2 million antibody products . Find yours today
View products

64 matching Adenosine A2a Receptor antibodies for Enzyme Linked Immunosorbent Assay from 19 suppliers

Superstar Kits

Adenosine A2a Receptor information

Aliases

Adenosine A2a Receptor is also known as AA2AR, Adenosine receptor A2a, ADORA2, ADORA2A, ADORA2A, ID, ADORA2A/Adenosine A2A Receptor

1 Applications, 13 Species currently selected


View matching ELISA Kits

64 matching Adenosine A2a Receptor antibodies for Enzyme Linked Immunosorbent Assay after applying filters

Click each Adenosine A2a Receptor antibody that interests you to view the full Adenosine A2a Receptor antibody datasheet.
View only Adenosine A2a Receptor Monoclonal Antibodies or Adenosine A2a Receptor Polyclonal Antibodies

Enzyme Linked Immunosorbent Assay - Use Filter to switch application

Supplier data
Lifespan Biosciences
LS-C139333
Mouse Mono [4.00E+04], 1 Vial
Hu
ELISA, IP, WB
Adenosine A2a Receptor antibody, LS-C139333, Lifespan Biosciences, Immunoprecipitation image  IP, WB
Supplier data
Proteintech Group
51092-1-AP
Rabbit Poly, 150 ul
Hu, Mo, Rt
ELISA, IHC-F, IHC-P
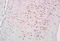
Adenosine A2a Receptor antibody, 51092-1-AP, Proteintech Group, Immunohistochemistry frozen image  IHC-F, Adenosine A2a Receptor antibody, 51092-1-AP, Proteintech Group, Immunohistochemistry paraffin image  IHC-P
Supplier data
ProSci
45-205
Goat Poly, 100 ug
Pr
ELISA, WB
WB

Western Blot

Supplier data
Lifespan Biosciences
LS-C120623
Rabbit Poly, 1 Vial
Hu
ELISA, IF, IHC-F, IHC-P, WB
ELISA, Adenosine A2a Receptor antibody, LS-C120623, Lifespan Biosciences, Immunofluorescence image  IF, Adenosine A2a Receptor antibody, LS-C120623, Lifespan Biosciences, Immunohistochemistry frozen image  IHC-F, Adenosine A2a Receptor antibody, LS-C120623, Lifespan Biosciences, Immunohistochemistry paraffin image  IHC-P
Supplier data
Lifespan Biosciences
LS-C200094
Rabbit Poly, 1 Vial
Hu
ELISA, IHC-F, WB
ELISA, IHC-F
Supplier data
Lifespan Biosciences
LS-C200093
Rabbit Poly, 1 Vial
Hu
ELISA, IHC-F, WB
ELISA, IHC-F
Supplier data
Biorbyt
orb77761
Rabbit Poly, 100 ug
Hu
ELISA, IHC-P, WB
ELISA, Adenosine A2a Receptor antibody, orb77761, Biorbyt, Immunohistochemistry paraffin image  IHC-P

Immunohistochemistry paraffin

Supplier data
Lifespan Biosciences
LS-C120623
Rabbit Poly, 1 Vial
Hu
ELISA, IF, IHC-F, IHC-P, WB
ELISA, Adenosine A2a Receptor antibody, LS-C120623, Lifespan Biosciences, Immunofluorescence image  IF, Adenosine A2a Receptor antibody, LS-C120623, Lifespan Biosciences, Immunohistochemistry frozen image  IHC-F, Adenosine A2a Receptor antibody, LS-C120623, Lifespan Biosciences, Western Blot image  WB
Supplier data
Lifespan Biosciences
LS-C198596
Rabbit Poly, 1 Vial
Hu
ELISA, IF, IHC-F, IHC-P
ELISA, Adenosine A2a Receptor antibody, LS-C198596, Lifespan Biosciences, Immunofluorescence image  IF, Adenosine A2a Receptor antibody, LS-C198596, Lifespan Biosciences, Immunohistochemistry frozen image  IHC-F
Supplier data
Lifespan Biosciences
LS-C677077
Rabbit Poly, 1 Vial
Hu
ELISA, IF, IHC-F, IHC-P
ELISA, Adenosine A2a Receptor antibody, LS-C677077, Lifespan Biosciences, Immunofluorescence image  IF, IHC-F
Supplier data
Proteintech Group
51092-1-AP
Rabbit Poly, 150 ul
Hu, Mo, Rt
ELISA, IHC-F, IHC-P
Adenosine A2a Receptor antibody, 51092-1-AP, Proteintech Group, Enzyme Linked Immunosorbent Assay image  ELISA, Adenosine A2a Receptor antibody, 51092-1-AP, Proteintech Group, Immunohistochemistry frozen image  IHC-F
Supplier data
Biorbyt
orb77761
Rabbit Poly, 100 ug
Hu
ELISA, IHC-P, WB
ELISA, Adenosine A2a Receptor antibody, orb77761, Biorbyt, Western Blot image  WB
Supplier data
Biorbyt
orb10012
Rabbit Poly, 200 ug
Hu, Mo, Rt
ELISA, IHC-F, IHC-P, WB
ELISA, Adenosine A2a Receptor antibody, orb10012, Biorbyt, Immunohistochemistry frozen image  IHC-F, WB

Immunohistochemistry frozen

Supplier data
Lifespan Biosciences
LS-C120623
Rabbit Poly, 1 Vial
Hu
ELISA, IF, IHC-F, IHC-P, WB
ELISA, Adenosine A2a Receptor antibody, LS-C120623, Lifespan Biosciences, Immunofluorescence image  IF, Adenosine A2a Receptor antibody, LS-C120623, Lifespan Biosciences, Immunohistochemistry paraffin image  IHC-P, Adenosine A2a Receptor antibody, LS-C120623, Lifespan Biosciences, Western Blot image  WB
Supplier data
Lifespan Biosciences
LS-C198596
Rabbit Poly, 1 Vial
Hu
ELISA, IF, IHC-F, IHC-P
ELISA, Adenosine A2a Receptor antibody, LS-C198596, Lifespan Biosciences, Immunofluorescence image  IF, Adenosine A2a Receptor antibody, LS-C198596, Lifespan Biosciences, Immunohistochemistry paraffin image  IHC-P
Supplier data
Proteintech Group
51092-1-AP
Rabbit Poly, 150 ul
Hu, Mo, Rt
ELISA, IHC-F, IHC-P
Adenosine A2a Receptor antibody, 51092-1-AP, Proteintech Group, Enzyme Linked Immunosorbent Assay image  ELISA, Adenosine A2a Receptor antibody, 51092-1-AP, Proteintech Group, Immunohistochemistry paraffin image  IHC-P

Related antibodies

Adenosine A2a Receptor antibodies are often published withAssociated citations
Adenosine A1 Receptor66.7%
5'-Nucleotidase Ecto33.3%