2 million antibody products . Find yours today
View products

0 matching Chromosome 19 Open Reading Frame 33 antibodies for Immunohistochemistry paraffin from 5 suppliers

Superstar Kits

Chromosome 19 Open Reading Frame 33 information

Aliases

Chromosome 19 Open Reading Frame 33 is also known as C19orf33, H2RSP, HAI-2-related small protein, IMUP

1 Applications, 2 Species currently selected

All  None               
  ELISA External link   IF External link   ICC External link   WB External link   IHC-F External link   IHC-P External link   IP External link
Human  External link   17      10       9       5       3       3       1   
Mouse  External link    1   

View matching ELISA Kits

0 matching Chromosome 19 Open Reading Frame 33 antibodies for Immunohistochemistry paraffin after applying filters

Click each Chromosome 19 Open Reading Frame 33 antibody that interests you to view the full Chromosome 19 Open Reading Frame 33 antibody datasheet.
View only Chromosome 19 Open Reading Frame 33 Monoclonal Antibodies or Chromosome 19 Open Reading Frame 33 Polyclonal Antibodies

Immunohistochemistry paraffin - Use Filter to switch application

Supplier data
Atlas Antibodies
HPA054406
Rabbit Poly, 100 ul
Hu
ICC, IF, IHC-F, IHC-P
Chromosome 19 Open Reading Frame 33 antibody, HPA054406, Atlas Antibodies, Immunocytochemistry image  ICC, Chromosome 19 Open Reading Frame 33 antibody, HPA054406, Atlas Antibodies, Immunofluorescence image  IF, Chromosome 19 Open Reading Frame 33 antibody, HPA054406, Atlas Antibodies, Immunohistochemistry frozen image  IHC-F
Supplier data
Novus Biologicals
NBP2-14392
Rabbit Poly, 100 ul
Hu
ICC, IF, IHC-F, IHC-P
Chromosome 19 Open Reading Frame 33 antibody, NBP2-14392, Novus Biologicals, Immunocytochemistry image  ICC, Chromosome 19 Open Reading Frame 33 antibody, NBP2-14392, Novus Biologicals, Immunofluorescence image  IF, Chromosome 19 Open Reading Frame 33 antibody, NBP2-14392, Novus Biologicals, Immunohistochemistry frozen image  IHC-F
Supplier data
Invitrogen Antibodies
PA5-62962
Rabbit Poly, 100 ul
Hu
IF, IHC-F, IHC-P
Chromosome 19 Open Reading Frame 33 antibody, PA5-62962, Invitrogen Antibodies, Immunofluorescence image  IF, Chromosome 19 Open Reading Frame 33 antibody, PA5-62962, Invitrogen Antibodies, Immunohistochemistry frozen image  IHC-F

Immunofluorescence

Supplier data
Atlas Antibodies
HPA054406
Rabbit Poly, 100 ul
Hu
ICC, IF, IHC-F, IHC-P
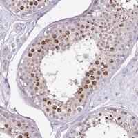
Chromosome 19 Open Reading Frame 33 antibody, HPA054406, Atlas Antibodies, Immunocytochemistry image  ICC, Chromosome 19 Open Reading Frame 33 antibody, HPA054406, Atlas Antibodies, Immunohistochemistry frozen image  IHC-F, Chromosome 19 Open Reading Frame 33 antibody, HPA054406, Atlas Antibodies, Immunohistochemistry paraffin image  IHC-P
Supplier data
Novus Biologicals
NBP2-14392
Rabbit Poly, 100 ul
Hu
ICC, IF, IHC-F, IHC-P
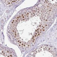
Chromosome 19 Open Reading Frame 33 antibody, NBP2-14392, Novus Biologicals, Immunocytochemistry image  ICC, Chromosome 19 Open Reading Frame 33 antibody, NBP2-14392, Novus Biologicals, Immunohistochemistry frozen image  IHC-F, Chromosome 19 Open Reading Frame 33 antibody, NBP2-14392, Novus Biologicals, Immunohistochemistry paraffin image  IHC-P
Supplier data
Invitrogen Antibodies
PA5-62962
Rabbit Poly, 100 ul
Hu
IF, IHC-F, IHC-P
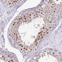
Chromosome 19 Open Reading Frame 33 antibody, PA5-62962, Invitrogen Antibodies, Immunohistochemistry frozen image  IHC-F, Chromosome 19 Open Reading Frame 33 antibody, PA5-62962, Invitrogen Antibodies, Immunohistochemistry paraffin image  IHC-P

Immunocytochemistry

Supplier data
Atlas Antibodies
HPA054406
Rabbit Poly, 100 ul
Hu
ICC, IF, IHC-F, IHC-P
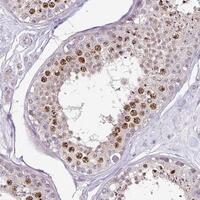
Chromosome 19 Open Reading Frame 33 antibody, HPA054406, Atlas Antibodies, Immunofluorescence image  IF, Chromosome 19 Open Reading Frame 33 antibody, HPA054406, Atlas Antibodies, Immunohistochemistry frozen image  IHC-F, Chromosome 19 Open Reading Frame 33 antibody, HPA054406, Atlas Antibodies, Immunohistochemistry paraffin image  IHC-P
Supplier data
Novus Biologicals
NBP2-14392
Rabbit Poly, 100 ul
Hu
ICC, IF, IHC-F, IHC-P
Chromosome 19 Open Reading Frame 33 antibody, NBP2-14392, Novus Biologicals, Immunofluorescence image  IF, Chromosome 19 Open Reading Frame 33 antibody, NBP2-14392, Novus Biologicals, Immunohistochemistry frozen image  IHC-F, Chromosome 19 Open Reading Frame 33 antibody, NBP2-14392, Novus Biologicals, Immunohistochemistry paraffin image  IHC-P

Immunohistochemistry frozen

Supplier data
Atlas Antibodies
HPA054406
Rabbit Poly, 100 ul
Hu
ICC, IF, IHC-F, IHC-P
Chromosome 19 Open Reading Frame 33 antibody, HPA054406, Atlas Antibodies, Immunocytochemistry image  ICC, Chromosome 19 Open Reading Frame 33 antibody, HPA054406, Atlas Antibodies, Immunofluorescence image  IF, Chromosome 19 Open Reading Frame 33 antibody, HPA054406, Atlas Antibodies, Immunohistochemistry paraffin image  IHC-P
Supplier data
Novus Biologicals
NBP2-14392
Rabbit Poly, 100 ul
Hu
ICC, IF, IHC-F, IHC-P
Chromosome 19 Open Reading Frame 33 antibody, NBP2-14392, Novus Biologicals, Immunocytochemistry image  ICC, Chromosome 19 Open Reading Frame 33 antibody, NBP2-14392, Novus Biologicals, Immunofluorescence image  IF, Chromosome 19 Open Reading Frame 33 antibody, NBP2-14392, Novus Biologicals, Immunohistochemistry paraffin image  IHC-P

Related antibodies

Chromosome 19 Open Reading Frame 33 antibodies are often published withAssociated citations
BCL2300.0%
Caspase 3200.0%
X-Linked Inhibitor Of Apoptosis200.0%
Caspase 9200.0%
BCL2 Antagonist/Killer 1100.0%
HIF-2-alpha100.0%