2 million antibody products . Find yours today
View products

132 matching Pyrroline-5-Carboxylate Reductase 2 antibodies from 9 suppliers

Superstar Kits

Pyrroline-5-Carboxylate Reductase 2 information

Aliases

Pyrroline-5-Carboxylate Reductase 2 is also known as P5C reductase 2, P5CR 2, P5CR2, PYCR2

10 Applications, 15 Species currently selected


View matching ELISA Kits

Pyrroline-5-Carboxylate Reductase 2 antibodies

132 Pyrroline-5-Carboxylate Reductase 2 antibodies from 9 antibody suppliers Click each Pyrroline-5-Carboxylate Reductase 2 antibody that interests you to view the full Pyrroline-5-Carboxylate Reductase 2 antibody datasheet.
View only Pyrroline-5-Carboxylate Reductase 2 Monoclonal Antibodies or Pyrroline-5-Carboxylate Reductase 2 Polyclonal Antibodies

Western Blot - Use Filter to switch application

Supplier data
FineTest
FNab06971
Rabbit Poly, 100 ug
Hu, Mo, Rt
ELISA, IF, IHC-F, IHC-P, IP, WB
ELISA, IF, Pyrroline-5-Carboxylate Reductase 2 antibody, FNab06971, FineTest, Immunohistochemistry frozen image  IHC-F, Pyrroline-5-Carboxylate Reductase 2 antibody, FNab06971, FineTest, Immunohistochemistry paraffin image  IHC-P, Pyrroline-5-Carboxylate Reductase 2 antibody, FNab06971, FineTest, Immunoprecipitation image  IP
Supplier data
FineTest
FNab06972
Rabbit Poly, 100 ug
Hu
ELISA, IF, WB
ELISA, Pyrroline-5-Carboxylate Reductase 2 antibody, FNab06972, FineTest, Immunofluorescence image  IF
Supplier data
Origene
TA501898S
Mouse Mono [TC2], 30 ul
Hu, Mo, Rt
IF, WB
IF
Supplier data
Origene
TA501901S
Mouse Poly, 30 ul
Hu, Mo, Rt
FACS, IF, IHC-F, IHC-P, WB
FACS, IF, IHC-F, IHC-P
Supplier data
Origene
TA502144S
Mouse Poly, 30 ul
Hu, Mo, Rt
IF, IHC-F, IHC-P, WB
IF, IHC-F, IHC-P
Supplier data
Origene
TA501900S
Mouse Mono [HECA-452], 30 ul
Hu, Mo, Rt
IF, IHC-F, IHC-P, WB
IF, IHC-F, IHC-P
Supplier data
Origene
TA501876S
Mouse Mono [B-F46], 30 ul
Hu, Mo, Rt
IF, WB
IF
Supplier data
Atlas Antibodies
HPA056873
Rabbit Poly, 100 ul
Hu
ICC, IF, IHC-F, IHC-P, WB
Pyrroline-5-Carboxylate Reductase 2 antibody, HPA056873, Atlas Antibodies, Immunocytochemistry image  ICC, Pyrroline-5-Carboxylate Reductase 2 antibody, HPA056873, Atlas Antibodies, Immunofluorescence image  IF, Pyrroline-5-Carboxylate Reductase 2 antibody, HPA056873, Atlas Antibodies, Immunohistochemistry frozen image  IHC-F, Pyrroline-5-Carboxylate Reductase 2 antibody, HPA056873, Atlas Antibodies, Immunohistochemistry paraffin image  IHC-P
Supplier data
Origene
TA501897S
Mouse Poly, 30 ul
Hu, Mo, Rt
FACS, IF, WB
FACS, IF
Supplier data
Origene
TA501899S
Mouse Mono [TC2], 30 ul
Hu, Mo, Pr, Rt
FACS, IF, WB
FACS, IF
Supplier data
Origene
TA501996S
Mouse Poly, 30 ul
Hu, Mo, Rt
FACS, IHC-F, IHC-P, WB
FACS, IHC-F, IHC-P
Supplier data
Origene
TA501877
Mouse Mono [clone 4A10], 100 ul
Hu
FACS, IF, WB
Pyrroline-5-Carboxylate Reductase 2 antibody, TA501877, Origene, Flow Cytometry image  FACS, Pyrroline-5-Carboxylate Reductase 2 antibody, TA501877, Origene, Immunofluorescence image  IF
Supplier data
Origene
TA501899
Mouse Mono [clone 2A5], 100 ul
Hu, Pr
FACS, IF, WB
FACS, Pyrroline-5-Carboxylate Reductase 2 antibody, TA501899, Origene, Immunofluorescence image  IF
Supplier data
Origene
TA501900
Mouse Mono [clone 2A12], 100 ul
Hu
IF, IHC-F, IHC-P, WB
Pyrroline-5-Carboxylate Reductase 2 antibody, TA501900, Origene, Immunofluorescence image  IF, IHC-F, IHC-P
Supplier data
Origene
TA501898
Mouse Mono [clone 2F11], 100 ul
Hu
IF, WB
Pyrroline-5-Carboxylate Reductase 2 antibody, TA501898, Origene, Immunofluorescence image  IF
Supplier data
Origene
TA501897
Mouse Mono [clone 2B11], 100 ul
Hu
FACS, IF, WB
FACS, Pyrroline-5-Carboxylate Reductase 2 antibody, TA501897, Origene, Immunofluorescence image  IF
Supplier data
Origene
TA501901
Mouse Mono [clone 3D1], 100 ul
Hu
IF, IHC-F, IHC-P, WB
Pyrroline-5-Carboxylate Reductase 2 antibody, TA501901, Origene, Immunofluorescence image  IF, IHC-F, IHC-P
Supplier data
Origene
TA502144
Mouse Mono [clone 5C7], 100 ul
Hu
IF, IHC-F, IHC-P, WB
Pyrroline-5-Carboxylate Reductase 2 antibody, TA502144, Origene, Immunofluorescence image  IF, IHC-F, IHC-P
Supplier data
Origene
TA501876
Mouse Mono [clone 5B7], 100 ul
Hu
IF, WB
Pyrroline-5-Carboxylate Reductase 2 antibody, TA501876, Origene, Immunofluorescence image  IF
Supplier data
Origene
CF501876
Mouse Mono [Clone OTI5B7], 100 ug
Hu
IF, WB
IF
Supplier data
Origene
CF502144
Mouse Mono [Clone OTI5C7], 100 ug
Hu
IF, IHC-F, IHC-P, WB
IF, IHC-F, IHC-P
Supplier data
Origene
CF501901
Mouse Mono [Clone OTI3D1], 100 ug
Hu
AP, IF, IHC-F, IHC-P, WB
AP, IF, IHC-F, IHC-P
Supplier data
Origene
CF501900
Mouse Mono [Clone OTI2A12], 100 ug
Hu
IF, IHC-F, IHC-P, WB
IF, IHC-F, IHC-P
Supplier data
Origene
CF501899
Mouse Mono [Clone OTI2A5], 100 ug
Hu, Pr
AP, IF, WB
AP, IF
Supplier data
Origene
TA334475
Rabbit Poly, 50 ug
Hu
WB
Supplier data
Origene
TA501877S
Mouse Mono [Clone OTI4A10], 30 ul
Hu
AP, IF, WB
AP, IF
Supplier data
Origene
CF501877
Mouse Mono [Clone OTI4A10], 100 ug
Hu
AP, IF, WB
AP, IF
Supplier data
Origene
TA334474
Rabbit Poly, 50 ug
Hu
WB
Supplier data
Origene
CF501897
Mouse Mono [Clone OTI2B11], 100 ug
Hu
AP, IF, WB
AP, IF
Supplier data
Origene
CF501898
Mouse Mono [Clone OTI2F11], 100 ug
Hu
IF, WB
IF
Supplier data
Origene
TA501996
Mouse Mono [clone 4B7], 100 ul
Hu
FACS, IHC-F, IHC-P, WB
FACS, IHC-F, IHC-P
Supplier data
Origene
AP53529PU-N
Rabbit Poly, 400 ul
Hu
WB
Supplier data
Origene
CF501996
Mouse Mono [Clone OTI4B7], 100 ug
Hu
AP, IHC-F, IHC-P, WB
AP, IHC-F, IHC-P
Supplier data
Proteintech Group
17146-1-AP
Rabbit Poly, 150 ul
Hu, Mo, Rt
ELISA, IF, IHC-F, IHC-P, IP, WB
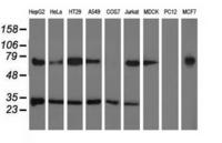
ELISA, Pyrroline-5-Carboxylate Reductase 2 antibody, 17146-1-AP, Proteintech Group, Immunofluorescence image  IF, Pyrroline-5-Carboxylate Reductase 2 antibody, 17146-1-AP, Proteintech Group, Immunohistochemistry frozen image  IHC-F, Pyrroline-5-Carboxylate Reductase 2 antibody, 17146-1-AP, Proteintech Group, Immunohistochemistry paraffin image  IHC-P, Pyrroline-5-Carboxylate Reductase 2 antibody, 17146-1-AP, Proteintech Group, Immunoprecipitation image  IP
Supplier data
Proteintech Group
55060-1-AP
Rabbit Poly, 150 ul
Hu
ELISA, IF, WB
ELISA, Pyrroline-5-Carboxylate Reductase 2 antibody, 55060-1-AP, Proteintech Group, Immunofluorescence image  IF
Supplier data
Novus Biologicals
NBP2-03187
Mouse Mono [3D1], 100 ul
Hu
FACS, ICC, IF, IHC-F, IHC-P, WB
Pyrroline-5-Carboxylate Reductase 2 antibody, NBP2-03187, Novus Biologicals, Flow Cytometry image  FACS, Pyrroline-5-Carboxylate Reductase 2 antibody, NBP2-03187, Novus Biologicals, Immunocytochemistry image  ICC, Pyrroline-5-Carboxylate Reductase 2 antibody, NBP2-03187, Novus Biologicals, Immunofluorescence image  IF, Pyrroline-5-Carboxylate Reductase 2 antibody, NBP2-03187, Novus Biologicals, Immunohistochemistry frozen image  IHC-F, Pyrroline-5-Carboxylate Reductase 2 antibody, NBP2-03187, Novus Biologicals, Immunohistochemistry paraffin image  IHC-P
Supplier data
Novus Biologicals
NBP2-47318
Rabbit Poly, 100 ul
Hu
ICC, IF, IHC-F, IHC-P, WB
Pyrroline-5-Carboxylate Reductase 2 antibody, NBP2-47318, Novus Biologicals, Immunocytochemistry image  ICC, Pyrroline-5-Carboxylate Reductase 2 antibody, NBP2-47318, Novus Biologicals, Immunofluorescence image  IF, Pyrroline-5-Carboxylate Reductase 2 antibody, NBP2-47318, Novus Biologicals, Immunohistochemistry frozen image  IHC-F, Pyrroline-5-Carboxylate Reductase 2 antibody, NBP2-47318, Novus Biologicals, Immunohistochemistry paraffin image  IHC-P
Supplier data
Novus Biologicals
H00029920-D01P
Rabbit Poly, 100 ug
Hu
ELISA, ICC, IF, WB
ELISA, Pyrroline-5-Carboxylate Reductase 2 antibody, H00029920-D01P, Novus Biologicals, Immunocytochemistry image  ICC, Pyrroline-5-Carboxylate Reductase 2 antibody, H00029920-D01P, Novus Biologicals, Immunofluorescence image  IF
Supplier data
Novus Biologicals
H00029920-B02P
Mouse Poly, 50 ug
Hu
ELISA, WB
ELISA
Supplier data
St John's Laboratory
STJ25246
Rabbit Poly, 100 ul
Hu
WB
Supplier data
ABclonal Technology
A15155
Rabbit Poly, 100 ul
Hu, Mo, Rt
WB
Supplier data
Invitrogen Antibodies
MA5-25283
Mouse Mono [OTI3D1], 100 ul
Hu
FACS, ICC, IF, IHC-F, IHC-P, WB
FACS, Pyrroline-5-Carboxylate Reductase 2 antibody, MA5-25283, Invitrogen Antibodies, Immunocytochemistry image  ICC, IF, Pyrroline-5-Carboxylate Reductase 2 antibody, MA5-25283, Invitrogen Antibodies, Immunohistochemistry frozen image  IHC-F, Pyrroline-5-Carboxylate Reductase 2 antibody, MA5-25283, Invitrogen Antibodies, Immunohistochemistry paraffin image  IHC-P
Supplier data
Invitrogen Antibodies
MA5-25282
Mouse Mono [OTI2A12], 100 ul
Hu
ICC, IF, IHC-F, IHC-P, WB
Pyrroline-5-Carboxylate Reductase 2 antibody, MA5-25282, Invitrogen Antibodies, Immunocytochemistry image  ICC, IF, Pyrroline-5-Carboxylate Reductase 2 antibody, MA5-25282, Invitrogen Antibodies, Immunohistochemistry frozen image  IHC-F, Pyrroline-5-Carboxylate Reductase 2 antibody, MA5-25282, Invitrogen Antibodies, Immunohistochemistry paraffin image  IHC-P
Supplier data
Invitrogen Antibodies
PA5-63360
Rabbit Poly, 100 ul
Hu
ICC, IF, IHC-F, IHC-P, WB
ICC, Pyrroline-5-Carboxylate Reductase 2 antibody, PA5-63360, Invitrogen Antibodies, Immunofluorescence image  IF, Pyrroline-5-Carboxylate Reductase 2 antibody, PA5-63360, Invitrogen Antibodies, Immunohistochemistry frozen image  IHC-F, Pyrroline-5-Carboxylate Reductase 2 antibody, PA5-63360, Invitrogen Antibodies, Immunohistochemistry paraffin image  IHC-P
Supplier data
Invitrogen Antibodies
PA5-44241
Rabbit Poly, 100 ul
Bv, Cn, Eq, GP, Hu, Mo, Rb, Rt, Zf
ICC, IF, IHC-F, IHC-P, IP, WB
ICC, IF, Pyrroline-5-Carboxylate Reductase 2 antibody, PA5-44241, Invitrogen Antibodies, Immunohistochemistry frozen image  IHC-F, Pyrroline-5-Carboxylate Reductase 2 antibody, PA5-44241, Invitrogen Antibodies, Immunohistochemistry paraffin image  IHC-P, IP
Supplier data
Invitrogen Antibodies
MA5-25277
Mouse Mono [OTI4A10], 100 ul
Hu
FACS, ICC, IF, WB
FACS, Pyrroline-5-Carboxylate Reductase 2 antibody, MA5-25277, Invitrogen Antibodies, Immunocytochemistry image  ICC, IF
Supplier data
Lifespan Biosciences
LS-C172415
Mouse Mono [3D1], 1 Vial
Hu
FACS, IF, IHC-F, IHC-P, WB
Pyrroline-5-Carboxylate Reductase 2 antibody, LS-C172415, Lifespan Biosciences, Flow Cytometry image  FACS, Pyrroline-5-Carboxylate Reductase 2 antibody, LS-C172415, Lifespan Biosciences, Immunofluorescence image  IF, Pyrroline-5-Carboxylate Reductase 2 antibody, LS-C172415, Lifespan Biosciences, Immunohistochemistry frozen image  IHC-F, Pyrroline-5-Carboxylate Reductase 2 antibody, LS-C172415, Lifespan Biosciences, Immunohistochemistry paraffin image  IHC-P
Supplier data
Lifespan Biosciences
LS-C172414
Mouse Mono [2A12], 1 Vial
Hu
IF, IHC-F, IHC-P, WB
Pyrroline-5-Carboxylate Reductase 2 antibody, LS-C172414, Lifespan Biosciences, Immunofluorescence image  IF, Pyrroline-5-Carboxylate Reductase 2 antibody, LS-C172414, Lifespan Biosciences, Immunohistochemistry frozen image  IHC-F, Pyrroline-5-Carboxylate Reductase 2 antibody, LS-C172414, Lifespan Biosciences, Immunohistochemistry paraffin image  IHC-P
Supplier data
Lifespan Biosciences
LS-C172491
Mouse Mono [5C7], 1 Vial
Hu
IF, IHC-F, IHC-P, WB
Pyrroline-5-Carboxylate Reductase 2 antibody, LS-C172491, Lifespan Biosciences, Immunofluorescence image  IF, Pyrroline-5-Carboxylate Reductase 2 antibody, LS-C172491, Lifespan Biosciences, Immunohistochemistry frozen image  IHC-F, Pyrroline-5-Carboxylate Reductase 2 antibody, LS-C172491, Lifespan Biosciences, Immunohistochemistry paraffin image  IHC-P
Supplier data
Invitrogen Antibodies
MA5-25281
Mouse Mono [OTI2A5], 100 ul
Hu
FACS, ICC, IF, WB
FACS, Pyrroline-5-Carboxylate Reductase 2 antibody, MA5-25281, Invitrogen Antibodies, Immunocytochemistry image  ICC, IF
Supplier data
Lifespan Biosciences
LS-C115748
Mouse Mono [4A10], 100 ul
Hu
FACS, IF, WB
Pyrroline-5-Carboxylate Reductase 2 antibody, LS-C115748, Lifespan Biosciences, Flow Cytometry image  FACS, Pyrroline-5-Carboxylate Reductase 2 antibody, LS-C115748, Lifespan Biosciences, Immunofluorescence image  IF
Supplier data
Lifespan Biosciences
LS-C115757
Mouse Mono [2A5], 1 Vial
Hu, Pr
FACS, IF, WB
Pyrroline-5-Carboxylate Reductase 2 antibody, LS-C115757, Lifespan Biosciences, Flow Cytometry image  FACS, Pyrroline-5-Carboxylate Reductase 2 antibody, LS-C115757, Lifespan Biosciences, Immunofluorescence image  IF
Supplier data
ProSci
56-080
Rabbit Poly, 400 ul
Hu
IHC-F, IHC-P, WB
Pyrroline-5-Carboxylate Reductase 2 antibody, 56-080, ProSci, Immunohistochemistry frozen image  IHC-F, Pyrroline-5-Carboxylate Reductase 2 antibody, 56-080, ProSci, Immunohistochemistry paraffin image  IHC-P
Supplier data
Lifespan Biosciences
LS-C162338
Rabbit Poly, 1 Vial
Hu
IHC-F, IHC-P, WB
Pyrroline-5-Carboxylate Reductase 2 antibody, LS-C162338, Lifespan Biosciences, Immunohistochemistry frozen image  IHC-F, Pyrroline-5-Carboxylate Reductase 2 antibody, LS-C162338, Lifespan Biosciences, Immunohistochemistry paraffin image  IHC-P
Supplier data
Lifespan Biosciences
LS-C785276
Mouse Mono [LS-C785276], 1 Vial
Hu
FACS, IHC-F, IHC-P, WB
FACS, Pyrroline-5-Carboxylate Reductase 2 antibody, LS-C785276, Lifespan Biosciences, Immunohistochemistry frozen image  IHC-F, Pyrroline-5-Carboxylate Reductase 2 antibody, LS-C785276, Lifespan Biosciences, Immunohistochemistry paraffin image  IHC-P
Supplier data
Lifespan Biosciences
LS-C337152
Mouse Mono [OTI4B7], 1 Vial
Hu
FACS, IHC-F, IHC-P, WB
FACS, Pyrroline-5-Carboxylate Reductase 2 antibody, LS-C337152, Lifespan Biosciences, Immunohistochemistry frozen image  IHC-F, Pyrroline-5-Carboxylate Reductase 2 antibody, LS-C337152, Lifespan Biosciences, Immunohistochemistry paraffin image  IHC-P
Supplier data
Lifespan Biosciences
LS-C115756
Mouse Mono [2F11], 1 Vial

IF, WB
Pyrroline-5-Carboxylate Reductase 2 antibody, LS-C115756, Lifespan Biosciences, Immunofluorescence image  IF
Supplier data
Lifespan Biosciences
LS-C172407
Mouse Mono [5B7], 1 Vial
Hu
IF, WB
Pyrroline-5-Carboxylate Reductase 2 antibody, LS-C172407, Lifespan Biosciences, Immunofluorescence image  IF
Supplier data
Lifespan Biosciences
LS-C785192
Mouse Mono [LS-C785192], 1 Vial
Hu
FACS, IF, WB
FACS, Pyrroline-5-Carboxylate Reductase 2 antibody, LS-C785192, Lifespan Biosciences, Immunofluorescence image  IF
Supplier data
Lifespan Biosciences
LS-C337148
Mouse Mono [OTI2B11], 1 Vial
Hu
FACS, IF, WB
FACS, Pyrroline-5-Carboxylate Reductase 2 antibody, LS-C337148, Lifespan Biosciences, Immunofluorescence image  IF
Supplier data
Lifespan Biosciences
LS-C750128
Rabbit Poly, 1 Vial
Hu, Mo, Rt
WB