2 million antibody products . Find yours today
View products

17 matching Kallikrein Related Peptidase 9 antibodies for Immunohistochemistry paraffin from 10 suppliers

Superstar Kits

Kallikrein Related Peptidase 9 information

Aliases

Kallikrein Related Peptidase 9 is also known as Kallikrein L3, Kallikrein-9, Kallikrein-like protein 3, KLK-L3, KLK9

1 Applications, 3 Species currently selected

All  None               
  WB External link   ELISA External link   IHC-P External link   IHC-F External link   IP External link   ICC External link   IF External link
Human  External link   45      24      23      21       7       2       2   
Rat  External link    8       7       4       1       2       2   
Mouse  External link    3       3       2   

View matching ELISA Kits

17 matching Kallikrein Related Peptidase 9 antibodies for Immunohistochemistry paraffin after applying filters

Click each Kallikrein Related Peptidase 9 antibody that interests you to view the full Kallikrein Related Peptidase 9 antibody datasheet.
View only Kallikrein Related Peptidase 9 Monoclonal Antibodies or Kallikrein Related Peptidase 9 Polyclonal Antibodies

Immunohistochemistry paraffin - Use Filter to switch application

Supplier data
R&D Systems
AF3486
Goat Poly, 100 ug
Hu
IHC-F, IHC-P, IP, WB
Kallikrein Related Peptidase 9 antibody, AF3486, R&D Systems, Immunohistochemistry frozen image  IHC-F, IP, Kallikrein Related Peptidase 9 antibody, AF3486, R&D Systems, Western Blot image  WB
Supplier data
Invitrogen Antibodies
PA5-47497
Goat Poly, 100 ug
Hu
IHC-F, IHC-P, IP, WB
Kallikrein Related Peptidase 9 antibody, PA5-47497, Invitrogen Antibodies, Immunohistochemistry frozen image  IHC-F, IP, WB
Supplier data
Invitrogen Antibodies
PA1-23459
Rabbit Poly, 100 ug
Hu
ELISA, IHC-F, IHC-P, WB
ELISA, Kallikrein Related Peptidase 9 antibody, PA1-23459, Invitrogen Antibodies, Immunohistochemistry frozen image  IHC-F, WB
Supplier data
GeneTex
GTX70427
Rabbit Poly, 100 ug
Hu
ELISA, IHC-F, IHC-P, WB
ELISA, Kallikrein Related Peptidase 9 antibody, GTX70427, GeneTex, Immunohistochemistry frozen image  IHC-F, WB

Western Blot

Supplier data
Novus Biologicals
NB200-136
Rabbit Poly, 100 ug
Hu
ELISA, IHC-F, IHC-P, IP, WB
ELISA, IHC-F, IHC-P, IP
Supplier data
R&D Systems
AF3486
Goat Poly, 100 ug
Hu
IHC-F, IHC-P, IP, WB
Kallikrein Related Peptidase 9 antibody, AF3486, R&D Systems, Immunohistochemistry frozen image  IHC-F, Kallikrein Related Peptidase 9 antibody, AF3486, R&D Systems, Immunohistochemistry paraffin image  IHC-P, IP
Supplier data
Abbexa
abx131235
Rabbit Poly, 10 ug
Hu
ICC, IF, IHC-F, IHC-P, IP, WB
ICC, IF, IHC-F, IHC-P, IP
Supplier data
Biorbyt
orb13529
Rabbit Poly, 200 ug
Hu, Mo, Rt
ELISA, IHC-P, WB
Kallikrein Related Peptidase 9 antibody, orb13529, Biorbyt, Enzyme Linked Immunosorbent Assay image  ELISA, IHC-P

Enzyme Linked Immunosorbent Assay

Supplier data
Biorbyt
orb13529
Rabbit Poly, 200 ug
Hu, Mo, Rt
ELISA, IHC-P, WB
IHC-P, Kallikrein Related Peptidase 9 antibody, orb13529, Biorbyt, Western Blot image  WB

Immunohistochemistry frozen

Supplier data
R&D Systems
AF3486
Goat Poly, 100 ug
Hu
IHC-F, IHC-P, IP, WB
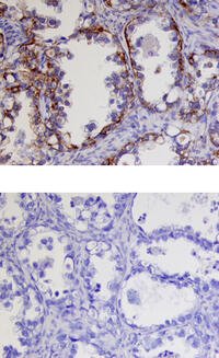
Kallikrein Related Peptidase 9 antibody, AF3486, R&D Systems, Immunohistochemistry paraffin image  IHC-P, IP, Kallikrein Related Peptidase 9 antibody, AF3486, R&D Systems, Western Blot image  WB
Supplier data
Invitrogen Antibodies
PA5-47497
Goat Poly, 100 ug
Hu
IHC-F, IHC-P, IP, WB
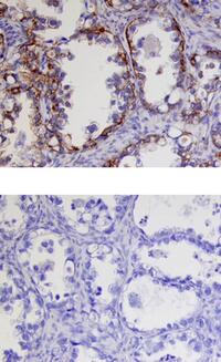
Kallikrein Related Peptidase 9 antibody, PA5-47497, Invitrogen Antibodies, Immunohistochemistry paraffin image  IHC-P, IP, WB
Supplier data
Invitrogen Antibodies
PA1-23459
Rabbit Poly, 100 ug
Hu
ELISA, IHC-F, IHC-P, WB
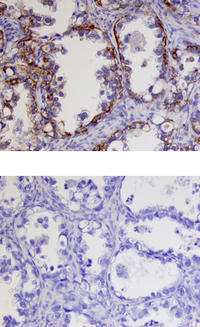
ELISA, Kallikrein Related Peptidase 9 antibody, PA1-23459, Invitrogen Antibodies, Immunohistochemistry paraffin image  IHC-P, WB
Supplier data
GeneTex
GTX70427
Rabbit Poly, 100 ug
Hu
ELISA, IHC-F, IHC-P, WB
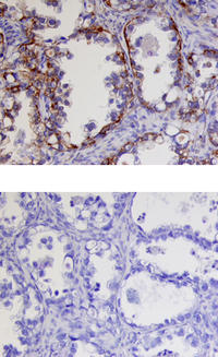
ELISA, Kallikrein Related Peptidase 9 antibody, GTX70427, GeneTex, Immunohistochemistry paraffin image  IHC-P, WB