2 million antibody products . Find yours today
View products

5 matching CDKN2A Interacting Protein N-Terminal Like antibodies for Immunohistochemistry paraffin from 4 suppliers

Superstar Kits

CDKN2A Interacting Protein N-Terminal Like information

Aliases

CDKN2A Interacting Protein N-Terminal Like is also known as C2AIL, CDKN2AIPNL, D11Ertd497e

1 Applications, 2 Species currently selected

All  None             
  IHC-P External link   ELISA External link   IHC-F External link   WB External link   ICC External link   IF External link
Human  External link   10       6       6       5       2       2   
Mouse  External link    3       3       2       2   

View matching ELISA Kits

5 matching CDKN2A Interacting Protein N-Terminal Like antibodies for Immunohistochemistry paraffin after applying filters

Click each CDKN2A Interacting Protein N-Terminal Like antibody that interests you to view the full CDKN2A Interacting Protein N-Terminal Like antibody datasheet.
View only CDKN2A Interacting Protein N-Terminal Like Monoclonal Antibodies or CDKN2A Interacting Protein N-Terminal Like Polyclonal Antibodies

Immunohistochemistry paraffin - Use Filter to switch application

Supplier data
Sino Biological
201669-T08
Rabbit Poly, 200 ul
Hu
IHC-F, IHC-P
CDKN2A Interacting Protein N-Terminal Like antibody, 201669-T08, Sino Biological, Immunohistochemistry frozen image  IHC-F
Supplier data
Atlas Antibodies
HPA043966
Rabbit Poly, 100 ul
Hu
IHC-F, IHC-P
CDKN2A Interacting Protein N-Terminal Like antibody, HPA043966, Atlas Antibodies, Immunohistochemistry frozen image  IHC-F
Supplier data
Novus Biologicals
NBP2-14466
Rabbit Poly, 100 ul
Hu
ICC, IF, IHC-F, IHC-P
CDKN2A Interacting Protein N-Terminal Like antibody, NBP2-14466, Novus Biologicals, Immunocytochemistry image  ICC, CDKN2A Interacting Protein N-Terminal Like antibody, NBP2-14466, Novus Biologicals, Immunofluorescence image  IF, CDKN2A Interacting Protein N-Terminal Like antibody, NBP2-14466, Novus Biologicals, Immunohistochemistry frozen image  IHC-F
Supplier data
Epigentek
A53293-100
Rabbit Poly, 100 ug
Hu, Mo
ELISA, IHC-F, IHC-P
ELISA, IHC-F
Supplier data
Lifespan Biosciences
LS-B12280
Rabbit Poly, 1 Vial
Hu, Mo
ELISA, IHC-P, WB
ELISA, WB
Supplier data
Lifespan Biosciences
LS-C317139
Rabbit Poly, 1 Vial
Hu
ELISA, IHC-P, WB
ELISA, WB
Supplier data
Lifespan Biosciences
LS-C317140
Rabbit Poly, 1 Vial
Hu
ELISA, IHC-P, WB
ELISA, WB
Supplier data
Lifespan Biosciences
LS-C318816
Rabbit Poly, 1 Vial
Hu
ELISA, IHC-P, WB
ELISA, WB
Supplier data
Invitrogen Antibodies
PA5-60564
Rabbit Poly, 100 ul
Hu
ICC, IF, IHC-F, IHC-P
ICC, CDKN2A Interacting Protein N-Terminal Like antibody, PA5-60564, Invitrogen Antibodies, Immunofluorescence image  IF, CDKN2A Interacting Protein N-Terminal Like antibody, PA5-60564, Invitrogen Antibodies, Immunohistochemistry frozen image  IHC-F

Immunohistochemistry frozen

Supplier data
Sino Biological
201669-T08
Rabbit Poly, 200 ul
Hu
IHC-F, IHC-P
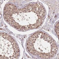
CDKN2A Interacting Protein N-Terminal Like antibody, 201669-T08, Sino Biological, Immunohistochemistry paraffin image  IHC-P
Supplier data
Atlas Antibodies
HPA043966
Rabbit Poly, 100 ul
Hu
IHC-F, IHC-P
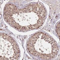
CDKN2A Interacting Protein N-Terminal Like antibody, HPA043966, Atlas Antibodies, Immunohistochemistry paraffin image  IHC-P
Supplier data
Novus Biologicals
NBP2-14466
Rabbit Poly, 100 ul
Hu
ICC, IF, IHC-F, IHC-P
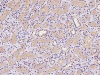
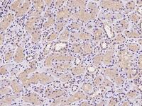
CDKN2A Interacting Protein N-Terminal Like antibody, NBP2-14466, Novus Biologicals, Immunocytochemistry image  ICC, CDKN2A Interacting Protein N-Terminal Like antibody, NBP2-14466, Novus Biologicals, Immunofluorescence image  IF, CDKN2A Interacting Protein N-Terminal Like antibody, NBP2-14466, Novus Biologicals, Immunohistochemistry paraffin image  IHC-P