2 million antibody products . Find yours today
View products

17 matching Inositol Polyphosphate-1-Phosphatase antibodies for Immunohistochemistry paraffin from 9 suppliers

Superstar Kits

Inositol Polyphosphate-1-Phosphatase information

Aliases

Inositol Polyphosphate-1-Phosphatase is also known as INPP, INPP1, IPP, IPPase

1 Applications, 7 Species currently selected

All  None               
  WB External link   IHC-P External link   IHC-F External link   ICC External link   IF External link   ELISA External link   IP External link
Human  External link   23      17      12      10      10       7       2   
Mouse  External link    8   
Rat  External link    2   
Guinea Pig  External link    1   
Rabbit  External link    1   
Equine  External link    1   
Canine  External link    1   

View matching ELISA Kits

17 matching Inositol Polyphosphate-1-Phosphatase antibodies for Immunohistochemistry paraffin after applying filters

Click each Inositol Polyphosphate-1-Phosphatase antibody that interests you to view the full Inositol Polyphosphate-1-Phosphatase antibody datasheet.
View only Inositol Polyphosphate-1-Phosphatase Monoclonal Antibodies or Inositol Polyphosphate-1-Phosphatase Polyclonal Antibodies

Immunohistochemistry paraffin - Use Filter to switch application

Supplier data
Atlas Antibodies
HPA036699
Rabbit Poly, 100 ul
Hu
ICC, IF, IHC-F, IHC-P
Inositol Polyphosphate-1-Phosphatase antibody, HPA036699, Atlas Antibodies, Immunocytochemistry image  ICC, Inositol Polyphosphate-1-Phosphatase antibody, HPA036699, Atlas Antibodies, Immunofluorescence image  IF, Inositol Polyphosphate-1-Phosphatase antibody, HPA036699, Atlas Antibodies, Immunohistochemistry frozen image  IHC-F
Supplier data
Atlas Antibodies
HPA036698
Rabbit Poly, 100 ul
Hu
IHC-F, IHC-P
Inositol Polyphosphate-1-Phosphatase antibody, HPA036698, Atlas Antibodies, Immunohistochemistry frozen image  IHC-F
Supplier data
Novus Biologicals
NBP1-85889
Rabbit Poly, 100 ul
Hu
ICC, IF, IHC-F, IHC-P, WB
Inositol Polyphosphate-1-Phosphatase antibody, NBP1-85889, Novus Biologicals, Immunocytochemistry image  ICC, Inositol Polyphosphate-1-Phosphatase antibody, NBP1-85889, Novus Biologicals, Immunofluorescence image  IF, Inositol Polyphosphate-1-Phosphatase antibody, NBP1-85889, Novus Biologicals, Immunohistochemistry frozen image  IHC-F, Inositol Polyphosphate-1-Phosphatase antibody, NBP1-85889, Novus Biologicals, Western Blot image  WB
Supplier data
Novus Biologicals
NBP1-31475
Rabbit Poly, 100 ul
Hu
ICC, IF, IHC-F, IHC-P, WB
Inositol Polyphosphate-1-Phosphatase antibody, NBP1-31475, Novus Biologicals, Immunocytochemistry image  ICC, Inositol Polyphosphate-1-Phosphatase antibody, NBP1-31475, Novus Biologicals, Immunofluorescence image  IF, Inositol Polyphosphate-1-Phosphatase antibody, NBP1-31475, Novus Biologicals, Immunohistochemistry frozen image  IHC-F, Inositol Polyphosphate-1-Phosphatase antibody, NBP1-31475, Novus Biologicals, Western Blot image  WB
Supplier data
Novus Biologicals
NBP2-48662
Rabbit Poly, 100 ul
Hu
ICC, IF, IHC-F, IHC-P
Inositol Polyphosphate-1-Phosphatase antibody, NBP2-48662, Novus Biologicals, Immunocytochemistry image  ICC, Inositol Polyphosphate-1-Phosphatase antibody, NBP2-48662, Novus Biologicals, Immunofluorescence image  IF, Inositol Polyphosphate-1-Phosphatase antibody, NBP2-48662, Novus Biologicals, Immunohistochemistry frozen image  IHC-F
Supplier data
Epigentek
A59482-100
Rabbit Poly, 100 ug
Hu
ELISA, IHC-F, IHC-P
ELISA, IHC-F
Supplier data
Lifespan Biosciences
LS-C185733
Rabbit Poly, 1 Vial
Hu
ICC, IHC-F, IHC-P, WB
Inositol Polyphosphate-1-Phosphatase antibody, LS-C185733, Lifespan Biosciences, Immunocytochemistry image  ICC, Inositol Polyphosphate-1-Phosphatase antibody, LS-C185733, Lifespan Biosciences, Immunohistochemistry frozen image  IHC-F, Inositol Polyphosphate-1-Phosphatase antibody, LS-C185733, Lifespan Biosciences, Western Blot image  WB
Supplier data
Lifespan Biosciences
LS-C375961
Rabbit Poly, 1 Vial
Hu
ELISA, IHC-F, IHC-P
ELISA, Inositol Polyphosphate-1-Phosphatase antibody, LS-C375961, Lifespan Biosciences, Immunohistochemistry frozen image  IHC-F
Supplier data
Invitrogen Antibodies
PA5-21691
Rabbit Poly, 100 ul
Hu
ICC, IF, IHC-F, IHC-P, WB
ICC, Inositol Polyphosphate-1-Phosphatase antibody, PA5-21691, Invitrogen Antibodies, Immunofluorescence image  IF, Inositol Polyphosphate-1-Phosphatase antibody, PA5-21691, Invitrogen Antibodies, Immunohistochemistry frozen image  IHC-F, Inositol Polyphosphate-1-Phosphatase antibody, PA5-21691, Invitrogen Antibodies, Western Blot image  WB
Supplier data
Invitrogen Antibodies
PA5-57778
Rabbit Poly, 100 ul
Hu
ICC, IF, IHC-F, IHC-P
ICC, Inositol Polyphosphate-1-Phosphatase antibody, PA5-57778, Invitrogen Antibodies, Immunofluorescence image  IF, Inositol Polyphosphate-1-Phosphatase antibody, PA5-57778, Invitrogen Antibodies, Immunohistochemistry frozen image  IHC-F
Supplier data
Invitrogen Antibodies
PA5-57777
Rabbit Poly, 100 ul
Hu
IHC-F, IHC-P, WB
Inositol Polyphosphate-1-Phosphatase antibody, PA5-57777, Invitrogen Antibodies, Immunohistochemistry frozen image  IHC-F, Inositol Polyphosphate-1-Phosphatase antibody, PA5-57777, Invitrogen Antibodies, Western Blot image  WB
Supplier data
GeneTex
GTX105739
Rabbit Poly, 100 ul
Hu
ICC, IF, IHC-P, WB
Inositol Polyphosphate-1-Phosphatase antibody, GTX105739, GeneTex, Immunocytochemistry image  ICC, Inositol Polyphosphate-1-Phosphatase antibody, GTX105739, GeneTex, Immunofluorescence image  IF, Inositol Polyphosphate-1-Phosphatase antibody, GTX105739, GeneTex, Western Blot image  WB
Supplier data
Biorbyt
orb73729
Rabbit Poly, 100 ul
Hu
ICC, IF, IHC-P, WB
Inositol Polyphosphate-1-Phosphatase antibody, orb73729, Biorbyt, Immunocytochemistry image  ICC, Inositol Polyphosphate-1-Phosphatase antibody, orb73729, Biorbyt, Immunofluorescence image  IF, Inositol Polyphosphate-1-Phosphatase antibody, orb73729, Biorbyt, Western Blot image  WB
Supplier data
Biorbyt
orb77972
Rabbit Poly, 100 ug
Hu
ELISA, IHC-P
ELISA
Supplier data
Biorbyt
orb355291
Rabbit Poly, 50 ug
Hu
ELISA, IHC-P
ELISA

Western Blot

Supplier data
Origene
TA308486
Rabbit Poly, 100 ul
Hu
IF, IHC-F, IHC-P, WB
IF, IHC-F, IHC-P
Supplier data
Novus Biologicals
NBP1-85889
Rabbit Poly, 100 ul
Hu
ICC, IF, IHC-F, IHC-P, WB
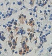
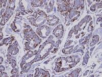
Inositol Polyphosphate-1-Phosphatase antibody, NBP1-85889, Novus Biologicals, Immunocytochemistry image  ICC, Inositol Polyphosphate-1-Phosphatase antibody, NBP1-85889, Novus Biologicals, Immunofluorescence image  IF, Inositol Polyphosphate-1-Phosphatase antibody, NBP1-85889, Novus Biologicals, Immunohistochemistry frozen image  IHC-F, Inositol Polyphosphate-1-Phosphatase antibody, NBP1-85889, Novus Biologicals, Immunohistochemistry paraffin image  IHC-P
Supplier data
Novus Biologicals
NBP1-31475
Rabbit Poly, 100 ul
Hu
ICC, IF, IHC-F, IHC-P, WB
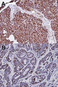
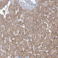
Inositol Polyphosphate-1-Phosphatase antibody, NBP1-31475, Novus Biologicals, Immunocytochemistry image  ICC, Inositol Polyphosphate-1-Phosphatase antibody, NBP1-31475, Novus Biologicals, Immunofluorescence image  IF, Inositol Polyphosphate-1-Phosphatase antibody, NBP1-31475, Novus Biologicals, Immunohistochemistry frozen image  IHC-F, Inositol Polyphosphate-1-Phosphatase antibody, NBP1-31475, Novus Biologicals, Immunohistochemistry paraffin image  IHC-P
Supplier data
Lifespan Biosciences
LS-C185733
Rabbit Poly, 1 Vial
Hu
ICC, IHC-F, IHC-P, WB
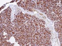
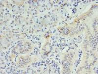
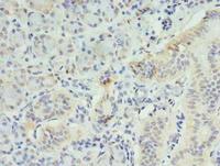
Inositol Polyphosphate-1-Phosphatase antibody, LS-C185733, Lifespan Biosciences, Immunocytochemistry image  ICC, Inositol Polyphosphate-1-Phosphatase antibody, LS-C185733, Lifespan Biosciences, Immunohistochemistry frozen image  IHC-F, Inositol Polyphosphate-1-Phosphatase antibody, LS-C185733, Lifespan Biosciences, Immunohistochemistry paraffin image  IHC-P

Related antibodies

Inositol Polyphosphate-1-Phosphatase antibodies are often published withAssociated citations
Intracisternal A Particle-Promoted Polypeptide100.0%