2 million antibody products . Find yours today
View products

18 matching Integrator Complex Subunit 13 antibodies for Western Blot from 8 suppliers

Superstar Kits

Integrator Complex Subunit 13 information

Aliases

Integrator Complex Subunit 13 is also known as ASUN, C12orf11, INT13, INTS13, Sarcoma antigen NY-SAR-95

1 Applications, 9 Species currently selected


View matching ELISA Kits

18 matching Integrator Complex Subunit 13 antibodies for Western Blot after applying filters

Click each Integrator Complex Subunit 13 antibody that interests you to view the full Integrator Complex Subunit 13 antibody datasheet.
View only Integrator Complex Subunit 13 Monoclonal Antibodies or Integrator Complex Subunit 13 Polyclonal Antibodies

Western Blot - Use Filter to switch application

Supplier data
FineTest
FNab01012
Rabbit Poly, 100 ug
Hu, Mo, Rt
ELISA, IHC-F, IHC-P, IP, WB
ELISA, Integrator Complex Subunit 13 antibody, FNab01012, FineTest, Immunohistochemistry frozen image  IHC-F, Integrator Complex Subunit 13 antibody, FNab01012, FineTest, Immunohistochemistry paraffin image  IHC-P, Integrator Complex Subunit 13 antibody, FNab01012, FineTest, Immunoprecipitation image  IP
Supplier data
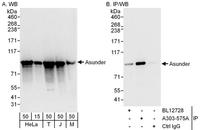
Bethyl Labs
A303-575A
Rabbit Poly, 20 ug
Hu, Mo
IP, WB
Integrator Complex Subunit 13 antibody, A303-575A, Bethyl Labs, Immunoprecipitation image  IP
Supplier data
Novus Biologicals
NBP1-70427
Rabbit Poly, 50 ug
Hu, Rb
WB
Supplier data
Boster Biological Technology
A09443
Rabbit Poly, 100 ul
Rt
WB
Supplier data
Invitrogen Antibodies
PA5-71437
Rabbit Poly, 100 ul
Hu
WB
Supplier data
Invitrogen Antibodies
PA5-70284
Rabbit Poly, 100 ul
Bv, Cn, Eq, GP, Hu, Mo, Rb, Rt, Zf
WB
Supplier data
Proteintech Group
19892-1-AP
Rabbit Poly, 150 ul
Hu, Mo, Rt
ELISA, IHC-F, IHC-P, IP, WB
ELISA, Integrator Complex Subunit 13 antibody, 19892-1-AP, Proteintech Group, Immunohistochemistry frozen image  IHC-F, Integrator Complex Subunit 13 antibody, 19892-1-AP, Proteintech Group, Immunohistochemistry paraffin image  IHC-P, Integrator Complex Subunit 13 antibody, 19892-1-AP, Proteintech Group, Immunoprecipitation image  IP
Supplier data
Origene
TA344919
Rabbit Poly, 50 ug
Hu
WB
Supplier data
Biorbyt
orb326151
Rabbit Poly, 100 ul
Cn, Eq, GP, Hu, Mo, Rb, Rt, Zf
WB

Immunohistochemistry paraffin

Supplier data
FineTest
FNab01012
Rabbit Poly, 100 ug
Hu, Mo, Rt
ELISA, IHC-F, IHC-P, IP, WB
ELISA, Integrator Complex Subunit 13 antibody, FNab01012, FineTest, Immunohistochemistry frozen image  IHC-F, Integrator Complex Subunit 13 antibody, FNab01012, FineTest, Immunoprecipitation image  IP, Integrator Complex Subunit 13 antibody, FNab01012, FineTest, Western Blot image  WB
Supplier data
Proteintech Group
19892-1-AP
Rabbit Poly, 150 ul
Hu, Mo, Rt
ELISA, IHC-F, IHC-P, IP, WB
ELISA, Integrator Complex Subunit 13 antibody, 19892-1-AP, Proteintech Group, Immunohistochemistry frozen image  IHC-F, Integrator Complex Subunit 13 antibody, 19892-1-AP, Proteintech Group, Immunoprecipitation image  IP, Integrator Complex Subunit 13 antibody, 19892-1-AP, Proteintech Group, Western Blot image  WB