2 million antibody products . Find yours today
View products

26 matching Motilin Receptor antibodies for Immunohistochemistry paraffin from 5 suppliers

Superstar Kits

Motilin Receptor information

Aliases

Motilin Receptor is also known as G-protein coupled receptor 38, GPR38, MLNR, MLNR/GPR38/Motilin Receptor, MTLR, MTLR1

1 Applications, 5 Species currently selected

All  None               
  WB External link   IHC-P External link   IHC-F External link   ELISA External link   IF External link   AP External link   ICC External link
Human  External link   60      39      35      34       9       6       6   
Mouse  External link    9       3       2       1   
Rat  External link    5       3       2       1   
Chicken  External link    1       1   
Primate  External link    1       1   

View matching ELISA Kits

26 matching Motilin Receptor antibodies for Immunohistochemistry paraffin after applying filters

Click each Motilin Receptor antibody that interests you to view the full Motilin Receptor antibody datasheet.
View only Motilin Receptor Monoclonal Antibodies or Motilin Receptor Polyclonal Antibodies

Immunohistochemistry paraffin - Use Filter to switch application

Supplier data
MyBioSource
MBS2522198
Rabbit Poly, 120 ul
Hu, Mo, Rt
ELISA, IHC-F, IHC-P
ELISA, Motilin Receptor antibody, MBS2522198, MyBioSource, Immunohistochemistry frozen image  IHC-F
Supplier data
Lifespan Biosciences
LS-C164220
Rabbit Poly, 1 Vial
Hu
IHC-F, IHC-P, WB
Motilin Receptor antibody, LS-C164220, Lifespan Biosciences, Immunohistochemistry frozen image  IHC-F, Motilin Receptor antibody, LS-C164220, Lifespan Biosciences, Western Blot image  WB
Supplier data
Lifespan Biosciences
LS-A135
Rabbit Poly, 50 ug
Hu
IHC-F, IHC-P
Motilin Receptor antibody, LS-A135, Lifespan Biosciences, Immunohistochemistry frozen image  IHC-F
Supplier data
Invitrogen Antibodies
PA5-71740
Rabbit Poly, 400 ul
Hu
IHC-F, IHC-P, WB
Motilin Receptor antibody, PA5-71740, Invitrogen Antibodies, Immunohistochemistry frozen image  IHC-F, Motilin Receptor antibody, PA5-71740, Invitrogen Antibodies, Western Blot image  WB
Supplier data
Invitrogen Antibodies
PA5-33937
Rabbit Poly, 50 ug
Hu
IHC-F, IHC-P
Motilin Receptor antibody, PA5-33937, Invitrogen Antibodies, Immunohistochemistry frozen image  IHC-F
Supplier data
Invitrogen Antibodies
PA5-33938
Rabbit Poly, 50 ug
Hu
IHC-F, IHC-P
Motilin Receptor antibody, PA5-33938, Invitrogen Antibodies, Immunohistochemistry frozen image  IHC-F
Supplier data
Invitrogen Antibodies
PA5-33939
Rabbit Poly, 50 ug
Hu
IHC-F, IHC-P
Motilin Receptor antibody, PA5-33939, Invitrogen Antibodies, Immunohistochemistry frozen image  IHC-F
Supplier data
Origene
TA350716
Rabbit Poly, 100 ul
Ch
IHC-F, IHC-P
Motilin Receptor antibody, TA350716, Origene, Immunohistochemistry frozen image  IHC-F
Supplier data
Origene
TA340813
Rabbit Poly, 50 ug
Hu
IHC-F, IHC-P
Motilin Receptor antibody, TA340813, Origene, Immunohistochemistry frozen image  IHC-F
Supplier data
ProSci
56-579
Rabbit Poly, 400 ul
Hu
IHC-F, IHC-P, WB
Motilin Receptor antibody, 56-579, ProSci, Immunohistochemistry frozen image  IHC-F, Motilin Receptor antibody, 56-579, ProSci, Western Blot image  WB
Supplier data
Abbexa
abx026954
Rabbit Poly, 400 ul
Hu
IHC-F, IHC-P, WB
Motilin Receptor antibody, abx026954, Abbexa, Immunohistochemistry frozen image  IHC-F, Motilin Receptor antibody, abx026954, Abbexa, Western Blot image  WB
Supplier data
Biorbyt
orb85429
Rabbit Poly, 50 ug
Hu
IHC-P

Western Blot

Supplier data
Lifespan Biosciences
LS-C164220
Rabbit Poly, 1 Vial
Hu
IHC-F, IHC-P, WB
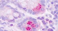
Motilin Receptor antibody, LS-C164220, Lifespan Biosciences, Immunohistochemistry frozen image  IHC-F, Motilin Receptor antibody, LS-C164220, Lifespan Biosciences, Immunohistochemistry paraffin image  IHC-P
Supplier data
Invitrogen Antibodies
PA5-71740
Rabbit Poly, 400 ul
Hu
IHC-F, IHC-P, WB
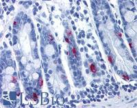
Motilin Receptor antibody, PA5-71740, Invitrogen Antibodies, Immunohistochemistry frozen image  IHC-F, Motilin Receptor antibody, PA5-71740, Invitrogen Antibodies, Immunohistochemistry paraffin image  IHC-P
Supplier data
Boster Biological Technology
A10124-1
Rabbit Poly, 100 ul
Hu, Mo, Rt
IHC-F, IHC-P, WB
IHC-F, IHC-P

Related antibodies

Motilin Receptor antibodies are often published withAssociated citations
Glutamate Decarboxylase 125.0%