistry paraffin image  IHC-P, D-Glutamate Cyclase antibody, HPA041423, Atlas Antibodies, Western Blot image  WB
Supplier data
Atlas Antibodies
HPA052932
Rabbit Poly, 100 ul
Hu
ICC, IF
D-Glutamate Cyclase antibody, HPA052932, Atlas Antibodies, Immunocytochemistry image  ICC
Supplier data
Novus Biologicals
NBP1-81920
Rabbit Poly, 100 ul
Hu
ICC, IF, IHC-F, IHC-P, WB
D-Glutamate Cyclase antibody, NBP1-81920, Novus Biologicals, Immunocytochemistry image  ICC, D-Glutamate Cyclase antibody, NBP1-81920, Novus Biologicals, Immunohistochemistry frozen image  IHC-F, D-Glutamate Cyclase antibody, NBP1-81920, Novus Biologicals, Immunohistochemistry paraffin image  IHC-P, D-Glutamate Cyclase antibody, NBP1-81920, Novus Biologicals, Western Blot image  WB
Supplier data
Novus Biologicals
NBP2-55650
Rabbit Poly, 100 ul
Hu
ICC, IF
D-Glutamate Cyclase antibody, NBP2-55650, Novus Biologicals, Immunocytochemistry image  ICC
Supplier data
Invitrogen Antibodies
PA5-59566
Rabbit Poly, 100 ul
Hu
ICC, IF, IHC-F, IHC-P, WB
ICC, D-Glutamate Cyclase antibody, PA5-59566, Invitrogen Antibodies, Immunohistochemistry frozen image  IHC-F, D-Glutamate Cyclase antibody, PA5-59566, Invitrogen Antibodies, Immunohistochemistry paraffin image  IHC-P, D-Glutamate Cyclase antibody, PA5-59566, Invitrogen Antibodies, Western Blot image  WB
Supplier data
Invitrogen Antibodies
PA5-65751
Rabbit Poly, 100 ul
Hu
ICC, IF
ICC

Immunocytochemistry

Supplier data
Atlas Antibodies
HPA041423
Rabbit Poly, 100 ul
Hu
ICC, IF, IHC-F, IHC-P, WB
D-Glutamate Cyclase antibody, HPA041423, Atlas Antibodies, Immunofluorescence image  IF, D-Glutamate Cyclase antibody, HPA041423, Atlas Antibodies, Immunohistochemistry frozen image  IHC-F, D-Glutamate Cyclase antibody, HPA041423, Atlas Antibodies, Immunohistochemistry paraffin image  IHC-P, D-Glutamate Cyclase antibody, HPA041423, Atlas Antibodies, Western Blot image  WB
Supplier data
Atlas Antibodies
HPA052932
Rabbit Poly, 100 ul
Hu
ICC, IF
D-Glutamate Cyclase antibody, HPA052932, Atlas Antibodies, Immunofluorescence image  IF
Supplier data
Novus Biologicals
NBP1-81920
Rabbit Poly, 100 ul
Hu
ICC, IF, IHC-F, IHC-P, WB
D-Glutamate Cyclase antibody, NBP1-81920, Novus Biologicals, Immunofluorescence image  IF, D-Glutamate Cyclase antibody, NBP1-81920, Novus Biologicals, Immunohistochemistry frozen image  IHC-F, D-Glutamate Cyclase antibody, NBP1-81920, Novus Biologicals, Immunohistochemistry paraffin image  IHC-P, D-Glutamate Cyclase antibody, NBP1-81920, Novus Biologicals, Western Blot image  WB
Supplier data
Novus Biologicals
NBP2-55650
Rabbit Poly, 100 ul
Hu
ICC, IF
D-Glutamate Cyclase antibody, NBP2-55650, Novus Biologicals, Immunofluorescence image  IF

Immunohistochemistry paraffin

Supplier data
Atlas Antibodies
HPA041423
Rabbit Poly, 100 ul
Hu
ICC, IF, IHC-F, IHC-P, WB
D-Glutamate Cyclase antibody, HPA041423, Atlas Antibodies, Immunocytochemistry image  ICC, D-Glutamate Cyclase antibody, HPA041423, Atlas Antibodies, Immunofluorescence image  IF, D-Glutamate Cyclase antibody, HPA041423, Atlas Antibodies, Immunohistochemistry frozen image  IHC-F, D-Glutamate Cyclase antibody, HPA041423, Atlas Antibodies, Western Blot image  WB
Supplier data
Novus Biologicals
NBP1-81920
Rabbit Poly, 100 ul
Hu
ICC, IF, IHC-F, IHC-P, WB
D-Glutamate Cyclase antibody, NBP1-81920, Novus Biologicals, Immunocytochemistry image  ICC, D-Glutamate Cyclase antibody, NBP1-81920, Novus Biologicals, Immunofluorescence image  IF, D-Glutamate Cyclase antibody, NBP1-81920, Novus Biologicals, Immunohistochemistry frozen image  IHC-F, D-Glutamate Cyclase antibody, NBP1-81920, Novus Biologicals, Western Blot image  WB
Supplier data
Invitrogen Antibodies
PA5-59566
Rabbit Poly, 100 ul
Hu
ICC, IF, IHC-F, IHC-P, WB
ICC, D-Glutamate Cyclase antibody, PA5-59566, Invitrogen Antibodies, Immunofluorescence image  IF, D-Glutamate Cyclase antibody, PA5-59566, Invitrogen Antibodies, Immunohistochemistry frozen image  IHC-F, D-Glutamate Cyclase antibody, PA5-59566, Invitrogen Antibodies, Western Blot image  WB

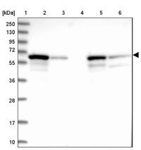
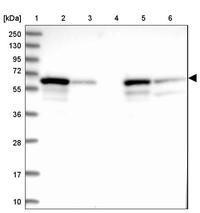
Western Blot

Supplier data
Atlas Antibodies
HPA041423
Rabbit Poly, 100 ul
Hu
ICC, IF, IHC-F, IHC-P, WB
D-Glutamate Cyclase antibody, HPA041423, Atlas Antibodies, Immunocytochemistry image  ICC, D-Glutamate Cyclase antibody, HPA041423, Atlas Antibodies, Immunofluorescence image  IF, D-Glutamate Cyclase antibody, HPA041423, Atlas Antibodies, Immunohistochemistry frozen image  IHC-F, D-Glutamate Cyclase antibody, HPA041423, Atlas Antibodies, Immunohistochemistry paraffin image  IHC-P
Supplier data
Novus Biologicals
NBP1-81920
Rabbit Poly, 100 ul
Hu
ICC, IF, IHC-F, IHC-P, WB
D-Glutamate Cyclase antibody, NBP1-81920, Novus Biologicals, Immunocytochemistry image  ICC, D-Glutamate Cyclase antibody, NBP1-81920, Novus Biologicals, Immunofluorescence image  IF, D-Glutamate Cyclase antibody, NBP1-81920, Novus Biologicals, Immunohistochemistry frozen image  IHC-F, D-Glutamate Cyclase antibody, NBP1-81920, Novus Biologicals, Immunohistochemistry paraffin image  IHC-P