2 million antibody products . Find yours today
View products

231 matching Forkhead Box O1 antibodies for Immunohistochemistry paraffin from 21 suppliers

Superstar Kits

Forkhead Box O1 information

Aliases

Forkhead Box O1 is also known as Fkhr, Forkhead box protein O1, Forkhead box protein O1A, Forkhead in rhabdomyosarcoma, FOX0O1, FOXO1, FoxO1 FKHR, Foxo1a, FOXO1A 3 4

1 Applications, 19 Species currently selected

All  None                           
  WB External link   IHC-P External link   IHC-F External link   IF External link   ELISA External link   ICC External link   IP External link   FACS External link   AP External link   Pep-ELISA External link   ChIP External link   DB External link   PLA External link
Human  External link  641     422     316     228     224     162      30      23      16       6       5       3       1   
Mouse  External link  438     320     234     168     180     120      18      10       1       4       3   
Rat  External link  427     310     217     141     155     105      20      12       4       2   
Primate  External link   43      17       8      29       2      26      14       6       4   
Bovine  External link   37      21      13      15       3      14       1       1       1   
Guinea Pig  External link   26      23      14      16       4      15       2       1       1   
Canine  External link   22       8       2       3       5       3       1       1   
Porcine  External link    7       4       2      20      20   
Zebrafish  External link   12       5       1       9      11       1   
Chicken  External link    9       4       1       2       3       2       1       1   
Rabbit  External link    7       6       3       4       2       1       2   
Equine  External link    7       5       2       1       3       1       1   
Hamster  External link    7       1       2       1       5       3   
Bacteria  External link    6       4       3       3   
Xenopus  External link    1   
Yeast  External link    1   
Drosophila  External link    1       1   
Bat  External link    1   
Squirrel  External link    1   

View matching ELISA Kits

231 matching Forkhead Box O1 antibodies for Immunohistochemistry paraffin after applying filters

Click each Forkhead Box O1 antibody that interests you to view the full Forkhead Box O1 antibody datasheet.
View only Forkhead Box O1 Monoclonal Antibodies or Forkhead Box O1 Polyclonal Antibodies

Immunohistochemistry paraffin - Use Filter to switch application

Supplier data
Aviva Systems Biology
OAAF07382
Rabbit Poly, 100 ug
Hu, Mo, Rt
ELISA, IHC-F, IHC-P, WB
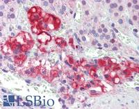
ELISA, Forkhead Box O1 antibody, OAAF07382, Aviva Systems Biology, Immunohistochemistry frozen image  IHC-F, Forkhead Box O1 antibody, OAAF07382, Aviva Systems Biology, Western Blot image  WB
Supplier data
FineTest
FNab03201
Rabbit Poly, 100 ug
Hu, Mo, Rt
ELISA, IHC-F, IHC-P, WB
ELISA, Forkhead Box O1 antibody, FNab03201, FineTest, Immunohistochemistry frozen image  IHC-F, Forkhead Box O1 antibody, FNab03201, FineTest, Western Blot image  WB
Supplier data
StressMarq
SPC-1377D-HRP
Rabbit Poly, 100 ul
Hu, Mo, Rt
ELISA, IHC-F, IHC-P, WB
ELISA, Forkhead Box O1 antibody, SPC-1377D-HRP, StressMarq, Immunohistochemistry frozen image  IHC-F, WB
Supplier data
StressMarq
SPC-1377D-A390
Rabbit Poly, 100 ul
Hu, Mo, Rt
ELISA, IHC-F, IHC-P, WB
ELISA, Forkhead Box O1 antibody, SPC-1377D-A390, StressMarq, Immunohistochemistry frozen image  IHC-F, WB
Supplier data
StressMarq
SPC-1377D-A594
Rabbit Poly, 100 ul
Hu, Mo, Rt
ELISA, IHC-F, IHC-P, WB
ELISA, Forkhead Box O1 antibody, SPC-1377D-A594, StressMarq, Immunohistochemistry frozen image  IHC-F, WB
Supplier data
StressMarq
SPC-1377D-APC
Rabbit Poly, 100 ul
Hu, Mo, Rt
ELISA, IHC-F, IHC-P, WB
ELISA, Forkhead Box O1 antibody, SPC-1377D-APC, StressMarq, Immunohistochemistry frozen image  IHC-F, WB
Supplier data
StressMarq
SPC-1377D-ALP
Rabbit Poly, 100 ul
Hu, Mo, Rt
ELISA, IHC-F, IHC-P, WB
ELISA, Forkhead Box O1 antibody, SPC-1377D-ALP, StressMarq, Immunohistochemistry frozen image  IHC-F, WB
Supplier data
Atlas Antibodies
HPA001252
Rabbit Poly, 100 ul
Hu, Mo
IHC-F, IHC-P
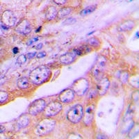
Forkhead Box O1 antibody, HPA001252, Atlas Antibodies, Immunohistochemistry frozen image  IHC-F
Supplier data
StressMarq
SPC-1377D-RPE
Rabbit Poly, 100 ul
Hu, Mo, Rt
ELISA, IHC-F, IHC-P, WB
ELISA, Forkhead Box O1 antibody, SPC-1377D-RPE, StressMarq, Immunohistochemistry frozen image  IHC-F, WB
Supplier data
StressMarq
SPC-1377D-FITC
Rabbit Poly, 100 ul
Hu, Mo, Rt
ELISA, IHC-F, IHC-P, WB
ELISA, Forkhead Box O1 antibody, SPC-1377D-FITC, StressMarq, Immunohistochemistry frozen image  IHC-F, WB
Supplier data
StressMarq
SPC-1377D-A488
Rabbit Poly, 100 ul
Hu, Mo, Rt
ELISA, IHC-F, IHC-P, WB
ELISA, Forkhead Box O1 antibody, SPC-1377D-A488, StressMarq, Immunohistochemistry frozen image  IHC-F, WB
Supplier data
StressMarq
SPC-1377D
Rabbit Poly, 100 ul
Hu, Mo, Rt
ELISA, IHC-F, IHC-P, WB
ELISA, Forkhead Box O1 antibody, SPC-1377D, StressMarq, Immunohistochemistry frozen image  IHC-F, WB
Supplier data
StressMarq
SPC-1377D-BI
Rabbit Poly, 100 ul
Hu, Mo, Rt
ELISA, IHC-F, IHC-P, WB
ELISA, Forkhead Box O1 antibody, SPC-1377D-BI, StressMarq, Immunohistochemistry frozen image  IHC-F, WB
Supplier data
StressMarq
SPC-1377D-PCP
Rabbit Poly, 100 ul
Hu, Mo, Rt
ELISA, IHC-F, IHC-P, WB
ELISA, Forkhead Box O1 antibody, SPC-1377D-PCP, StressMarq, Immunohistochemistry frozen image  IHC-F, WB
Supplier data
Proteintech Group
18592-1-AP
Rabbit Poly, 150 ul
Hu, Mo, Rt
ELISA, FACS, IHC-F, IHC-P, WB
ELISA, Forkhead Box O1 antibody, 18592-1-AP, Proteintech Group, Flow Cytometry image  FACS, Forkhead Box O1 antibody, 18592-1-AP, Proteintech Group, Immunohistochemistry frozen image  IHC-F, Forkhead Box O1 antibody, 18592-1-AP, Proteintech Group, Western Blot image  WB
Supplier data
Origene
TA317832
Mouse Poly, 50 ul
Hu
IHC-F, IHC-P
Forkhead Box O1 antibody, TA317832, Origene, Immunohistochemistry frozen image  IHC-F
Supplier data
Origene
TA326191
Rabbit Mono [OTI3H7], 100 ul
Hu, Mo
IHC-F, IHC-P
Forkhead Box O1 antibody, TA326191, Origene, Immunohistochemistry frozen image  IHC-F
Supplier data
Origene
AP06429PU-N
Rabbit Poly, 100 ug
Hu, Mo, Rt
IHC-F, IHC-P
Forkhead Box O1 antibody, AP06429PU-N, Origene, Immunohistochemistry frozen image  IHC-F
Supplier data
QED Bioscience
3338
Mouse Mono [7H3], 100 ug
Hu
IF, IHC-F, IHC-P, WB
Forkhead Box O1 antibody, 3338, QED Bioscience, Immunofluorescence image  IF, Forkhead Box O1 antibody, 3338, QED Bioscience, Immunohistochemistry frozen image  IHC-F, WB
Supplier data
Novus Biologicals
NB100-81927
Rabbit Poly, 50 ug
Hu, Mo, Rt
ICC, IF, IHC-F, IHC-P, IP, WB
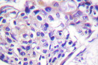
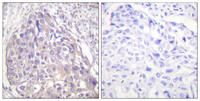
Forkhead Box O1 antibody, NB100-81927, Novus Biologicals, Immunocytochemistry image  ICC, Forkhead Box O1 antibody, NB100-81927, Novus Biologicals, Immunofluorescence image  IF, Forkhead Box O1 antibody, NB100-81927, Novus Biologicals, Immunohistochemistry frozen image  IHC-F, Forkhead Box O1 antibody, NB100-81927, Novus Biologicals, Immunoprecipitation image  IP, Forkhead Box O1 antibody, NB100-81927, Novus Biologicals, Western Blot image  WB
Supplier data
Novus Biologicals
NBP2-31376
Mouse Mono [83N7F8], 100 ug
Hu
FACS, ICC, IF, IHC-F, IHC-P, WB
Forkhead Box O1 antibody, NBP2-31376, Novus Biologicals, Flow Cytometry image  FACS, Forkhead Box O1 antibody, NBP2-31376, Novus Biologicals, Immunocytochemistry image  ICC, Forkhead Box O1 antibody, NBP2-31376, Novus Biologicals, Immunofluorescence image  IF, Forkhead Box O1 antibody, NBP2-31376, Novus Biologicals, Immunohistochemistry frozen image  IHC-F, Forkhead Box O1 antibody, NBP2-31376, Novus Biologicals, Western Blot image  WB
Supplier data
Novus Biologicals
NBP2-22190
Mouse Mono [3B6], 100 ul
Hu, Mo
ELISA, ICC, IF, IHC-F, IHC-P, WB
Forkhead Box O1 antibody, NBP2-22190, Novus Biologicals, Enzyme Linked Immunosorbent Assay image  ELISA, Forkhead Box O1 antibody, NBP2-22190, Novus Biologicals, Immunocytochemistry image  ICC, Forkhead Box O1 antibody, NBP2-22190, Novus Biologicals, Immunofluorescence image  IF, IHC-F, Forkhead Box O1 antibody, NBP2-22190, Novus Biologicals, Western Blot image  WB
Supplier data
Novus Biologicals
NBP1-84674
Rabbit Poly, 100 ul
Hu
ICC, IF, IHC-F, IHC-P, WB
Forkhead Box O1 antibody, NBP1-84674, Novus Biologicals, Immunocytochemistry image  ICC, Forkhead Box O1 antibody, NBP1-84674, Novus Biologicals, Immunofluorescence image  IF, Forkhead Box O1 antibody, NBP1-84674, Novus Biologicals, Immunohistochemistry frozen image  IHC-F, Forkhead Box O1 antibody, NBP1-84674, Novus Biologicals, Western Blot image  WB
Supplier data
Novus Biologicals
NB100-81924
Rabbit Poly, 100 ul
Hu, Mo, Rt
ICC, IF, IHC-F, IHC-P, WB
Forkhead Box O1 antibody, NB100-81924, Novus Biologicals, Immunocytochemistry image  ICC, Forkhead Box O1 antibody, NB100-81924, Novus Biologicals, Immunofluorescence image  IF, Forkhead Box O1 antibody, NB100-81924, Novus Biologicals, Immunohistochemistry frozen image  IHC-F, Forkhead Box O1 antibody, NB100-81924, Novus Biologicals, Western Blot image  WB
Supplier data
MyBioSource
MBS301252
Rabbit Poly, 100 ul
GP, Hu, Mo
IHC-F, IHC-P
Forkhead Box O1 antibody, MBS301252, MyBioSource, Immunohistochemistry frozen image  IHC-F
Supplier data
MyBioSource
MBS242785
Rabbit Poly, 50 ug
Hu, Mo, Rt
ELISA, IF, IHC-F, IHC-P, WB
ELISA, IF, Forkhead Box O1 antibody, MBS242785, MyBioSource, Immunohistochemistry frozen image  IHC-F, WB
Supplier data
Novus Biologicals
NB200-307
Mouse Mono [7H3], 100 ug
Hu
ICC, IF, IHC-F, IHC-P, WB
Forkhead Box O1 antibody, NB200-307, Novus Biologicals, Immunocytochemistry image  ICC, Forkhead Box O1 antibody, NB200-307, Novus Biologicals, Immunofluorescence image  IF, Forkhead Box O1 antibody, NB200-307, Novus Biologicals, Immunohistochemistry frozen image  IHC-F, WB
Supplier data
Novus Biologicals
NB100-2312
Rabbit Poly, 100 ug
Hu
IHC-F, IHC-P, IP, PLA, WB
Forkhead Box O1 antibody, NB100-2312, Novus Biologicals, Immunohistochemistry frozen image  IHC-F, IP, Forkhead Box O1 antibody, NB100-2312, Novus Biologicals, Proximity Ligation Assay image  PLA, Forkhead Box O1 antibody, NB100-2312, Novus Biologicals, Western Blot image  WB
Supplier data
Novus Biologicals
NBP2-67463
Rabbit Mono [SU33-01], 100 ul
Hu, Mo, Rt, Zf
ICC, IF, IHC-F, IHC-P, WB
Forkhead Box O1 antibody, NBP2-67463, Novus Biologicals, Immunocytochemistry image  ICC, Forkhead Box O1 antibody, NBP2-67463, Novus Biologicals, Immunofluorescence image  IF, IHC-F, Forkhead Box O1 antibody, NBP2-67463, Novus Biologicals, Western Blot image  WB
Supplier data
Novus Biologicals
NBP1-41196
Mouse Mono [4E7], 100 ug
Hu
IHC-F, IHC-P, WB
Forkhead Box O1 antibody, NBP1-41196, Novus Biologicals, Immunohistochemistry frozen image  IHC-F, WB
Supplier data
Lifespan Biosciences
LS-B7517
Rabbit Poly, 1 Vial
Hu, Mo, Rt
ELISA, IF, IHC-F, IHC-P, WB
ELISA, Forkhead Box O1 antibody, LS-B7517, Lifespan Biosciences, Immunofluorescence image  IF, Forkhead Box O1 antibody, LS-B7517, Lifespan Biosciences, Immunohistochemistry frozen image  IHC-F, Forkhead Box O1 antibody, LS-B7517, Lifespan Biosciences, Western Blot image  WB
Supplier data
Lifespan Biosciences
LS-C352214
Rabbit Poly, 1 Vial
Bv, GP, Hu, Mo, Pr, Rt
ICC, IF, IHC-F, IHC-P, WB
ICC, Forkhead Box O1 antibody, LS-C352214, Lifespan Biosciences, Immunofluorescence image  IF, Forkhead Box O1 antibody, LS-C352214, Lifespan Biosciences, Immunohistochemistry frozen image  IHC-F, Forkhead Box O1 antibody, LS-C352214, Lifespan Biosciences, Western Blot image  WB
Supplier data
Lifespan Biosciences
LS-C352211
Rabbit Poly, 1 Vial
Bv, GP, Hu, Pr
ICC, IF, IHC-F, IHC-P, WB
ICC, Forkhead Box O1 antibody, LS-C352211, Lifespan Biosciences, Immunofluorescence image  IF, Forkhead Box O1 antibody, LS-C352211, Lifespan Biosciences, Immunohistochemistry frozen image  IHC-F, Forkhead Box O1 antibody, LS-C352211, Lifespan Biosciences, Western Blot image  WB
Supplier data
Lifespan Biosciences
LS-C356047
Rabbit Poly, 1 Vial
Bv, GP, Hu, Mo, Rt
ICC, IF, IHC-F, IHC-P, WB
ICC, Forkhead Box O1 antibody, LS-C356047, Lifespan Biosciences, Immunofluorescence image  IF, Forkhead Box O1 antibody, LS-C356047, Lifespan Biosciences, Immunohistochemistry frozen image  IHC-F, Forkhead Box O1 antibody, LS-C356047, Lifespan Biosciences, Western Blot image  WB
Supplier data
Lifespan Biosciences
LS-C368599
Rabbit Poly, 1 Vial
Bv, GP, Hu, Mo, Rt
ICC, IF, IHC-F, IHC-P, WB
ICC, Forkhead Box O1 antibody, LS-C368599, Lifespan Biosciences, Immunofluorescence image  IF, Forkhead Box O1 antibody, LS-C368599, Lifespan Biosciences, Immunohistochemistry frozen image  IHC-F, Forkhead Box O1 antibody, LS-C368599, Lifespan Biosciences, Western Blot image  WB
Supplier data
Lifespan Biosciences
LS-C118120
Rabbit Poly, 100 ug
Hu, Mo
ELISA, IHC-F, IHC-P, WB
ELISA, Forkhead Box O1 antibody, LS-C118120, Lifespan Biosciences, Immunohistochemistry frozen image  IHC-F, Forkhead Box O1 antibody, LS-C118120, Lifespan Biosciences, Western Blot image  WB
Supplier data
Lifespan Biosciences
LS-C177977
Rabbit Poly, 100 ul
Hu, Mo, Rt
IHC-F, IHC-P, WB
Forkhead Box O1 antibody, LS-C177977, Lifespan Biosciences, Immunohistochemistry frozen image  IHC-F, Forkhead Box O1 antibody, LS-C177977, Lifespan Biosciences, Western Blot image  WB
Supplier data
Lifespan Biosciences
LS-C117358
Rabbit Poly, 1 Vial
Hu, Mo
ELISA, IHC-F, IHC-P, WB
ELISA, Forkhead Box O1 antibody, LS-C117358, Lifespan Biosciences, Immunohistochemistry frozen image  IHC-F, Forkhead Box O1 antibody, LS-C117358, Lifespan Biosciences, Western Blot image  WB
Supplier data
Lifespan Biosciences
LS-C176596
Rabbit Poly, 1 Vial
Hu, Mo, Rt
IF, IHC-F, IHC-P, WB
IF, Forkhead Box O1 antibody, LS-C176596, Lifespan Biosciences, Immunohistochemistry frozen image  IHC-F, Forkhead Box O1 antibody, LS-C176596, Lifespan Biosciences, Western Blot image  WB
Supplier data
Lifespan Biosciences
LS-C177629
Rabbit Poly, 1 Vial
Hu, Mo
IF, IHC-F, IHC-P, WB
IF, Forkhead Box O1 antibody, LS-C177629, Lifespan Biosciences, Immunohistochemistry frozen image  IHC-F, Forkhead Box O1 antibody, LS-C177629, Lifespan Biosciences, Western Blot image  WB
Supplier data
Lifespan Biosciences
LS-C177991
Rabbit Poly, 1 Vial
Hu, Mo
IF, IHC-F, IHC-P, WB
IF, Forkhead Box O1 antibody, LS-C177991, Lifespan Biosciences, Immunohistochemistry frozen image  IHC-F, Forkhead Box O1 antibody, LS-C177991, Lifespan Biosciences, Western Blot image  WB
Supplier data
Lifespan Biosciences
LS-C177992
Rabbit Poly, 1 Vial
Hu, Mo
IHC-F, IHC-P, WB
Forkhead Box O1 antibody, LS-C177992, Lifespan Biosciences, Immunohistochemistry frozen image  IHC-F, Forkhead Box O1 antibody, LS-C177992, Lifespan Biosciences, Western Blot image  WB
Supplier data
Lifespan Biosciences
LS-C178086
Rabbit Poly, 1 Vial
Hu, Mo, Rt
IHC-F, IHC-P, WB
Forkhead Box O1 antibody, LS-C178086, Lifespan Biosciences, Immunohistochemistry frozen image  IHC-F, Forkhead Box O1 antibody, LS-C178086, Lifespan Biosciences, Western Blot image  WB
Supplier data
Lifespan Biosciences
LS-C198962
Rabbit Poly, 1 Vial
Hu, Mo
ELISA, IHC-F, IHC-P, WB
ELISA, Forkhead Box O1 antibody, LS-C198962, Lifespan Biosciences, Immunohistochemistry frozen image  IHC-F, Forkhead Box O1 antibody, LS-C198962, Lifespan Biosciences, Western Blot image  WB
Supplier data
Lifespan Biosciences
LS-C198975
Rabbit Poly, 1 Vial
Hu, Mo, Rt
ELISA, IHC-F, IHC-P, WB
ELISA, Forkhead Box O1 antibody, LS-C198975, Lifespan Biosciences, Immunohistochemistry frozen image  IHC-F, Forkhead Box O1 antibody, LS-C198975, Lifespan Biosciences, Western Blot image  WB
Supplier data
Lifespan Biosciences
LS-C198976
Rabbit Poly, 1 Vial
Hu, Mo, Rt
ELISA, IHC-F, IHC-P, WB
ELISA, Forkhead Box O1 antibody, LS-C198976, Lifespan Biosciences, Immunohistochemistry frozen image  IHC-F, Forkhead Box O1 antibody, LS-C198976, Lifespan Biosciences, Western Blot image  WB
Supplier data
Lifespan Biosciences
LS-B4151
Goat Poly, 50 ug
Bv, Cn, Hu, Mo, Po, Rt
IHC-F, IHC-P
Forkhead Box O1 antibody, LS-B4151, Lifespan Biosciences, Immunohistochemistry frozen image  IHC-F
Supplier data
Lifespan Biosciences
LS-C117650
Rabbit Poly, 1 Vial
Hu, Mo, Rt
ELISA, IHC-F, IHC-P
ELISA, Forkhead Box O1 antibody, LS-C117650, Lifespan Biosciences, Immunohistochemistry frozen image  IHC-F
Supplier data
Lifespan Biosciences
LS-C176318
Rabbit Poly, 1 Vial
Hu, Mo
IHC-F, IHC-P
Forkhead Box O1 antibody, LS-C176318, Lifespan Biosciences, Immunohistochemistry frozen image  IHC-F
Supplier data
Lifespan Biosciences
LS-C799725
Mouse Mono [LS-C799725], 1 Vial
Hu
IHC-P, WB
Forkhead Box O1 antibody, LS-C799725, Lifespan Biosciences, Western Blot image  WB
Supplier data
Lifespan Biosciences
LS-B1322
Mouse Mono [7h3], 1 Vial
Hu
IHC-F, IHC-P, WB
Forkhead Box O1 antibody, LS-B1322, Lifespan Biosciences, Immunohistochemistry frozen image  IHC-F, WB
Supplier data
Lifespan Biosciences
LS-B5283
Rabbit Poly, 1 Vial
Hu, Mo, Rt
ELISA, ICC, IF, IHC-P, WB
ELISA, ICC, IF, Forkhead Box O1 antibody, LS-B5283, Lifespan Biosciences, Western Blot image  WB

Related antibodies

Forkhead Box O1 antibodies are often published withAssociated citations
Akt13.7%
Forkhead Box O43.9%
Erk13.2%
Forkhead Box O32.6%
BCL22.6%
Mechanistic Target Of Rapamycin Kinase2.4%
Sirtuin 12.4%
BAX2.4%
Histone H32.4%
CD282.4%