2 million antibody products . Find yours today
View products

8 matching L3MBTL Histone Methyl-Lysine Binding Protein 2 antibodies for Immunoprecipitation from 8 suppliers

Superstar Kits

L3MBTL Histone Methyl-Lysine Binding Protein 2 information

Aliases

L3MBTL Histone Methyl-Lysine Binding Protein 2 is also known as H-l(3)mbt-like protein 2, L(3)mbt-like protein 2, L3MBTL2, LMBL2

View matching ELISA Kits

8 matching L3MBTL Histone Methyl-Lysine Binding Protein 2 antibodies for Immunoprecipitation after applying filters

Click each L3MBTL Histone Methyl-Lysine Binding Protein 2 antibody that interests you to view the full L3MBTL Histone Methyl-Lysine Binding Protein 2 antibody datasheet.
View only L3MBTL Histone Methyl-Lysine Binding Protein 2 Monoclonal Antibodies or L3MBTL Histone Methyl-Lysine Binding Protein 2 Polyclonal Antibodies

Immunoprecipitation - Use Filter to switch application

Supplier data
Bethyl Labs
A302-868A
Rabbit Poly, 100 ug
Hu
IHC-F, IHC-P, IP
L3MBTL Histone Methyl-Lysine Binding Protein 2 antibody, A302-868A, Bethyl Labs, Immunohistochemistry frozen image  IHC-F, L3MBTL Histone Methyl-Lysine Binding Protein 2 antibody, A302-868A, Bethyl Labs, Immunohistochemistry paraffin image  IHC-P
Supplier data
Bethyl Labs
A302-867A
Rabbit Poly, 20 ug
Hu
IP, WB
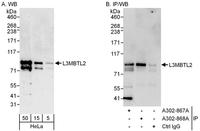
L3MBTL Histone Methyl-Lysine Binding Protein 2 antibody, A302-867A, Bethyl Labs, Western Blot image  WB
Supplier data
Novus Biologicals
NBP1-49965
Rabbit Poly, 100 ug
Hu
IHC-F, IHC-P, IP, WB
L3MBTL Histone Methyl-Lysine Binding Protein 2 antibody, NBP1-49965, Novus Biologicals, Immunohistochemistry frozen image  IHC-F, L3MBTL Histone Methyl-Lysine Binding Protein 2 antibody, NBP1-49965, Novus Biologicals, Immunohistochemistry paraffin image  IHC-P, L3MBTL Histone Methyl-Lysine Binding Protein 2 antibody, NBP1-49965, Novus Biologicals, Western Blot image  WB
Supplier data
Novus Biologicals
NBP1-32621
Rabbit Poly, 100 ug
Hu
ChIP, IP, WB
L3MBTL Histone Methyl-Lysine Binding Protein 2 antibody, NBP1-32621, Novus Biologicals, Chromatin Immunoprecipitation image  ChIP, L3MBTL Histone Methyl-Lysine Binding Protein 2 antibody, NBP1-32621, Novus Biologicals, Western Blot image  WB
Supplier data
Invitrogen Antibodies
PA5-28549
Rabbit Poly, 100 ul
Hu
ChIP, IP, WB
L3MBTL Histone Methyl-Lysine Binding Protein 2 antibody, PA5-28549, Invitrogen Antibodies, Chromatin Immunoprecipitation image  ChIP, WB
Supplier data
GeneTex
GTX107234
Rabbit Poly, 100 ul
Hu, Mo
ChIP, IP, WB
L3MBTL Histone Methyl-Lysine Binding Protein 2 antibody, GTX107234, GeneTex, Chromatin Immunoprecipitation image  ChIP, L3MBTL Histone Methyl-Lysine Binding Protein 2 antibody, GTX107234, GeneTex, Western Blot image  WB

Western Blot

Supplier data
Bethyl Labs
A302-867A
Rabbit Poly, 20 ug
Hu
IP, WB
L3MBTL Histone Methyl-Lysine Binding Protein 2 antibody, A302-867A, Bethyl Labs, Immunoprecipitation image  IP
Supplier data
Novus Biologicals
NBP1-49965
Rabbit Poly, 100 ug
Hu
IHC-F, IHC-P, IP, WB
L3MBTL Histone Methyl-Lysine Binding Protein 2 antibody, NBP1-49965, Novus Biologicals, Immunohistochemistry frozen image  IHC-F, L3MBTL Histone Methyl-Lysine Binding Protein 2 antibody, NBP1-49965, Novus Biologicals, Immunohistochemistry paraffin image  IHC-P, L3MBTL Histone Methyl-Lysine Binding Protein 2 antibody, NBP1-49965, Novus Biologicals, Immunoprecipitation image  IP
Supplier data
Novus Biologicals
NBP1-32621
Rabbit Poly, 100 ug
Hu
ChIP, IP, WB
L3MBTL Histone Methyl-Lysine Binding Protein 2 antibody, NBP1-32621, Novus Biologicals, Chromatin Immunoprecipitation image  ChIP, L3MBTL Histone Methyl-Lysine Binding Protein 2 antibody, NBP1-32621, Novus Biologicals, Immunoprecipitation image  IP
Supplier data
Novus Biologicals
NBP1-49964
Rabbit Poly, 100 ul
Hu
IP, WB
IP
Supplier data
GeneTex
GTX107234
Rabbit Poly, 100 ul
Hu, Mo
ChIP, IP, WB
L3MBTL Histone Methyl-Lysine Binding Protein 2 antibody, GTX107234, GeneTex, Chromatin Immunoprecipitation image  ChIP, L3MBTL Histone Methyl-Lysine Binding Protein 2 antibody, GTX107234, GeneTex, Immunoprecipitation image  IP

Immunohistochemistry paraffin

Supplier data
Bethyl Labs
A302-868A
Rabbit Poly, 100 ug
Hu
IHC-F, IHC-P, IP
L3MBTL Histone Methyl-Lysine Binding Protein 2 antibody, A302-868A, Bethyl Labs, Immunohistochemistry frozen image  IHC-F, L3MBTL Histone Methyl-Lysine Binding Protein 2 antibody, A302-868A, Bethyl Labs, Immunoprecipitation image  IP
Supplier data
Novus Biologicals
NBP1-49965
Rabbit Poly, 100 ug
Hu
IHC-F, IHC-P, IP, WB
L3MBTL Histone Methyl-Lysine Binding Protein 2 antibody, NBP1-49965, Novus Biologicals, Immunohistochemistry frozen image  IHC-F, L3MBTL Histone Methyl-Lysine Binding Protein 2 antibody, NBP1-49965, Novus Biologicals, Immunoprecipitation image  IP, L3MBTL Histone Methyl-Lysine Binding Protein 2 antibody, NBP1-49965, Novus Biologicals, Western Blot image  WB

Immunohistochemistry frozen

Supplier data
Bethyl Labs
A302-868A
Rabbit Poly, 100 ug
Hu
IHC-F, IHC-P, IP
L3MBTL Histone Methyl-Lysine Binding Protein 2 antibody, A302-868A, Bethyl Labs, Immunohistochemistry paraffin image  IHC-P, L3MBTL Histone Methyl-Lysine Binding Protein 2 antibody, A302-868A, Bethyl Labs, Immunoprecipitation image  IP