2 million antibody products . Find yours today
View products

37 matching Interleukin 15 antibodies for Immunohistochemistry frozen from 26 suppliers

Superstar Kits

Interleukin 15 information

Aliases

Interleukin 15 is also known as IL-15/IL-15R Complex, IL15, Interleukin-15

View matching ELISA Kits

37 matching Interleukin 15 antibodies for Immunohistochemistry frozen after applying filters

Click each Interleukin 15 antibody that interests you to view the full Interleukin 15 antibody datasheet.
View only Interleukin 15 Monoclonal Antibodies or Interleukin 15 Polyclonal Antibodies

Immunohistochemistry frozen - Use Filter to switch application

Supplier data
Origene
PP1035P1
Rabbit Poly, 50 ug
Hu
IHC-F, IHC-P
Interleukin 15 antibody, PP1035P1, Origene, Immunohistochemistry paraffin image  IHC-P
Supplier data
Origene
PP1035P2
Rabbit Poly, 100 ug
Hu
IHC-F, IHC-P
Interleukin 15 antibody, PP1035P2, Origene, Immunohistochemistry paraffin image  IHC-P
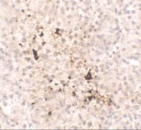
Supplier data
Lifespan Biosciences
LS-B10080
Rabbit Poly, 50 ug
Hu, Mo, Rt
ELISA, IHC-F, IHC-P, WB
ELISA, Interleukin 15 antibody, LS-B10080, Lifespan Biosciences, Immunohistochemistry paraffin image  IHC-P, Interleukin 15 antibody, LS-B10080, Lifespan Biosciences, Western Blot image  WB
Supplier data
R&D Systems
AF447
Goat Poly, 100 ug
Mo
IHC-F, IHC-P, Neu, WB
Interleukin 15 antibody, AF447, R&D Systems, Immunohistochemistry paraffin image  IHC-P, Interleukin 15 antibody, AF447, R&D Systems, Neutralising image  Neu, Interleukin 15 antibody, AF447, R&D Systems, Western Blot image  WB
Supplier data
R&D Systems
AF315
Goat Poly, 100 ug
Hu
IHC-F, IHC-P, Neu, WB
Interleukin 15 antibody, AF315, R&D Systems, Immunohistochemistry paraffin image  IHC-P, Interleukin 15 antibody, AF315, R&D Systems, Neutralising image  Neu, Interleukin 15 antibody, AF315, R&D Systems, Western Blot image  WB
Supplier data
R&D Systems
BAF447
Goat Poly, 50 ug
Mo
ELISA, IHC-F, IHC-P, WB
ELISA, Interleukin 15 antibody, BAF447, R&D Systems, Immunohistochemistry paraffin image  IHC-P, Interleukin 15 antibody, BAF447, R&D Systems, Western Blot image  WB
Supplier data
Invitrogen Antibodies
PA5-47014
Goat Poly, 100 ug
Mo
IHC-F, IHC-P, Neu, WB
Interleukin 15 antibody, PA5-47014, Invitrogen Antibodies, Immunohistochemistry paraffin image  IHC-P, Interleukin 15 antibody, PA5-47014, Invitrogen Antibodies, Neutralising image  Neu, WB
Supplier data
Invitrogen Antibodies
PA5-34511
Rabbit Poly, 100 ug
Hu, Mo, Rt
IHC-F, IHC-P, WB
Interleukin 15 antibody, PA5-34511, Invitrogen Antibodies, Immunohistochemistry paraffin image  IHC-P, Interleukin 15 antibody, PA5-34511, Invitrogen Antibodies, Western Blot image  WB
Supplier data
Boster Biological Technology
A00212
Rabbit Poly, 100 ug
Hu, Mo, Rt
IHC-F, IHC-P, WB
Interleukin 15 antibody, A00212, Boster Biological Technology, Immunohistochemistry paraffin image  IHC-P, Interleukin 15 antibody, A00212, Boster Biological Technology, Western Blot image  WB
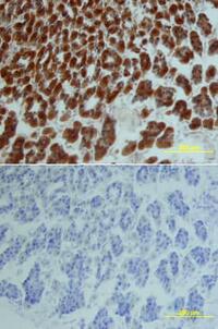
Supplier data
ProSci
XP-5169
Rabbit Poly, 100 ug
Hu
ELISA, IHC-F, IHC-P, Neu, WB
Interleukin 15 antibody, XP-5169, ProSci, Enzyme Linked Immunosorbent Assay image  ELISA, Interleukin 15 antibody, XP-5169, ProSci, Immunohistochemistry paraffin image  IHC-P, Neu, Interleukin 15 antibody, XP-5169, ProSci, Western Blot image  WB
Supplier data
ProSci
7231
Rabbit Poly, 100 ug
Hu, Mo, Rt
ELISA, IHC-F, IHC-P, WB
ELISA, Interleukin 15 antibody, 7231, ProSci, Immunohistochemistry paraffin image  IHC-P, Interleukin 15 antibody, 7231, ProSci, Western Blot image  WB

Western Blot

Supplier data
MyBioSource
MBS153639
Rabbit Poly, 100 ug
Hu, Mo, Rt
ELISA, IHC-F, IHC-P, WB
ELISA, IHC-F, IHC-P
Supplier data
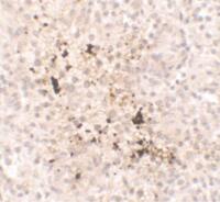
Lifespan Biosciences
LS-B10080
Rabbit Poly, 50 ug
Hu, Mo, Rt
ELISA, IHC-F, IHC-P, WB
ELISA, Interleukin 15 antibody, LS-B10080, Lifespan Biosciences, Immunohistochemistry frozen image  IHC-F, Interleukin 15 antibody, LS-B10080, Lifespan Biosciences, Immunohistochemistry paraffin image  IHC-P
Supplier data
R&D Systems
AF447
Goat Poly, 100 ug
Mo
IHC-F, IHC-P, Neu, WB
Interleukin 15 antibody, AF447, R&D Systems, Immunohistochemistry frozen image  IHC-F, Interleukin 15 antibody, AF447, R&D Systems, Immunohistochemistry paraffin image  IHC-P, Interleukin 15 antibody, AF447, R&D Systems, Neutralising image  Neu
Supplier data
R&D Systems
AF315
Goat Poly, 100 ug
Hu
IHC-F, IHC-P, Neu, WB
Interleukin 15 antibody, AF315, R&D Systems, Immunohistochemistry frozen image  IHC-F, Interleukin 15 antibody, AF315, R&D Systems, Immunohistochemistry paraffin image  IHC-P, Interleukin 15 antibody, AF315, R&D Systems, Neutralising image  Neu
Supplier data
R&D Systems
BAF447
Goat Poly, 50 ug
Mo
ELISA, IHC-F, IHC-P, WB
ELISA, Interleukin 15 antibody, BAF447, R&D Systems, Immunohistochemistry frozen image  IHC-F, Interleukin 15 antibody, BAF447, R&D Systems, Immunohistochemistry paraffin image  IHC-P
Supplier data
Invitrogen Antibodies
PA5-34511
Rabbit Poly, 100 ug
Hu, Mo, Rt
IHC-F, IHC-P, WB
Interleukin 15 antibody, PA5-34511, Invitrogen Antibodies, Immunohistochemistry frozen image  IHC-F, Interleukin 15 antibody, PA5-34511, Invitrogen Antibodies, Immunohistochemistry paraffin image  IHC-P

Related antibodies

Interleukin 15 antibodies are often published withAssociated citations
EGFR20.0%
Interleukin 7 Receptor20.0%
CD4520.0%
CD413.3%
CD2813.3%
PMP-2213.3%
CD2513.3%
Neural Cell Adhesion Molecule 16.7%
Apoptotic Peptidase Activating Factor 16.7%
Granulysin6.7%