2 million antibody products . Find yours today
View products

6 matching Phosphopantothenoylcysteine Synthetase antibodies for Immunofluorescence from 8 suppliers

Superstar Kits

Phosphopantothenoylcysteine Synthetase information

Aliases

Phosphopantothenoylcysteine Synthetase is also known as COAB, PPC synthetase, PPCS

View matching ELISA Kits

6 matching Phosphopantothenoylcysteine Synthetase antibodies for Immunofluorescence after applying filters

Click each Phosphopantothenoylcysteine Synthetase antibody that interests you to view the full Phosphopantothenoylcysteine Synthetase antibody datasheet.
View only Phosphopantothenoylcysteine Synthetase Monoclonal Antibodies or Phosphopantothenoylcysteine Synthetase Polyclonal Antibodies

Immunofluorescence - Use Filter to switch application

Supplier data
Novus Biologicals
NBP1-87398
Rabbit Poly, 100 ul
Hu
ICC, IF, IHC-F, IHC-P, WB
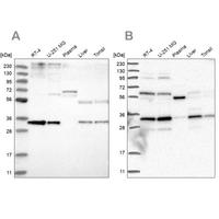
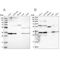
Phosphopantothenoylcysteine Synthetase antibody, NBP1-87398, Novus Biologicals, Immunocytochemistry image  ICC, Phosphopantothenoylcysteine Synthetase antibody, NBP1-87398, Novus Biologicals, Immunohistochemistry frozen image  IHC-F, Phosphopantothenoylcysteine Synthetase antibody, NBP1-87398, Novus Biologicals, Immunohistochemistry paraffin image  IHC-P, Phosphopantothenoylcysteine Synthetase antibody, NBP1-87398, Novus Biologicals, Western Blot image  WB
Supplier data
Boster Biological Technology
A05567-1
Rabbit Poly, 100 ug
Hu, Mo, Rt
FACS, ICC, IF, IHC-F, IHC-P, WB
Phosphopantothenoylcysteine Synthetase antibody, A05567-1, Boster Biological Technology, Flow Cytometry image  FACS, ICC, Phosphopantothenoylcysteine Synthetase antibody, A05567-1, Boster Biological Technology, Immunohistochemistry frozen image  IHC-F, Phosphopantothenoylcysteine Synthetase antibody, A05567-1, Boster Biological Technology, Immunohistochemistry paraffin image  IHC-P, Phosphopantothenoylcysteine Synthetase antibody, A05567-1, Boster Biological Technology, Western Blot image  WB
Supplier data
Invitrogen Antibodies
PA5-56714
Rabbit Poly, 100 ul
Hu
ICC, IF, IHC-F, IHC-P, WB
ICC, Phosphopantothenoylcysteine Synthetase antibody, PA5-56714, Invitrogen Antibodies, Immunohistochemistry frozen image  IHC-F, Phosphopantothenoylcysteine Synthetase antibody, PA5-56714, Invitrogen Antibodies, Immunohistochemistry paraffin image  IHC-P, Phosphopantothenoylcysteine Synthetase antibody, PA5-56714, Invitrogen Antibodies, Western Blot image  WB
Supplier data
Atlas Antibodies
HPA031361
Rabbit Poly, 100 ul
Hu
ICC, IF, IHC-F, IHC-P, WB
Phosphopantothenoylcysteine Synthetase antibody, HPA031361, Atlas Antibodies, Immunocytochemistry image  ICC, Phosphopantothenoylcysteine Synthetase antibody, HPA031361, Atlas Antibodies, Immunohistochemistry frozen image  IHC-F, Phosphopantothenoylcysteine Synthetase antibody, HPA031361, Atlas Antibodies, Immunohistochemistry paraffin image  IHC-P, Phosphopantothenoylcysteine Synthetase antibody, HPA031361, Atlas Antibodies, Western Blot image  WB

Western Blot

Supplier data
Novus Biologicals
NBP1-87398
Rabbit Poly, 100 ul
Hu
ICC, IF, IHC-F, IHC-P, WB
Phosphopantothenoylcysteine Synthetase antibody, NBP1-87398, Novus Biologicals, Immunocytochemistry image  ICC, Phosphopantothenoylcysteine Synthetase antibody, NBP1-87398, Novus Biologicals, Immunofluorescence image  IF, Phosphopantothenoylcysteine Synthetase antibody, NBP1-87398, Novus Biologicals, Immunohistochemistry frozen image  IHC-F, Phosphopantothenoylcysteine Synthetase antibody, NBP1-87398, Novus Biologicals, Immunohistochemistry paraffin image  IHC-P
Supplier data
Boster Biological Technology
A05567-1
Rabbit Poly, 100 ug
Hu, Mo, Rt
FACS, ICC, IF, IHC-F, IHC-P, WB
Phosphopantothenoylcysteine Synthetase antibody, A05567-1, Boster Biological Technology, Flow Cytometry image  FACS, ICC, Phosphopantothenoylcysteine Synthetase antibody, A05567-1, Boster Biological Technology, Immunofluorescence image  IF, Phosphopantothenoylcysteine Synthetase antibody, A05567-1, Boster Biological Technology, Immunohistochemistry frozen image  IHC-F, Phosphopantothenoylcysteine Synthetase antibody, A05567-1, Boster Biological Technology, Immunohistochemistry paraffin image  IHC-P
Supplier data
Boster Biological Technology
M05567-1
Rabbit Mono [29P15], 100 ul
Hu
ICC, IF, IHC-F, IHC-P, WB
ICC, IF, IHC-F, IHC-P
Supplier data
Invitrogen Antibodies
PA5-56714
Rabbit Poly, 100 ul
Hu
ICC, IF, IHC-F, IHC-P, WB
ICC, Phosphopantothenoylcysteine Synthetase antibody, PA5-56714, Invitrogen Antibodies, Immunofluorescence image  IF, Phosphopantothenoylcysteine Synthetase antibody, PA5-56714, Invitrogen Antibodies, Immunohistochemistry frozen image  IHC-F, Phosphopantothenoylcysteine Synthetase antibody, PA5-56714, Invitrogen Antibodies, Immunohistochemistry paraffin image  IHC-P
Supplier data
Atlas Antibodies
HPA031361
Rabbit Poly, 100 ul
Hu
ICC, IF, IHC-F, IHC-P, WB
Phosphopantothenoylcysteine Synthetase antibody, HPA031361, Atlas Antibodies, Immunocytochemistry image  ICC, Phosphopantothenoylcysteine Synthetase antibody, HPA031361, Atlas Antibodies, Immunofluorescence image  IF, Phosphopantothenoylcysteine Synthetase antibody, HPA031361, Atlas Antibodies, Immunohistochemistry frozen image  IHC-F, Phosphopantothenoylcysteine Synthetase antibody, HPA031361, Atlas Antibodies, Immunohistochemistry paraffin image  IHC-P

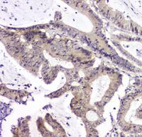
Immunohistochemistry frozen

Supplier data
Novus Biologicals
NBP1-87398
Rabbit Poly, 100 ul
Hu
ICC, IF, IHC-F, IHC-P, WB
Phosphopantothenoylcysteine Synthetase antibody, NBP1-87398, Novus Biologicals, Immunocytochemistry image  ICC, Phosphopantothenoylcysteine Synthetase antibody, NBP1-87398, Novus Biologicals, Immunofluorescence image  IF, Phosphopantothenoylcysteine Synthetase antibody, NBP1-87398, Novus Biologicals, Immunohistochemistry paraffin image  IHC-P, Phosphopantothenoylcysteine Synthetase antibody, NBP1-87398, Novus Biologicals, Western Blot image  WB
Supplier data
Boster Biological Technology
A05567-1
Rabbit Poly, 100 ug
Hu, Mo, Rt
FACS, ICC, IF, IHC-F, IHC-P, WB
Phosphopantothenoylcysteine Synthetase antibody, A05567-1, Boster Biological Technology, Flow Cytometry image  FACS, ICC, Phosphopantothenoylcysteine Synthetase antibody, A05567-1, Boster Biological Technology, Immunofluorescence image  IF, Phosphopantothenoylcysteine Synthetase antibody, A05567-1, Boster Biological Technology, Immunohistochemistry paraffin image  IHC-P, Phosphopantothenoylcysteine Synthetase antibody, A05567-1, Boster Biological Technology, Western Blot image  WB