2 million antibody products . Find yours today
View products

25 matching Heat Shock Protein Family A (Hsp70) Member 12B antibodies for Immunohistochemistry frozen from 10 suppliers

Superstar Kits

Heat Shock Protein Family A (Hsp70) Member 12B information

Aliases

Heat Shock Protein Family A (Hsp70) Member 12B is also known as C20orf60, Heat shock 70 kDa protein 12B, HS12B, HSPA12B

1 Applications, 3 Species currently selected


View matching ELISA Kits

25 matching Heat Shock Protein Family A (Hsp70) Member 12B antibodies for Immunohistochemistry frozen after applying filters

Click each Heat Shock Protein Family A (Hsp70) Member 12B antibody that interests you to view the full Heat Shock Protein Family A (Hsp70) Member 12B antibody datasheet.
View only Heat Shock Protein Family A (Hsp70) Member 12B Monoclonal Antibodies or Heat Shock Protein Family A (Hsp70) Member 12B Polyclonal Antibodies

Immunohistochemistry frozen - Use Filter to switch application

Supplier data
Atlas Antibodies
HPA013659
Rabbit Poly, 100 ul
Hu, Mo, Rt
IHC-F, IHC-P, WB
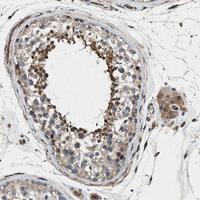
Heat Shock Protein Family A (Hsp70) Member 12B antibody, HPA013659, Atlas Antibodies, Immunohistochemistry paraffin image  IHC-P, Heat Shock Protein Family A (Hsp70) Member 12B antibody, HPA013659, Atlas Antibodies, Western Blot image  WB
Supplier data
Atlas Antibodies
HPA015639
Rabbit Poly, 100 ul
Hu
IHC-F, IHC-P
Heat Shock Protein Family A (Hsp70) Member 12B antibody, HPA015639, Atlas Antibodies, Immunohistochemistry paraffin image  IHC-P
Supplier data
Novus Biologicals
NBP1-88293
Rabbit Poly, 100 ul
Hu
ICC, IF, IHC-F, IHC-P, WB
Heat Shock Protein Family A (Hsp70) Member 12B antibody, NBP1-88293, Novus Biologicals, Immunocytochemistry image  ICC, Heat Shock Protein Family A (Hsp70) Member 12B antibody, NBP1-88293, Novus Biologicals, Immunofluorescence image  IF, Heat Shock Protein Family A (Hsp70) Member 12B antibody, NBP1-88293, Novus Biologicals, Immunohistochemistry paraffin image  IHC-P, Heat Shock Protein Family A (Hsp70) Member 12B antibody, NBP1-88293, Novus Biologicals, Western Blot image  WB
Supplier data
Novus Biologicals
NBP1-88294
Rabbit Poly, 100 ul
Hu
IHC-F, IHC-P
Heat Shock Protein Family A (Hsp70) Member 12B antibody, NBP1-88294, Novus Biologicals, Immunohistochemistry paraffin image  IHC-P
Supplier data
Lifespan Biosciences
LS-C203671
Rabbit Poly, 1 Vial
Hu
IHC-F, IHC-P, WB
Heat Shock Protein Family A (Hsp70) Member 12B antibody, LS-C203671, Lifespan Biosciences, Immunohistochemistry paraffin image  IHC-P, Heat Shock Protein Family A (Hsp70) Member 12B antibody, LS-C203671, Lifespan Biosciences, Western Blot image  WB
Supplier data
Invitrogen Antibodies
PA5-53076
Rabbit Poly, 100 ul
Hu, Mo, Rt
ICC, IF, IHC-F, IHC-P, WB
ICC, Heat Shock Protein Family A (Hsp70) Member 12B antibody, PA5-53076, Invitrogen Antibodies, Immunofluorescence image  IF, Heat Shock Protein Family A (Hsp70) Member 12B antibody, PA5-53076, Invitrogen Antibodies, Immunohistochemistry paraffin image  IHC-P, Heat Shock Protein Family A (Hsp70) Member 12B antibody, PA5-53076, Invitrogen Antibodies, Western Blot image  WB
Supplier data
Invitrogen Antibodies
PA5-48597
Rabbit Poly, 400 ul
Hu
IHC-F, IHC-P, WB
Heat Shock Protein Family A (Hsp70) Member 12B antibody, PA5-48597, Invitrogen Antibodies, Immunohistochemistry paraffin image  IHC-P, Heat Shock Protein Family A (Hsp70) Member 12B antibody, PA5-48597, Invitrogen Antibodies, Western Blot image  WB
Supplier data
Invitrogen Antibodies
PA5-53354
Rabbit Poly, 100 ul
Hu
IHC-F, IHC-P
Heat Shock Protein Family A (Hsp70) Member 12B antibody, PA5-53354, Invitrogen Antibodies, Immunohistochemistry paraffin image  IHC-P
Supplier data
ProSci
57-135
Rabbit Poly, 400 ul
Hu
IHC-F, IHC-P, WB
Heat Shock Protein Family A (Hsp70) Member 12B antibody, 57-135, ProSci, Immunohistochemistry paraffin image  IHC-P, Heat Shock Protein Family A (Hsp70) Member 12B antibody, 57-135, ProSci, Western Blot image  WB
Supplier data
Abbexa
abx027478
Rabbit Poly, 400 ul
Hu
IHC-F, IHC-P, WB
Heat Shock Protein Family A (Hsp70) Member 12B antibody, abx027478, Abbexa, Immunohistochemistry paraffin image  IHC-P, Heat Shock Protein Family A (Hsp70) Member 12B antibody, abx027478, Abbexa, Western Blot image  WB

Western Blot

Supplier data
Atlas Antibodies
HPA013659
Rabbit Poly, 100 ul
Hu, Mo, Rt
IHC-F, IHC-P, WB
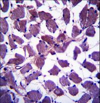
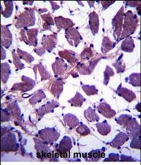
Heat Shock Protein Family A (Hsp70) Member 12B antibody, HPA013659, Atlas Antibodies, Immunohistochemistry frozen image  IHC-F, Heat Shock Protein Family A (Hsp70) Member 12B antibody, HPA013659, Atlas Antibodies, Immunohistochemistry paraffin image  IHC-P
Supplier data
Novus Biologicals
NBP1-88293
Rabbit Poly, 100 ul
Hu
ICC, IF, IHC-F, IHC-P, WB
Heat Shock Protein Family A (Hsp70) Member 12B antibody, NBP1-88293, Novus Biologicals, Immunocytochemistry image  ICC, Heat Shock Protein Family A (Hsp70) Member 12B antibody, NBP1-88293, Novus Biologicals, Immunofluorescence image  IF, Heat Shock Protein Family A (Hsp70) Member 12B antibody, NBP1-88293, Novus Biologicals, Immunohistochemistry frozen image  IHC-F, Heat Shock Protein Family A (Hsp70) Member 12B antibody, NBP1-88293, Novus Biologicals, Immunohistochemistry paraffin image  IHC-P
Supplier data
Lifespan Biosciences
LS-C203671
Rabbit Poly, 1 Vial
Hu
IHC-F, IHC-P, WB
Heat Shock Protein Family A (Hsp70) Member 12B antibody, LS-C203671, Lifespan Biosciences, Immunohistochemistry frozen image  IHC-F, Heat Shock Protein Family A (Hsp70) Member 12B antibody, LS-C203671, Lifespan Biosciences, Immunohistochemistry paraffin image  IHC-P

Related antibodies

Heat Shock Protein Family A (Hsp70) Member 12B antibodies are often published withAssociated citations
Caspase 3200.0%