2 million antibody products . Find yours today
View products

24 matching Histidine Triad Nucleotide Binding Protein 2 antibodies for Western Blot from 9 suppliers

Superstar Kits

Histidine Triad Nucleotide Binding Protein 2 information

Aliases

Histidine Triad Nucleotide Binding Protein 2 is also known as HINT-3, HINT2, HIT-17kDa, PKCI-1-related HIT protein

1 Applications, 13 Species currently selected


View matching ELISA Kits

24 matching Histidine Triad Nucleotide Binding Protein 2 antibodies for Western Blot after applying filters

Click each Histidine Triad Nucleotide Binding Protein 2 antibody that interests you to view the full Histidine Triad Nucleotide Binding Protein 2 antibody datasheet.
View only Histidine Triad Nucleotide Binding Protein 2 Monoclonal Antibodies or Histidine Triad Nucleotide Binding Protein 2 Polyclonal Antibodies

Western Blot - Use Filter to switch application

Supplier data
Origene
AM50638PU-S
Mouse Poly, 50 ul
Hu
ELISA, FACS, WB
ELISA, FACS
Supplier data
Origene
AM50638PU-N
Mouse Poly, 100 ul
Hu
ELISA, FACS, WB
ELISA, FACS
Supplier data
Origene
TA342891
Rabbit Poly, 50 ug
Hu
WB
Supplier data
Origene
TA349338
Rabbit Poly, 100 ul
Bac, Ch
WB
Supplier data
Atlas Antibodies
HPA020961
Rabbit Poly, 100 ul
Hu
ICC, IF, IHC-F, IHC-P, WB
Histidine Triad Nucleotide Binding Protein 2 antibody, HPA020961, Atlas Antibodies, Immunocytochemistry image  ICC, Histidine Triad Nucleotide Binding Protein 2 antibody, HPA020961, Atlas Antibodies, Immunofluorescence image  IF, Histidine Triad Nucleotide Binding Protein 2 antibody, HPA020961, Atlas Antibodies, Immunohistochemistry frozen image  IHC-F, Histidine Triad Nucleotide Binding Protein 2 antibody, HPA020961, Atlas Antibodies, Immunohistochemistry paraffin image  IHC-P
Supplier data
Novus Biologicals
NBP1-86024
Rabbit Poly, 100 ul
Hu
ICC, IF, IHC-F, IHC-P, WB
Histidine Triad Nucleotide Binding Protein 2 antibody, NBP1-86024, Novus Biologicals, Immunocytochemistry image  ICC, Histidine Triad Nucleotide Binding Protein 2 antibody, NBP1-86024, Novus Biologicals, Immunofluorescence image  IF, Histidine Triad Nucleotide Binding Protein 2 antibody, NBP1-86024, Novus Biologicals, Immunohistochemistry frozen image  IHC-F, Histidine Triad Nucleotide Binding Protein 2 antibody, NBP1-86024, Novus Biologicals, Immunohistochemistry paraffin image  IHC-P
Supplier data
Novus Biologicals
H00084681-M06
Mouse Mono [4E11], 100 ug
Hu
ELISA, WB
ELISA
Supplier data
Novus Biologicals
NBP1-79802
Rabbit Poly, 50 ug
Bv, Cn, Eq, Hu, Po
WB
Supplier data
Novus Biologicals
NBP1-98460
Rabbit Poly, 50 ug
Bv, Cn, Eq, Hu, Mo, Po, Rt
WB
Supplier data
Boster Biological Technology
A11143
Rabbit Poly, 100 ul
Hu, Mo, Rt
WB
Supplier data
Invitrogen Antibodies
PA5-54286
Rabbit Poly, 100 ul
Hu
ICC, IF, IHC-F, IHC-P, WB
ICC, Histidine Triad Nucleotide Binding Protein 2 antibody, PA5-54286, Invitrogen Antibodies, Immunofluorescence image  IF, Histidine Triad Nucleotide Binding Protein 2 antibody, PA5-54286, Invitrogen Antibodies, Immunohistochemistry frozen image  IHC-F, Histidine Triad Nucleotide Binding Protein 2 antibody, PA5-54286, Invitrogen Antibodies, Immunohistochemistry paraffin image  IHC-P
Supplier data
Invitrogen Antibodies
PA5-50226
Rabbit Poly, 100 ul
Hu, Mo
IHC-F, IHC-P, WB
Histidine Triad Nucleotide Binding Protein 2 antibody, PA5-50226, Invitrogen Antibodies, Immunohistochemistry frozen image  IHC-F, Histidine Triad Nucleotide Binding Protein 2 antibody, PA5-50226, Invitrogen Antibodies, Immunohistochemistry paraffin image  IHC-P
Supplier data
Lifespan Biosciences
LS-C373621
Rabbit Poly, 1 Vial
Mo
WB
Supplier data
GeneTex
GTX49048
Rabbit Poly, 50 ug
Hu
WB
Supplier data
GeneTex
GTX57634
Mouse Mono [AT5B10], 100 ul
Hu
WB
Supplier data
Abbexa
abx213324
Rabbit Poly, 50 ul
Hu, Mo
ELISA, IHC-F, IHC-P, WB
ELISA, IHC-F, IHC-P
Supplier data
Biorbyt
orb77636
Rabbit Poly, 100 ug
Hu
ELISA, IHC-P, WB
ELISA, Histidine Triad Nucleotide Binding Protein 2 antibody, orb77636, Biorbyt, Immunohistochemistry paraffin image  IHC-P

Immunohistochemistry paraffin

Supplier data
Atlas Antibodies
HPA020961
Rabbit Poly, 100 ul
Hu
ICC, IF, IHC-F, IHC-P, WB
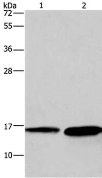
Histidine Triad Nucleotide Binding Protein 2 antibody, HPA020961, Atlas Antibodies, Immunocytochemistry image  ICC, Histidine Triad Nucleotide Binding Protein 2 antibody, HPA020961, Atlas Antibodies, Immunofluorescence image  IF, Histidine Triad Nucleotide Binding Protein 2 antibody, HPA020961, Atlas Antibodies, Immunohistochemistry frozen image  IHC-F, Histidine Triad Nucleotide Binding Protein 2 antibody, HPA020961, Atlas Antibodies, Western Blot image  WB