2 million antibody products . Find yours today
View products

3 matching Chromosome 6 Open Reading Frame 226 antibodies for Immunohistochemistry paraffin from 2 suppliers

Superstar Kits

Chromosome 6 Open Reading Frame 226 information

Aliases

Chromosome 6 Open Reading Frame 226 is also known as C6orf226, CF226

1 Applications, 2 Species currently selected

All  None               
  ICC External link   IF External link   IHC-P External link   WB External link   IHC-F External link   ELISA External link   Pep-ELISA External link
Human  External link   32      31       7       6       4       2       1   
Rat  External link    7       6       3       3       2       1   

View matching ELISA Kits

3 matching Chromosome 6 Open Reading Frame 226 antibodies for Immunohistochemistry paraffin after applying filters

Click each Chromosome 6 Open Reading Frame 226 antibody that interests you to view the full Chromosome 6 Open Reading Frame 226 antibody datasheet.
View only Chromosome 6 Open Reading Frame 226 Monoclonal Antibodies or Chromosome 6 Open Reading Frame 226 Polyclonal Antibodies

Immunohistochemistry paraffin - Use Filter to switch application

Supplier data
Novus Biologicals
NBP1-91739
Rabbit Poly, 100 ul
Hu
ICC, IF, IHC-F, IHC-P, WB
Chromosome 6 Open Reading Frame 226 antibody, NBP1-91739, Novus Biologicals, Immunocytochemistry image  ICC, Chromosome 6 Open Reading Frame 226 antibody, NBP1-91739, Novus Biologicals, Immunofluorescence image  IF, Chromosome 6 Open Reading Frame 226 antibody, NBP1-91739, Novus Biologicals, Immunohistochemistry frozen image  IHC-F, Chromosome 6 Open Reading Frame 226 antibody, NBP1-91739, Novus Biologicals, Western Blot image  WB
Supplier data
Invitrogen Antibodies
PA5-60981
Rabbit Poly, 100 ul
Hu
ICC, IF, IHC-F, IHC-P, WB
ICC, Chromosome 6 Open Reading Frame 226 antibody, PA5-60981, Invitrogen Antibodies, Immunofluorescence image  IF, Chromosome 6 Open Reading Frame 226 antibody, PA5-60981, Invitrogen Antibodies, Immunohistochemistry frozen image  IHC-F, Chromosome 6 Open Reading Frame 226 antibody, PA5-60981, Invitrogen Antibodies, Western Blot image  WB
Supplier data
Atlas Antibodies
HPA045350
Rabbit Poly, 100 ul
Hu
ICC, IF, IHC-F, IHC-P, WB
Chromosome 6 Open Reading Frame 226 antibody, HPA045350, Atlas Antibodies, Immunocytochemistry image  ICC, Chromosome 6 Open Reading Frame 226 antibody, HPA045350, Atlas Antibodies, Immunofluorescence image  IF, Chromosome 6 Open Reading Frame 226 antibody, HPA045350, Atlas Antibodies, Immunohistochemistry frozen image  IHC-F, Chromosome 6 Open Reading Frame 226 antibody, HPA045350, Atlas Antibodies, Western Blot image  WB
Supplier data
Sino Biological
204598-T02
Rabbit Poly, 200 ul
Hu
ICC, IF, IHC-F, IHC-P
ICC, IF, Chromosome 6 Open Reading Frame 226 antibody, 204598-T02, Sino Biological, Immunohistochemistry frozen image  IHC-F

Immunohistochemistry frozen

Supplier data
Novus Biologicals
NBP1-91739
Rabbit Poly, 100 ul
Hu
ICC, IF, IHC-F, IHC-P, WB
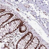
Chromosome 6 Open Reading Frame 226 antibody, NBP1-91739, Novus Biologicals, Immunocytochemistry image  ICC, Chromosome 6 Open Reading Frame 226 antibody, NBP1-91739, Novus Biologicals, Immunofluorescence image  IF, Chromosome 6 Open Reading Frame 226 antibody, NBP1-91739, Novus Biologicals, Immunohistochemistry paraffin image  IHC-P, Chromosome 6 Open Reading Frame 226 antibody, NBP1-91739, Novus Biologicals, Western Blot image  WB
Supplier data
Invitrogen Antibodies
PA5-60981
Rabbit Poly, 100 ul
Hu
ICC, IF, IHC-F, IHC-P, WB
ICC, Chromosome 6 Open Reading Frame 226 antibody, PA5-60981, Invitrogen Antibodies, Immunofluorescence image  IF, Chromosome 6 Open Reading Frame 226 antibody, PA5-60981, Invitrogen Antibodies, Immunohistochemistry paraffin image  IHC-P, Chromosome 6 Open Reading Frame 226 antibody, PA5-60981, Invitrogen Antibodies, Western Blot image  WB
Supplier data
Atlas Antibodies
HPA045350
Rabbit Poly, 100 ul
Hu
ICC, IF, IHC-F, IHC-P, WB
Chromosome 6 Open Reading Frame 226 antibody, HPA045350, Atlas Antibodies, Immunocytochemistry image  ICC, Chromosome 6 Open Reading Frame 226 antibody, HPA045350, Atlas Antibodies, Immunofluorescence image  IF, Chromosome 6 Open Reading Frame 226 antibody, HPA045350, Atlas Antibodies, Immunohistochemistry paraffin image  IHC-P, Chromosome 6 Open Reading Frame 226 antibody, HPA045350, Atlas Antibodies, Western Blot image  WB
Supplier data
Sino Biological
204598-T02
Rabbit Poly, 200 ul
Hu
ICC, IF, IHC-F, IHC-P
ICC, IF, Chromosome 6 Open Reading Frame 226 antibody, 204598-T02, Sino Biological, Immunohistochemistry paraffin image  IHC-P

Immunocytochemistry

Supplier data
Novus Biologicals
NBP1-91739
Rabbit Poly, 100 ul
Hu
ICC, IF, IHC-F, IHC-P, WB
Chromosome 6 Open Reading Frame 226 antibody, NBP1-91739, Novus Biologicals, Immunofluorescence image  IF, Chromosome 6 Open Reading Frame 226 antibody, NBP1-91739, Novus Biologicals, Immunohistochemistry frozen image  IHC-F, Chromosome 6 Open Reading Frame 226 antibody, NBP1-91739, Novus Biologicals, Immunohistochemistry paraffin image  IHC-P, Chromosome 6 Open Reading Frame 226 antibody, NBP1-91739, Novus Biologicals, Western Blot image  WB
Supplier data
Atlas Antibodies
HPA045350
Rabbit Poly, 100 ul
Hu
ICC, IF, IHC-F, IHC-P, WB
Chromosome 6 Open Reading Frame 226 antibody, HPA045350, Atlas Antibodies, Immunofluorescence image  IF, Chromosome 6 Open Reading Frame 226 antibody, HPA045350, Atlas Antibodies, Immunohistochemistry frozen image  IHC-F, Chromosome 6 Open Reading Frame 226 antibody, HPA045350, Atlas Antibodies, Immunohistochemistry paraffin image  IHC-P, Chromosome 6 Open Reading Frame 226 antibody, HPA045350, Atlas Antibodies, Western Blot image  WB