2 million antibody products . Find yours today
View products

41 matching Zinc Finger CCCH-Type Containing 3 antibodies for Western Blot from 7 suppliers

Superstar Kits

Zinc Finger CCCH-Type Containing 3 information

Aliases

Zinc Finger CCCH-Type Containing 3 is also known as KIAA0150, ZC3H3, Zfp623

1 Applications, 8 Species currently selected

All  None             
  WB External link   IHC-P External link   IHC-F External link   IP External link   ICC External link   IF External link
Human  External link   10       8       7       2       1       1   
Mouse  External link    3   
Equine  External link    2   
Bovine  External link    2   
Rat  External link    2   
Guinea Pig  External link    1   
Canine  External link    1   
Porcine  External link    1   

View matching ELISA Kits

41 matching Zinc Finger CCCH-Type Containing 3 antibodies for Western Blot after applying filters

Click each Zinc Finger CCCH-Type Containing 3 antibody that interests you to view the full Zinc Finger CCCH-Type Containing 3 antibody datasheet.
View only Zinc Finger CCCH-Type Containing 3 Monoclonal Antibodies or Zinc Finger CCCH-Type Containing 3 Polyclonal Antibodies

Western Blot - Use Filter to switch application

Supplier data
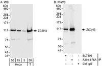
Bethyl Labs
A301-878A
Rabbit Poly, 20 ug
Hu
IP, WB
Zinc Finger CCCH-Type Containing 3 antibody, A301-878A, Bethyl Labs, Immunoprecipitation image  IP
Supplier data
Novus Biologicals
NBP1-74066
Rabbit Poly, 50 ug
Bv, Cn, Eq, Hu, Mo, Po, Rt
WB
Supplier data
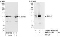
Novus Biologicals
NBP1-03341
Rabbit Poly, 100 ul
Hu
IP, WB
IP
Supplier data
Lifespan Biosciences
LS-C160737
Rabbit Poly, 1 Vial
Hu
IHC-F, IHC-P, WB
Zinc Finger CCCH-Type Containing 3 antibody, LS-C160737, Lifespan Biosciences, Immunohistochemistry frozen image  IHC-F, Zinc Finger CCCH-Type Containing 3 antibody, LS-C160737, Lifespan Biosciences, Immunohistochemistry paraffin image  IHC-P
Supplier data
Invitrogen Antibodies
PA5-24498
Rabbit Poly, 100 ug
Hu
IHC-F, IHC-P, WB
Zinc Finger CCCH-Type Containing 3 antibody, PA5-24498, Invitrogen Antibodies, Immunohistochemistry frozen image  IHC-F, Zinc Finger CCCH-Type Containing 3 antibody, PA5-24498, Invitrogen Antibodies, Immunohistochemistry paraffin image  IHC-P
Supplier data
Invitrogen Antibodies
PA5-70082
Rabbit Poly, 100 ul
Bv, Eq, GP, Hu, Mo, Rt
WB
Supplier data
Origene
TA333462
Rabbit Poly, 50 ug
Mo
WB
Supplier data
Origene
AP54622PU-N
Rabbit Poly, 400 ul
Hu
WB
Supplier data
ProSci
55-566
Rabbit Poly, 400 ul
Hu
IHC-F, IHC-P, WB
Zinc Finger CCCH-Type Containing 3 antibody, 55-566, ProSci, Immunohistochemistry frozen image  IHC-F, Zinc Finger CCCH-Type Containing 3 antibody, 55-566, ProSci, Immunohistochemistry paraffin image  IHC-P
Supplier data
Abbexa
abx026043
Rabbit Poly, 400 ul
Hu
IHC-F, IHC-P, WB
Zinc Finger CCCH-Type Containing 3 antibody, abx026043, Abbexa, Immunohistochemistry frozen image  IHC-F, Zinc Finger CCCH-Type Containing 3 antibody, abx026043, Abbexa, Immunohistochemistry paraffin image  IHC-P

Immunohistochemistry paraffin

Supplier data
Lifespan Biosciences
LS-C160737
Rabbit Poly, 1 Vial
Hu
IHC-F, IHC-P, WB
Zinc Finger CCCH-Type Containing 3 antibody, LS-C160737, Lifespan Biosciences, Immunohistochemistry frozen image  IHC-F, Zinc Finger CCCH-Type Containing 3 antibody, LS-C160737, Lifespan Biosciences, Western Blot image  WB
Supplier data
Invitrogen Antibodies
PA5-24498
Rabbit Poly, 100 ug
Hu
IHC-F, IHC-P, WB
Zinc Finger CCCH-Type Containing 3 antibody, PA5-24498, Invitrogen Antibodies, Immunohistochemistry frozen image  IHC-F, Zinc Finger CCCH-Type Containing 3 antibody, PA5-24498, Invitrogen Antibodies, Western Blot image  WB