2 million antibody products . Find yours today
View products

30 matching Pyridoxal Phosphate Binding Protein antibodies for Flow Cytometry from 8 suppliers

Superstar Kits

Pyridoxal Phosphate Binding Protein information

Aliases

Pyridoxal Phosphate Binding Protein is also known as PLPBP, PLPHP, PROSC

1 Applications, 3 Species currently selected

All  None                 
  WB External link   IHC-P External link   IHC-F External link   FACS External link   IF External link   ELISA External link   ICC External link   AP External link
Human  External link   61      39      38      30       9       7       1       1   
Mouse  External link    5       3       2   
Rat  External link    1   

View matching ELISA Kits

30 matching Pyridoxal Phosphate Binding Protein antibodies for Flow Cytometry after applying filters

Click each Pyridoxal Phosphate Binding Protein antibody that interests you to view the full Pyridoxal Phosphate Binding Protein antibody datasheet.
View only Pyridoxal Phosphate Binding Protein Monoclonal Antibodies or Pyridoxal Phosphate Binding Protein Polyclonal Antibodies

Flow Cytometry - Use Filter to switch application

Supplier data
Novus Biologicals
NBP2-45396
Mouse Mono [3G7], 100 ul
Hu
FACS, IHC-F, IHC-P, WB
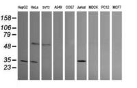
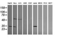
Pyridoxal Phosphate Binding Protein antibody, NBP2-45396, Novus Biologicals, Immunohistochemistry frozen image  IHC-F, Pyridoxal Phosphate Binding Protein antibody, NBP2-45396, Novus Biologicals, Immunohistochemistry paraffin image  IHC-P, Pyridoxal Phosphate Binding Protein antibody, NBP2-45396, Novus Biologicals, Western Blot image  WB
Supplier data
Lifespan Biosciences
LS-C174192
Mouse Mono [1G2], 1 Vial
Hu
FACS, IF, IHC-F, IHC-P, WB
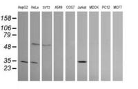
Pyridoxal Phosphate Binding Protein antibody, LS-C174192, Lifespan Biosciences, Immunofluorescence image  IF, Pyridoxal Phosphate Binding Protein antibody, LS-C174192, Lifespan Biosciences, Immunohistochemistry frozen image  IHC-F, Pyridoxal Phosphate Binding Protein antibody, LS-C174192, Lifespan Biosciences, Immunohistochemistry paraffin image  IHC-P, Pyridoxal Phosphate Binding Protein antibody, LS-C174192, Lifespan Biosciences, Western Blot image  WB
Supplier data
Lifespan Biosciences
LS-C174193
Mouse Mono [3A6], 1 Vial
Hu
FACS, IHC-F, IHC-P, WB
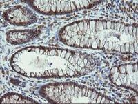
Pyridoxal Phosphate Binding Protein antibody, LS-C174193, Lifespan Biosciences, Immunohistochemistry frozen image  IHC-F, Pyridoxal Phosphate Binding Protein antibody, LS-C174193, Lifespan Biosciences, Immunohistochemistry paraffin image  IHC-P, Pyridoxal Phosphate Binding Protein antibody, LS-C174193, Lifespan Biosciences, Western Blot image  WB
Supplier data
Lifespan Biosciences
LS-C174211
Mouse Mono [2H1], 1 Vial
Hu
FACS, WB
Pyridoxal Phosphate Binding Protein antibody, LS-C174211, Lifespan Biosciences, Western Blot image  WB

Western Blot

Supplier data
Origene
TA505163AM
Mouse Poly, 100 ul
Hu
FACS, IHC-F, IHC-P, WB
FACS, IHC-F, IHC-P
Supplier data
Origene
TA505159AM
Mouse Mono [OTI8E4], 100 ul
Hu
FACS, IHC-F, IHC-P, WB
FACS, IHC-F, IHC-P
Supplier data
Origene
CF505159
Mouse Poly, 100 ug
Hu
FACS, IHC-F, IHC-P, WB
FACS, IHC-F, IHC-P
Supplier data
Origene
TA505162S
Mouse Mono [OTI8A11], 30 ul
Hu
FACS, IF, IHC-F, IHC-P, WB
FACS, IF, IHC-F, IHC-P
Supplier data
Origene
TA505159
Mouse Mono [OTI8E2], 100 ul
Hu
FACS, IHC-F, IHC-P, WB
FACS, IHC-F, IHC-P
Supplier data
Novus Biologicals
NBP2-45396
Mouse Mono [3G7], 100 ul
Hu
FACS, IHC-F, IHC-P, WB
Pyridoxal Phosphate Binding Protein antibody, NBP2-45396, Novus Biologicals, Flow Cytometry image  FACS, Pyridoxal Phosphate Binding Protein antibody, NBP2-45396, Novus Biologicals, Immunohistochemistry frozen image  IHC-F, Pyridoxal Phosphate Binding Protein antibody, NBP2-45396, Novus Biologicals, Immunohistochemistry paraffin image  IHC-P
Supplier data
Lifespan Biosciences
LS-C174192
Mouse Mono [1G2], 1 Vial
Hu
FACS, IF, IHC-F, IHC-P, WB
Pyridoxal Phosphate Binding Protein antibody, LS-C174192, Lifespan Biosciences, Flow Cytometry image  FACS, Pyridoxal Phosphate Binding Protein antibody, LS-C174192, Lifespan Biosciences, Immunofluorescence image  IF, Pyridoxal Phosphate Binding Protein antibody, LS-C174192, Lifespan Biosciences, Immunohistochemistry frozen image  IHC-F, Pyridoxal Phosphate Binding Protein antibody, LS-C174192, Lifespan Biosciences, Immunohistochemistry paraffin image  IHC-P
Supplier data
Lifespan Biosciences
LS-C174193
Mouse Mono [3A6], 1 Vial
Hu
FACS, IHC-F, IHC-P, WB
Pyridoxal Phosphate Binding Protein antibody, LS-C174193, Lifespan Biosciences, Flow Cytometry image  FACS, Pyridoxal Phosphate Binding Protein antibody, LS-C174193, Lifespan Biosciences, Immunohistochemistry frozen image  IHC-F, Pyridoxal Phosphate Binding Protein antibody, LS-C174193, Lifespan Biosciences, Immunohistochemistry paraffin image  IHC-P
Supplier data
Origene
TA505194BM
Mouse Poly, 100 ul
Hu
FACS, WB
FACS
Supplier data
Origene
TA505162AM
Mouse Mono [OTI9A5], 100 ul
Hu
FACS, IF, IHC-F, IHC-P, WB
FACS, IF, IHC-F, IHC-P
Supplier data
Origene
TA505162BM
Mouse Mono [OTI9A5], 100 ul
Hu
FACS, IF, IHC-F, IHC-P, WB
FACS, IF, IHC-F, IHC-P
Supplier data
Origene
CF505163
Mouse Mono [OTI2B11], 100 ug
Hu
FACS, IHC-F, IHC-P, WB
FACS, IHC-F, IHC-P
Supplier data
Origene
CF505194
Mouse Mono [OTI2B11], 100 ug
Hu
FACS, WB
FACS
Supplier data
Origene
CF505162
Mouse Poly, 100 ug
Hu
FACS, IF, IHC-F, IHC-P, WB
FACS, IF, IHC-F, IHC-P
Supplier data
Origene
TA505163S
Mouse Poly, 30 ul
Hu
FACS, IHC-F, IHC-P, WB
FACS, IHC-F, IHC-P
Supplier data
Origene
TA505194S
Mouse Poly, 30 ul
Hu
FACS, WB
FACS
Supplier data
Origene
TA505163BM
Mouse Poly, 100 ul
Hu
FACS, IHC-F, IHC-P, WB
FACS, IHC-F, IHC-P
Supplier data
Origene
TA505159S
Mouse Mono [OTI9F5], 30 ul
Hu
FACS, IHC-F, IHC-P, WB
FACS, IHC-F, IHC-P
Supplier data
Origene
TA505194AM
Mouse Poly, 100 ul
Hu
FACS, WB
FACS
Supplier data
Origene
TA505159BM
Mouse Mono [OTI8E4], 100 ul
Hu
FACS, IHC-F, IHC-P, WB
FACS, IHC-F, IHC-P
Supplier data
Origene
TA505163
Mouse Mono [OTI8A11], 100 ul
Hu
FACS, IHC-F, IHC-P, WB
FACS, IHC-F, IHC-P
Supplier data
Origene
TA505194
Mouse Mono [Clone 2H1], 100 ul
Hu
FACS, WB
FACS
Supplier data
Lifespan Biosciences
LS-C787457
Mouse Mono [LS-C787457], 1 Vial
Hu
FACS, IHC-F, IHC-P, WB
FACS, Pyridoxal Phosphate Binding Protein antibody, LS-C787457, Lifespan Biosciences, Immunohistochemistry frozen image  IHC-F, Pyridoxal Phosphate Binding Protein antibody, LS-C787457, Lifespan Biosciences, Immunohistochemistry paraffin image  IHC-P
Supplier data
Lifespan Biosciences
LS-C337828
Mouse Mono [OTI3G7], 1 Vial
Hu
FACS, IHC-F, IHC-P, WB
FACS, Pyridoxal Phosphate Binding Protein antibody, LS-C337828, Lifespan Biosciences, Immunohistochemistry frozen image  IHC-F, Pyridoxal Phosphate Binding Protein antibody, LS-C337828, Lifespan Biosciences, Immunohistochemistry paraffin image  IHC-P
Supplier data
Lifespan Biosciences
LS-C174211
Mouse Mono [2H1], 1 Vial
Hu
FACS, WB
Pyridoxal Phosphate Binding Protein antibody, LS-C174211, Lifespan Biosciences, Flow Cytometry image  FACS
Supplier data
Invitrogen Antibodies
MA5-26069
Mouse Mono [OTI1G2], 100 ul
Hu
FACS, ICC, IF, IHC-F, IHC-P, WB
FACS, Pyridoxal Phosphate Binding Protein antibody, MA5-26069, Invitrogen Antibodies, Immunocytochemistry image  ICC, IF, Pyridoxal Phosphate Binding Protein antibody, MA5-26069, Invitrogen Antibodies, Immunohistochemistry frozen image  IHC-F, Pyridoxal Phosphate Binding Protein antibody, MA5-26069, Invitrogen Antibodies, Immunohistochemistry paraffin image  IHC-P
Supplier data
Invitrogen Antibodies
MA5-26070
Mouse Mono [OTI3A6], 100 ul
Hu
FACS, IHC-F, IHC-P, WB
FACS, Pyridoxal Phosphate Binding Protein antibody, MA5-26070, Invitrogen Antibodies, Immunohistochemistry frozen image  IHC-F, Pyridoxal Phosphate Binding Protein antibody, MA5-26070, Invitrogen Antibodies, Immunohistochemistry paraffin image  IHC-P
Supplier data
Invitrogen Antibodies
MA5-26068
Mouse Mono [OTI3G7], 100 ul
Hu
FACS, IHC-F, IHC-P, WB
FACS, Pyridoxal Phosphate Binding Protein antibody, MA5-26068, Invitrogen Antibodies, Immunohistochemistry frozen image  IHC-F, Pyridoxal Phosphate Binding Protein antibody, MA5-26068, Invitrogen Antibodies, Immunohistochemistry paraffin image  IHC-P
Supplier data
Boster Biological Technology
M32099-1
Mouse Mono [OTI1G2], 100 ul
Hu
FACS, IF, IHC-F, IHC-P, WB
FACS, Pyridoxal Phosphate Binding Protein antibody, M32099-1, Boster Biological Technology, Immunofluorescence image  IF, IHC-F, Pyridoxal Phosphate Binding Protein antibody, M32099-1, Boster Biological Technology, Immunohistochemistry paraffin image  IHC-P
Supplier data
Boster Biological Technology
M32099
Mouse Mono [OTI3G7], 100 ul
Hu
FACS, IHC-F, IHC-P, WB
FACS, IHC-F, Pyridoxal Phosphate Binding Protein antibody, M32099, Boster Biological Technology, Immunohistochemistry paraffin image  IHC-P

Immunohistochemistry paraffin

Supplier data
Novus Biologicals
NBP2-45396
Mouse Mono [3G7], 100 ul
Hu
FACS, IHC-F, IHC-P, WB
Pyridoxal Phosphate Binding Protein antibody, NBP2-45396, Novus Biologicals, Flow Cytometry image  FACS, Pyridoxal Phosphate Binding Protein antibody, NBP2-45396, Novus Biologicals, Immunohistochemistry frozen image  IHC-F, Pyridoxal Phosphate Binding Protein antibody, NBP2-45396, Novus Biologicals, Western Blot image  WB
Supplier data
Lifespan Biosciences
LS-C174192
Mouse Mono [1G2], 1 Vial
Hu
FACS, IF, IHC-F, IHC-P, WB
Pyridoxal Phosphate Binding Protein antibody, LS-C174192, Lifespan Biosciences, Flow Cytometry image  FACS, Pyridoxal Phosphate Binding Protein antibody, LS-C174192, Lifespan Biosciences, Immunofluorescence image  IF, Pyridoxal Phosphate Binding Protein antibody, LS-C174192, Lifespan Biosciences, Immunohistochemistry frozen image  IHC-F, Pyridoxal Phosphate Binding Protein antibody, LS-C174192, Lifespan Biosciences, Western Blot image  WB
Supplier data
Lifespan Biosciences
LS-C174193
Mouse Mono [3A6], 1 Vial
Hu
FACS, IHC-F, IHC-P, WB
Pyridoxal Phosphate Binding Protein antibody, LS-C174193, Lifespan Biosciences, Flow Cytometry image  FACS, Pyridoxal Phosphate Binding Protein antibody, LS-C174193, Lifespan Biosciences, Immunohistochemistry frozen image  IHC-F, Pyridoxal Phosphate Binding Protein antibody, LS-C174193, Lifespan Biosciences, Western Blot image  WB
Supplier data
Lifespan Biosciences
LS-C787457
Mouse Mono [LS-C787457], 1 Vial
Hu
FACS, IHC-F, IHC-P, WB
FACS, Pyridoxal Phosphate Binding Protein antibody, LS-C787457, Lifespan Biosciences, Immunohistochemistry frozen image  IHC-F, Pyridoxal Phosphate Binding Protein antibody, LS-C787457, Lifespan Biosciences, Western Blot image  WB
Supplier data
Lifespan Biosciences
LS-C337828
Mouse Mono [OTI3G7], 1 Vial
Hu
FACS, IHC-F, IHC-P, WB
FACS, Pyridoxal Phosphate Binding Protein antibody, LS-C337828, Lifespan Biosciences, Immunohistochemistry frozen image  IHC-F, Pyridoxal Phosphate Binding Protein antibody, LS-C337828, Lifespan Biosciences, Western Blot image  WB
Supplier data
Invitrogen Antibodies
MA5-26069
Mouse Mono [OTI1G2], 100 ul
Hu
FACS, ICC, IF, IHC-F, IHC-P, WB
FACS, Pyridoxal Phosphate Binding Protein antibody, MA5-26069, Invitrogen Antibodies, Immunocytochemistry image  ICC, IF, Pyridoxal Phosphate Binding Protein antibody, MA5-26069, Invitrogen Antibodies, Immunohistochemistry frozen image  IHC-F, Pyridoxal Phosphate Binding Protein antibody, MA5-26069, Invitrogen Antibodies, Western Blot image  WB
Supplier data
Invitrogen Antibodies
MA5-26070
Mouse Mono [OTI3A6], 100 ul
Hu
FACS, IHC-F, IHC-P, WB
FACS, Pyridoxal Phosphate Binding Protein antibody, MA5-26070, Invitrogen Antibodies, Immunohistochemistry frozen image  IHC-F, Pyridoxal Phosphate Binding Protein antibody, MA5-26070, Invitrogen Antibodies, Western Blot image  WB
Supplier data
Invitrogen Antibodies
MA5-26068
Mouse Mono [OTI3G7], 100 ul
Hu
FACS, IHC-F, IHC-P, WB
FACS, Pyridoxal Phosphate Binding Protein antibody, MA5-26068, Invitrogen Antibodies, Immunohistochemistry frozen image  IHC-F, Pyridoxal Phosphate Binding Protein antibody, MA5-26068, Invitrogen Antibodies, Western Blot image  WB