2 million antibody products . Find yours today
View products

15 matching Integrator Complex Subunit 10 antibodies for Immunofluorescence from 8 suppliers

Superstar Kits

Integrator Complex Subunit 10 information

Aliases

Integrator Complex Subunit 10 is also known as C8orf35, Int10, INTS10

View matching ELISA Kits

15 matching Integrator Complex Subunit 10 antibodies for Immunofluorescence after applying filters

Click each Integrator Complex Subunit 10 antibody that interests you to view the full Integrator Complex Subunit 10 antibody datasheet.
View only Integrator Complex Subunit 10 Monoclonal Antibodies or Integrator Complex Subunit 10 Polyclonal Antibodies

Immunofluorescence - Use Filter to switch application

Supplier data
Novus Biologicals
NBP1-91234
Rabbit Poly, 100 ul
Hu
ICC, IF, IHC-F, IHC-P
Integrator Complex Subunit 10 antibody, NBP1-91234, Novus Biologicals, Immunocytochemistry image  ICC, Integrator Complex Subunit 10 antibody, NBP1-91234, Novus Biologicals, Immunohistochemistry frozen image  IHC-F, Integrator Complex Subunit 10 antibody, NBP1-91234, Novus Biologicals, Immunohistochemistry paraffin image  IHC-P
Supplier data
St John's Laboratory
STJ28715
Rabbit Poly, 100 ul
Hu, Mo, Rt
IF, IHC-F, IHC-P, WB
IHC-F, IHC-P, Integrator Complex Subunit 10 antibody, STJ28715, St John WB
Supplier data
ABclonal Technology
A6632
Rabbit Poly, 200 ul
Bac, Hu, Mo, Rb
IF, IHC-F, IHC-P, WB
IHC-F, IHC-P, Integrator Complex Subunit 10 antibody, A6632, ABclonal Technology, Western Blot image  WB
Supplier data
Invitrogen Antibodies
PA5-76969
Rabbit Poly, 100 ul
Hu, Mo, Rt
ICC, IF, IHC-F, WB
ICC, IHC-F, Integrator Complex Subunit 10 antibody, PA5-76969, Invitrogen Antibodies, Western Blot image  WB
Supplier data
Lifespan Biosciences
LS-C673900
Rabbit Poly, 1 Vial
Hu
IF, IHC-P
Integrator Complex Subunit 10 antibody, LS-C673900, Lifespan Biosciences, Immunohistochemistry paraffin image  IHC-P
Supplier data
Lifespan Biosciences
LS-C675907
Rabbit Poly, 1 Vial
Hu
ELISA, IF, IHC-F, IHC-P
ELISA, IHC-F, Integrator Complex Subunit 10 antibody, LS-C675907, Lifespan Biosciences, Immunohistochemistry paraffin image  IHC-P
Supplier data
Lifespan Biosciences
LS-C748468
Rabbit Poly, 1 Vial
Hu, Mo
IF, WB
Integrator Complex Subunit 10 antibody, LS-C748468, Lifespan Biosciences, Western Blot image  WB
Supplier data
Lifespan Biosciences
LS-C334843
Rabbit Poly, 1 Vial
Hu, Mo, Rt
IF, IHC-F, WB
IHC-F, Integrator Complex Subunit 10 antibody, LS-C334843, Lifespan Biosciences, Western Blot image  WB
Supplier data
Biorbyt
orb341132
Rabbit Poly, 50 ul
Hu, Mo, Rt
ICC, IF, WB
Integrator Complex Subunit 10 antibody, orb341132, Biorbyt, Immunocytochemistry image  ICC, Integrator Complex Subunit 10 antibody, orb341132, Biorbyt, Western Blot image  WB

Western Blot

Supplier data
St John's Laboratory
STJ28715
Rabbit Poly, 100 ul
Hu, Mo, Rt
IF, IHC-F, IHC-P, WB
Integrator Complex Subunit 10 antibody, STJ28715, St John IF, IHC-F, IHC-P
Supplier data
ABclonal Technology
A6632
Rabbit Poly, 200 ul
Bac, Hu, Mo, Rb
IF, IHC-F, IHC-P, WB
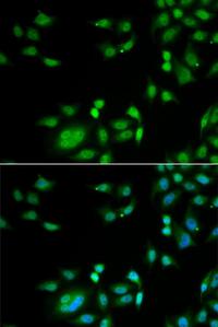
Integrator Complex Subunit 10 antibody, A6632, ABclonal Technology, Immunofluorescence image  IF, IHC-F, IHC-P
Supplier data
ABclonal Technology
A13419
Rabbit Poly, 100 ul
Hu, Mo
IF, WB
IF
Supplier data
Invitrogen Antibodies
PA5-76969
Rabbit Poly, 100 ul
Hu, Mo, Rt
ICC, IF, IHC-F, WB
ICC, Integrator Complex Subunit 10 antibody, PA5-76969, Invitrogen Antibodies, Immunofluorescence image  IF, IHC-F
Supplier data
Lifespan Biosciences
LS-C748468
Rabbit Poly, 1 Vial
Hu, Mo
IF, WB
Integrator Complex Subunit 10 antibody, LS-C748468, Lifespan Biosciences, Immunofluorescence image  IF
Supplier data
Lifespan Biosciences
LS-C334843
Rabbit Poly, 1 Vial
Hu, Mo, Rt
IF, IHC-F, WB
Integrator Complex Subunit 10 antibody, LS-C334843, Lifespan Biosciences, Immunofluorescence image  IF, IHC-F