2 million antibody products . Find yours today
View products

2 matching Zinc And Ring Finger 2 antibodies for Immunoprecipitation from 7 suppliers

Superstar Kits

Zinc And Ring Finger 2 information

Aliases

Zinc And Ring Finger 2 is also known as Protein Ells2, RING finger protein 202, RNF202, Zinc/RING finger protein 2, ZNRF2, ZNRF2-Specific

1 Applications, 4 Species currently selected


View matching ELISA Kits

2 matching Zinc And Ring Finger 2 antibodies for Immunoprecipitation after applying filters

Click each Zinc And Ring Finger 2 antibody that interests you to view the full Zinc And Ring Finger 2 antibody datasheet.
View only Zinc And Ring Finger 2 Monoclonal Antibodies or Zinc And Ring Finger 2 Polyclonal Antibodies

Immunoprecipitation - Use Filter to switch application

Supplier data
Bethyl Labs
A302-312A
Rabbit Poly, 100 ug
Hu
IP, WB
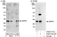
Zinc And Ring Finger 2 antibody, A302-312A, Bethyl Labs, Western Blot image  WB
Supplier data
Bethyl Labs
A302-311A
Rabbit Poly, 100 ug
Hu
IP
Supplier data
Novus Biologicals
NBP1-28697
Rabbit Poly, 100 ug
Hu
IP, WB
WB

Western Blot

Supplier data
Bethyl Labs
A302-312A
Rabbit Poly, 100 ug
Hu
IP, WB
Zinc And Ring Finger 2 antibody, A302-312A, Bethyl Labs, Immunoprecipitation image  IP
Supplier data
Novus Biologicals
NBP1-28715
Rabbit Poly, 100 ug
Hu
IP, WB
IP