2 million antibody products . Find yours today
View products

38 matching PAX Interacting Protein 1 antibodies for Enzyme Linked Immunosorbent Assay from 13 suppliers

Superstar Kits

PAX Interacting Protein 1 information

Aliases

PAX Interacting Protein 1 is also known as PAX-interacting protein 1, PAXI1, PAXIP1, PAXIP1L, Ptip

1 Applications, 9 Species currently selected


View matching ELISA Kits

38 matching PAX Interacting Protein 1 antibodies for Enzyme Linked Immunosorbent Assay after applying filters

Click each PAX Interacting Protein 1 antibody that interests you to view the full PAX Interacting Protein 1 antibody datasheet.
View only PAX Interacting Protein 1 Monoclonal Antibodies or PAX Interacting Protein 1 Polyclonal Antibodies

Enzyme Linked Immunosorbent Assay - Use Filter to switch application

Supplier data
Novus Biologicals
H00022976-M02
Mouse Mono [4C11], 100 ug
Hu
ELISA, ICC, IF, WB
PAX Interacting Protein 1 antibody, H00022976-M02, Novus Biologicals, Immunocytochemistry image  ICC, PAX Interacting Protein 1 antibody, H00022976-M02, Novus Biologicals, Immunofluorescence image  IF, WB
Supplier data
ProSci
30-737
Rabbit Poly, 50 ug
Hu
ELISA, WB
PAX Interacting Protein 1 antibody, 30-737, ProSci, Western Blot image  WB

Western Blot

Supplier data
Novus Biologicals
H00022976-B01P
Mouse Poly, 50 ug
Hu
ELISA, ICC, IF, WB
ELISA, PAX Interacting Protein 1 antibody, H00022976-B01P, Novus Biologicals, Immunocytochemistry image  ICC, PAX Interacting Protein 1 antibody, H00022976-B01P, Novus Biologicals, Immunofluorescence image  IF
Supplier data
Proteintech Group
15034-1-AP
Rabbit Poly, 150 ul
Hu, Mo, Rt
ELISA, IF, IP, WB
ELISA, PAX Interacting Protein 1 antibody, 15034-1-AP, Proteintech Group, Immunofluorescence image  IF, PAX Interacting Protein 1 antibody, 15034-1-AP, Proteintech Group, Immunoprecipitation image  IP
Supplier data
ProSci
30-737
Rabbit Poly, 50 ug
Hu
ELISA, WB
PAX Interacting Protein 1 antibody, 30-737, ProSci, Enzyme Linked Immunosorbent Assay image  ELISA

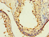
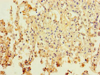
Immunohistochemistry paraffin

Supplier data
Lifespan Biosciences
LS-C398831
Rabbit Poly, 1 Vial
Hu
ELISA, IHC-P
ELISA
Supplier data
Biorbyt
orb33321
Rabbit Poly, 50 ug
Hu
ELISA, IHC-P
ELISA

Immunofluorescence

Supplier data
Novus Biologicals
H00022976-M02
Mouse Mono [4C11], 100 ug
Hu
ELISA, ICC, IF, WB
PAX Interacting Protein 1 antibody, H00022976-M02, Novus Biologicals, Enzyme Linked Immunosorbent Assay image  ELISA, PAX Interacting Protein 1 antibody, H00022976-M02, Novus Biologicals, Immunocytochemistry image  ICC, WB
Supplier data
Novus Biologicals
H00022976-B01P
Mouse Poly, 50 ug
Hu
ELISA, ICC, IF, WB
ELISA, PAX Interacting Protein 1 antibody, H00022976-B01P, Novus Biologicals, Immunocytochemistry image  ICC, PAX Interacting Protein 1 antibody, H00022976-B01P, Novus Biologicals, Western Blot image  WB
Supplier data
Proteintech Group
15034-1-AP
Rabbit Poly, 150 ul
Hu, Mo, Rt
ELISA, IF, IP, WB
ELISA, PAX Interacting Protein 1 antibody, 15034-1-AP, Proteintech Group, Immunoprecipitation image  IP, PAX Interacting Protein 1 antibody, 15034-1-AP, Proteintech Group, Western Blot image  WB

Immunocytochemistry

Supplier data
Novus Biologicals
H00022976-M02
Mouse Mono [4C11], 100 ug
Hu
ELISA, ICC, IF, WB
PAX Interacting Protein 1 antibody, H00022976-M02, Novus Biologicals, Enzyme Linked Immunosorbent Assay image  ELISA, PAX Interacting Protein 1 antibody, H00022976-M02, Novus Biologicals, Immunofluorescence image  IF, WB
Supplier data
Novus Biologicals
H00022976-B01P
Mouse Poly, 50 ug
Hu
ELISA, ICC, IF, WB
ELISA, PAX Interacting Protein 1 antibody, H00022976-B01P, Novus Biologicals, Immunofluorescence image  IF, PAX Interacting Protein 1 antibody, H00022976-B01P, Novus Biologicals, Western Blot image  WB

Related antibodies