2 million antibody products . Find yours today
View products

50 matching Ubiquitin Conjugating Enzyme E2 G2 monoclonal antibodies from 4 suppliers

Superstar Kits

Ubiquitin Conjugating Enzyme E2 G2 information

Aliases

Ubiquitin Conjugating Enzyme E2 G2 is also known as UB2G2, UBE2G2, Ube2g2 Ubc7, Ubiquitin carrier protein G2, Ubiquitin-protein ligase G2

6 Applications, 7 Species currently selected


View matching ELISA Kits

Ubiquitin Conjugating Enzyme E2 G2 monoclonal antibodies

50 Ubiquitin Conjugating Enzyme E2 G2 monoclonal antibodies from 4 antibody suppliers Click each Ubiquitin Conjugating Enzyme E2 G2 monoclonal antibody that interests you to view the full Ubiquitin Conjugating Enzyme E2 G2 monoclonal antibody datasheet.

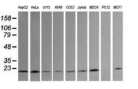
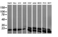
Western Blot - Use Filter to switch application

Supplier data
Origene
TA505238BM
Mouse Mono [OTI1H7], 100 ul
Hu, Mo, Rt
IF, IHC-F, IHC-P, WB
IF, IHC-F, IHC-P
Supplier data
Origene
TA505238S
Mouse Mono [OTI1H7], 30 ul
Hu, Mo, Rt
IF, IHC-F, IHC-P, WB
IF, IHC-F, IHC-P
Supplier data
Origene
TA505238AM
Mouse Mono [OTI1H7], 100 ul
Hu, Mo, Rt
IF, IHC-F, IHC-P, WB
IF, IHC-F, IHC-P
Supplier data
Origene
TA505263AM
Mouse Mono [OTI5A5], 100 ul
Cn, Hu, Mo, Pr, Rt
IF, IHC-F, IHC-P, WB
IF, IHC-F, IHC-P
Supplier data
Origene
TA505286AM
Mouse Mono [OTI1E7], 100 ul
Cn, Hu, Mo, Pr, Rt
IF, IHC-F, IHC-P, WB
IF, IHC-F, IHC-P
Supplier data
Novus Biologicals
H00007327-M01
Mouse Mono [5E1], 100 ug
Hu
ELISA, IHC-F, IHC-P, WB
Ubiquitin Conjugating Enzyme E2 G2 antibody, H00007327-M01, Novus Biologicals, Enzyme Linked Immunosorbent Assay image  ELISA, Ubiquitin Conjugating Enzyme E2 G2 antibody, H00007327-M01, Novus Biologicals, Immunohistochemistry frozen image  IHC-F, Ubiquitin Conjugating Enzyme E2 G2 antibody, H00007327-M01, Novus Biologicals, Immunohistochemistry paraffin image  IHC-P
Supplier data
Novus Biologicals
NBP2-46278
Mouse Mono [1B10], 100 ul
Hu
IF, IHC-F, IHC-P, WB
Ubiquitin Conjugating Enzyme E2 G2 antibody, NBP2-46278, Novus Biologicals, Immunofluorescence image  IF, Ubiquitin Conjugating Enzyme E2 G2 antibody, NBP2-46278, Novus Biologicals, Immunohistochemistry frozen image  IHC-F, Ubiquitin Conjugating Enzyme E2 G2 antibody, NBP2-46278, Novus Biologicals, Immunohistochemistry paraffin image  IHC-P
Supplier data
Invitrogen Antibodies
MA5-26096
Mouse Mono [OTI4D6], 100 ul
Cn, Hu, Mo, Rt
ICC, IF, IHC-F, IHC-P, WB
Ubiquitin Conjugating Enzyme E2 G2 antibody, MA5-26096, Invitrogen Antibodies, Immunocytochemistry image  ICC, IF, Ubiquitin Conjugating Enzyme E2 G2 antibody, MA5-26096, Invitrogen Antibodies, Immunohistochemistry frozen image  IHC-F, Ubiquitin Conjugating Enzyme E2 G2 antibody, MA5-26096, Invitrogen Antibodies, Immunohistochemistry paraffin image  IHC-P
Supplier data
Origene
TA505288AM
Mouse Mono [OTI3D1], 100 ul
Hu, Mo, Rt
IF, IHC-F, IHC-P, WB
IF, IHC-F, IHC-P
Supplier data
Origene
TA505261BM
Mouse Mono [OTI1E7], 100 ul
Cn, Hu, Mo, Pr, Rt
IF, IHC-F, IHC-P, WB
IF, IHC-F, IHC-P
Supplier data
Origene
TA505286S
Mouse Mono [OTI3D1], 30 ul
Cn, Hu, Mo, Pr, Rt
IF, IHC-F, IHC-P, WB
IF, IHC-F, IHC-P
Supplier data
Origene
TA505288BM
Mouse Mono [OTI3D1], 100 ul
Hu, Mo, Rt
IF, IHC-F, IHC-P, WB
IF, IHC-F, IHC-P
Supplier data
Origene
TA505262AM
Mouse Mono [OTI2C5], 100 ul
Cn, Hu, Mo, Pr, Rt
IF, IHC-F, IHC-P, WB
IF, IHC-F, IHC-P
Supplier data
Origene
TA505288S
Mouse Mono [OTI3B1], 30 ul
Hu, Mo, Rt
IF, IHC-F, IHC-P, WB
IF, IHC-F, IHC-P
Supplier data
Origene
TA505261S
Mouse Mono [OTI3D1], 30 ul
Cn, Hu, Mo, Pr, Rt
IF, IHC-F, IHC-P, WB
IF, IHC-F, IHC-P
Supplier data
Origene
TA505286BM
Mouse Mono [OTI1E7], 100 ul
Cn, Hu, Mo, Pr, Rt
IF, IHC-F, IHC-P, WB
IF, IHC-F, IHC-P
Supplier data
Origene
TA505262BM
Mouse Mono [OTI1A6], 100 ul
Cn, Hu, Mo, Pr, Rt
IF, IHC-F, IHC-P, WB
IF, IHC-F, IHC-P
Supplier data
Origene
TA505262S
Mouse Mono [OTI1C6], 30 ul
Cn, Hu, Mo, Pr, Rt
IF, IHC-F, IHC-P, WB
IF, IHC-F, IHC-P
Supplier data
Origene
CF505260
Mouse Mono [Clone OTI4E12], 100 ug
Hu
IF, IHC-F, IHC-P, WB
IF, IHC-F, IHC-P
Supplier data
Origene
CF505259
Mouse Mono [Clone OTI1B10], 100 ug
Cn, Hu, Mo, Pr
IF, IHC-F, IHC-P, WB
IF, IHC-F, IHC-P
Supplier data
Origene
TA505262
Mouse Mono [OTI1G10], 100 ul
Cn, Hu, Mo, Pr, Rt
IF, IHC-F, WB
IF, IHC-F
Supplier data
Origene
TA505238
Mouse Mono [Clone 4D4], 100 ul
Hu
IF, IHC-P, WB
IF, IHC-P
Supplier data
Origene
TA505259
Mouse Mono [OTI1B10], 100 ul
Cn, Hu, Mo, Pr
IF, IHC-F, WB
IF, IHC-F
Supplier data
Origene
CF505239
Mouse Mono [Clone OTI5F1], 100 ug
Cn, Hu, Mo, Pr, Rt
IF, IHC-F, IHC-P, WB
IF, IHC-F, IHC-P
Supplier data
Origene
TA505286
Mouse Mono [Clone 4A12], 100 ul
Cn, Hu, Mo, Pr, Rt
IF, IHC-P, WB
IF, IHC-P
Supplier data
Origene
CF505286
Mouse Mono [Clone OTI4A12], 100 ug
Cn, Hu, Mo, Pr, Rt
IF, IHC-F, IHC-P, WB
IF, IHC-F, IHC-P
Supplier data
Origene
CF505261
Mouse Mono [Clone OTI1D2], 100 ug
Cn, Hu, Mo, Pr, Rt
IF, IHC-F, IHC-P, WB
IF, IHC-F, IHC-P
Supplier data
Origene
TA505263
Mouse Mono [Clone 4D6], 100 ul
Cn, Hu, Mo, Pr, Rt
IF, IHC-P, WB
IF, IHC-P
Supplier data
Origene
CF505238
Mouse Mono [Clone OTI4D4], 100 ug
Hu
IF, IHC-F, IHC-P, WB
IF, IHC-F, IHC-P
Supplier data
Origene
TA505260
Mouse Mono [OTI4E12], 100 ul
Hu
IF, IHC-F, WB
IF, IHC-F
Supplier data
Origene
CF505288
Mouse Mono [Clone OTI9F2], 100 ug
Hu
IF, IHC-F, IHC-P, WB
IF, IHC-F, IHC-P
Supplier data
Origene
TA505261
Mouse Mono [OTI1D2], 100 ul
Cn, Hu, Mo, Pr, Rt
IF, IHC-F, WB
IF, IHC-F
Supplier data
Origene
CF505258
Mouse Mono [Clone OTI1D7], 100 ug
Cn, Hu, Mo, Pr
IF, IHC-F, IHC-P, WB
IF, IHC-F, IHC-P
Supplier data
Origene
TA505288
Mouse Mono [Clone 9F2], 100 ul
Hu
IF, IHC-P, WB
IF, IHC-P
Supplier data
Origene
CF505263
Mouse Mono [Clone OTI4D6], 100 ug
Cn, Hu, Mo, Pr, Rt
IF, IHC-F, IHC-P, WB
IF, IHC-F, IHC-P
Supplier data
Origene
TA505263S
Mouse Mono [Clone OTI4D6], 30 ul
Cn, Hu, Mo, Pr, Rt
IF, IHC-F, IHC-P, WB
IF, IHC-F, IHC-P
Supplier data
Origene
TA505258
Mouse Mono [Clone 1D7], 100 ul
Cn, Hu, Mo, Pr
IF, IHC-P, WB
IF, IHC-P
Supplier data
Origene
CF505262
Mouse Mono [Clone OTI1G10], 100 ug
Cn, Hu, Mo, Pr, Rt
IF, IHC-F, IHC-P, WB
IF, IHC-F, IHC-P
Supplier data
Origene
TA505239
Mouse Mono [Clone 5F1], 100 ul
Cn, Hu, Mo, Pr, Rt
IF, IHC-P, WB
IF, IHC-P
Supplier data
Invitrogen Antibodies
MA5-26095
Mouse Mono [OTI1G10], 100 ul
Cn, Hu, Mo, Rt
ICC, IF, IHC-F, IHC-P, WB
Ubiquitin Conjugating Enzyme E2 G2 antibody, MA5-26095, Invitrogen Antibodies, Immunocytochemistry image  ICC, IF, Ubiquitin Conjugating Enzyme E2 G2 antibody, MA5-26095, Invitrogen Antibodies, Immunohistochemistry frozen image  IHC-F, Ubiquitin Conjugating Enzyme E2 G2 antibody, MA5-26095, Invitrogen Antibodies, Immunohistochemistry paraffin image  IHC-P
Supplier data
Invitrogen Antibodies
MA5-26094
Mouse Mono [OTI4E12], 100 ul
Hu
ICC, IF, IHC-F, IHC-P, WB
Ubiquitin Conjugating Enzyme E2 G2 antibody, MA5-26094, Invitrogen Antibodies, Immunocytochemistry image  ICC, IF, Ubiquitin Conjugating Enzyme E2 G2 antibody, MA5-26094, Invitrogen Antibodies, Immunohistochemistry frozen image  IHC-F, Ubiquitin Conjugating Enzyme E2 G2 antibody, MA5-26094, Invitrogen Antibodies, Immunohistochemistry paraffin image  IHC-P
Supplier data
Lifespan Biosciences
LS-B10428
Mouse Mono [4D6], 1 Vial
Cn, Hu, Mo, Pr, Rt
IF, IHC-F, IHC-P, WB
Ubiquitin Conjugating Enzyme E2 G2 antibody, LS-B10428, Lifespan Biosciences, Immunofluorescence image  IF, Ubiquitin Conjugating Enzyme E2 G2 antibody, LS-B10428, Lifespan Biosciences, Immunohistochemistry frozen image  IHC-F, Ubiquitin Conjugating Enzyme E2 G2 antibody, LS-B10428, Lifespan Biosciences, Immunohistochemistry paraffin image  IHC-P
Supplier data
Lifespan Biosciences
LS-C174163
Mouse Mono [9F2], 1 Vial
Hu
IF, IHC-F, IHC-P, WB
Ubiquitin Conjugating Enzyme E2 G2 antibody, LS-C174163, Lifespan Biosciences, Immunofluorescence image  IF, Ubiquitin Conjugating Enzyme E2 G2 antibody, LS-C174163, Lifespan Biosciences, Immunohistochemistry frozen image  IHC-F, Ubiquitin Conjugating Enzyme E2 G2 antibody, LS-C174163, Lifespan Biosciences, Immunohistochemistry paraffin image  IHC-P
Supplier data
Lifespan Biosciences
LS-C174251
Mouse Mono [1D7], 1 Vial
Cn, Hu, Mo, Pr
IF, IHC-F, IHC-P, WB
Ubiquitin Conjugating Enzyme E2 G2 antibody, LS-C174251, Lifespan Biosciences, Immunofluorescence image  IF, Ubiquitin Conjugating Enzyme E2 G2 antibody, LS-C174251, Lifespan Biosciences, Immunohistochemistry frozen image  IHC-F, Ubiquitin Conjugating Enzyme E2 G2 antibody, LS-C174251, Lifespan Biosciences, Immunohistochemistry paraffin image  IHC-P
Supplier data
Lifespan Biosciences
LS-C174253
Mouse Mono [1D2], 1 Vial
Cn, Hu, Mo, Pr, Rt
IF, IHC-F, IHC-P, WB
Ubiquitin Conjugating Enzyme E2 G2 antibody, LS-C174253, Lifespan Biosciences, Immunofluorescence image  IF, Ubiquitin Conjugating Enzyme E2 G2 antibody, LS-C174253, Lifespan Biosciences, Immunohistochemistry frozen image  IHC-F, Ubiquitin Conjugating Enzyme E2 G2 antibody, LS-C174253, Lifespan Biosciences, Immunohistochemistry paraffin image  IHC-P
Supplier data
Lifespan Biosciences
LS-C174252
Mouse Mono [4.00E+12], 1 Vial
Hu
IF, IHC-F, IHC-P, WB
Ubiquitin Conjugating Enzyme E2 G2 antibody, LS-C174252, Lifespan Biosciences, Immunofluorescence image  IF, Ubiquitin Conjugating Enzyme E2 G2 antibody, LS-C174252, Lifespan Biosciences, Immunohistochemistry frozen image  IHC-F, Ubiquitin Conjugating Enzyme E2 G2 antibody, LS-C174252, Lifespan Biosciences, Immunohistochemistry paraffin image  IHC-P
Supplier data
Cell Signaling Technology
63182S
Rabbit Mono [63182S], 100 ul
Bv, Ha, Hu, Pr, Rt
WB
Supplier data
Lifespan Biosciences
LS-C174254
Mouse Mono [1G10], 1 Vial
Cn, Hu, Mo, Pr, Rt
IF, IHC-F, IHC-P, WB
Ubiquitin Conjugating Enzyme E2 G2 antibody, LS-C174254, Lifespan Biosciences, Immunofluorescence image  IF, Ubiquitin Conjugating Enzyme E2 G2 antibody, LS-C174254, Lifespan Biosciences, Immunohistochemistry frozen image  IHC-F, Ubiquitin Conjugating Enzyme E2 G2 antibody, LS-C174254, Lifespan Biosciences, Immunohistochemistry paraffin image  IHC-P
Supplier data
Lifespan Biosciences
LS-C787501
Mouse Mono [LS-C787501], 1 Vial
Cn, Hu, Mo, Pr, Rt
IF, IHC-F, IHC-P, WB
Ubiquitin Conjugating Enzyme E2 G2 antibody, LS-C787501, Lifespan Biosciences, Immunofluorescence image  IF, Ubiquitin Conjugating Enzyme E2 G2 antibody, LS-C787501, Lifespan Biosciences, Immunohistochemistry frozen image  IHC-F, Ubiquitin Conjugating Enzyme E2 G2 antibody, LS-C787501, Lifespan Biosciences, Immunohistochemistry paraffin image  IHC-P
Supplier data
Lifespan Biosciences
LS-C787523
Mouse Mono [LS-C787523], 1 Vial
Cn, Hu, Mo, Pr, Rt
IF, IHC-F, IHC-P, WB
Ubiquitin Conjugating Enzyme E2 G2 antibody, LS-C787523, Lifespan Biosciences, Immunofluorescence image  IF, Ubiquitin Conjugating Enzyme E2 G2 antibody, LS-C787523, Lifespan Biosciences, Immunohistochemistry frozen image  IHC-F, Ubiquitin Conjugating Enzyme E2 G2 antibody, LS-C787523, Lifespan Biosciences, Immunohistochemistry paraffin image  IHC-P
Supplier data
Lifespan Biosciences
LS-C787515
Mouse Mono [LS-C787515], 1 Vial
Cn, Hu, Mo, Pr
IF, IHC-F, IHC-P, WB
Ubiquitin Conjugating Enzyme E2 G2 antibody, LS-C787515, Lifespan Biosciences, Immunofluorescence image  IF, Ubiquitin Conjugating Enzyme E2 G2 antibody, LS-C787515, Lifespan Biosciences, Immunohistochemistry frozen image  IHC-F, Ubiquitin Conjugating Enzyme E2 G2 antibody, LS-C787515, Lifespan Biosciences, Immunohistochemistry paraffin image  IHC-P
Supplier data
Lifespan Biosciences
LS-C799975
Mouse Mono [LS-C799975], 1 Vial
Hu
IF, IHC-F, IHC-P, WB
Ubiquitin Conjugating Enzyme E2 G2 antibody, LS-C799975, Lifespan Biosciences, Immunofluorescence image  IF, Ubiquitin Conjugating Enzyme E2 G2 antibody, LS-C799975, Lifespan Biosciences, Immunohistochemistry frozen image  IHC-F, Ubiquitin Conjugating Enzyme E2 G2 antibody, LS-C799975, Lifespan Biosciences, Immunohistochemistry paraffin image  IHC-P
Supplier data
Lifespan Biosciences
LS-C133507
Mouse Mono [5.00E+01], 1 Vial
Hu
ELISA, IHC-F, IHC-P, WB
Ubiquitin Conjugating Enzyme E2 G2 antibody, LS-C133507, Lifespan Biosciences, Enzyme Linked Immunosorbent Assay image  ELISA, Ubiquitin Conjugating Enzyme E2 G2 antibody, LS-C133507, Lifespan Biosciences, Immunohistochemistry frozen image  IHC-F, Ubiquitin Conjugating Enzyme E2 G2 antibody, LS-C133507, Lifespan Biosciences, Immunohistochemistry paraffin image  IHC-P
Supplier data
Lifespan Biosciences
LS-C337838
Mouse Mono [OTI5F1], 1 Vial
Cn, Hu, Mo, Pr, Rt
IF, IHC-F, IHC-P, WB
Ubiquitin Conjugating Enzyme E2 G2 antibody, LS-C337838, Lifespan Biosciences, Immunofluorescence image  IF, Ubiquitin Conjugating Enzyme E2 G2 antibody, LS-C337838, Lifespan Biosciences, Immunohistochemistry frozen image  IHC-F, Ubiquitin Conjugating Enzyme E2 G2 antibody, LS-C337838, Lifespan Biosciences, Immunohistochemistry paraffin image  IHC-P
Supplier data
Lifespan Biosciences
LS-C337836
Mouse Mono [OTI4D4], 1 Vial
Hu
IF, IHC-F, IHC-P, WB
Ubiquitin Conjugating Enzyme E2 G2 antibody, LS-C337836, Lifespan Biosciences, Immunofluorescence image  IF, Ubiquitin Conjugating Enzyme E2 G2 antibody, LS-C337836, Lifespan Biosciences, Immunohistochemistry frozen image  IHC-F, Ubiquitin Conjugating Enzyme E2 G2 antibody, LS-C337836, Lifespan Biosciences, Immunohistochemistry paraffin image  IHC-P
Supplier data
Lifespan Biosciences
LS-C337845
Mouse Mono [OTI1B10], 1 Vial
Cn, Hu, Mo, Pr
IF, IHC-F, IHC-P, WB
Ubiquitin Conjugating Enzyme E2 G2 antibody, LS-C337845, Lifespan Biosciences, Immunofluorescence image  IF, Ubiquitin Conjugating Enzyme E2 G2 antibody, LS-C337845, Lifespan Biosciences, Immunohistochemistry frozen image  IHC-F, Ubiquitin Conjugating Enzyme E2 G2 antibody, LS-C337845, Lifespan Biosciences, Immunohistochemistry paraffin image  IHC-P
Supplier data
Lifespan Biosciences
LS-C337846
Mouse Mono [OTI4A12], 1 Vial
Cn, Hu, Mo, Pr, Rt
IF, IHC-F, IHC-P, WB
Ubiquitin Conjugating Enzyme E2 G2 antibody, LS-C337846, Lifespan Biosciences, Immunofluorescence image  IF, Ubiquitin Conjugating Enzyme E2 G2 antibody, LS-C337846, Lifespan Biosciences, Immunohistochemistry frozen image  IHC-F, Ubiquitin Conjugating Enzyme E2 G2 antibody, LS-C337846, Lifespan Biosciences, Immunohistochemistry paraffin image  IHC-P
Supplier data
Boster Biological Technology
M07427-1
Mouse Mono [OTI1D2], 100 ul
Cn, Hu, Mo, Pr, Rt
IF, IHC-F, IHC-P, WB
Ubiquitin Conjugating Enzyme E2 G2 antibody, M07427-1, Boster Biological Technology, Immunofluorescence image  IF, IHC-F, Ubiquitin Conjugating Enzyme E2 G2 antibody, M07427-1, Boster Biological Technology, Immunohistochemistry paraffin image  IHC-P
Supplier data
Boster Biological Technology
M07427
Mouse Mono [OTI1B10], 100 ul
Cn, Hu, Mo, Pr
IF, IHC-F, IHC-P, WB
Ubiquitin Conjugating Enzyme E2 G2 antibody, M07427, Boster Biological Technology, Immunofluorescence image  IF, IHC-F, Ubiquitin Conjugating Enzyme E2 G2 antibody, M07427, Boster Biological Technology, Immunohistochemistry paraffin image  IHC-P

Immunofluorescence

Supplier data
Novus Biologicals
NBP2-46278
Mouse Mono [1B10], 100 ul
Hu
IF, IHC-F, IHC-P, WB
Ubiquitin Conjugating Enzyme E2 G2 antibody, NBP2-46278, Novus Biologicals, Immunohistochemistry frozen image  IHC-F, Ubiquitin Conjugating Enzyme E2 G2 antibody, NBP2-46278, Novus Biologicals, Immunohistochemistry paraffin image  IHC-P, Ubiquitin Conjugating Enzyme E2 G2 antibody, NBP2-46278, Novus Biologicals, Western Blot image  WB
Supplier data
Lifespan Biosciences
LS-B10428
Mouse Mono [4D6], 1 Vial
Cn, Hu, Mo, Pr, Rt
IF, IHC-F, IHC-P, WB
Ubiquitin Conjugating Enzyme E2 G2 antibody, LS-B10428, Lifespan Biosciences, Immunohistochemistry frozen image  IHC-F, Ubiquitin Conjugating Enzyme E2 G2 antibody, LS-B10428, Lifespan Biosciences, Immunohistochemistry paraffin image  IHC-P, Ubiquitin Conjugating Enzyme E2 G2 antibody, LS-B10428, Lifespan Biosciences, Western Blot image  WB
Supplier data
Lifespan Biosciences
LS-C174163
Mouse Mono [9F2], 1 Vial
Hu
IF, IHC-F, IHC-P, WB
Ubiquitin Conjugating Enzyme E2 G2 antibody, LS-C174163, Lifespan Biosciences, Immunohistochemistry frozen image  IHC-F, Ubiquitin Conjugating Enzyme E2 G2 antibody, LS-C174163, Lifespan Biosciences, Immunohistochemistry paraffin image  IHC-P, Ubiquitin Conjugating Enzyme E2 G2 antibody, LS-C174163, Lifespan Biosciences, Western Blot image  WB
Supplier data
Lifespan Biosciences
LS-C174251
Mouse Mono [1D7], 1 Vial
Cn, Hu, Mo, Pr
IF, IHC-F, IHC-P, WB
Ubiquitin Conjugating Enzyme E2 G2 antibody, LS-C174251, Lifespan Biosciences, Immunohistochemistry frozen image  IHC-F, Ubiquitin Conjugating Enzyme E2 G2 antibody, LS-C174251, Lifespan Biosciences, Immunohistochemistry paraffin image  IHC-P, Ubiquitin Conjugating Enzyme E2 G2 antibody, LS-C174251, Lifespan Biosciences, Western Blot image  WB
Supplier data
Lifespan Biosciences
LS-C174253
Mouse Mono [1D2], 1 Vial
Cn, Hu, Mo, Pr, Rt
IF, IHC-F, IHC-P, WB
Ubiquitin Conjugating Enzyme E2 G2 antibody, LS-C174253, Lifespan Biosciences, Immunohistochemistry frozen image  IHC-F, Ubiquitin Conjugating Enzyme E2 G2 antibody, LS-C174253, Lifespan Biosciences, Immunohistochemistry paraffin image  IHC-P, Ubiquitin Conjugating Enzyme E2 G2 antibody, LS-C174253, Lifespan Biosciences, Western Blot image  WB
Supplier data
Lifespan Biosciences
LS-C174252
Mouse Mono [4.00E+12], 1 Vial
Hu
IF, IHC-F, IHC-P, WB
Ubiquitin Conjugating Enzyme E2 G2 antibody, LS-C174252, Lifespan Biosciences, Immunohistochemistry frozen image  IHC-F, Ubiquitin Conjugating Enzyme E2 G2 antibody, LS-C174252, Lifespan Biosciences, Immunohistochemistry paraffin image  IHC-P, Ubiquitin Conjugating Enzyme E2 G2 antibody, LS-C174252, Lifespan Biosciences, Western Blot image  WB
Supplier data
Boster Biological Technology
M07427-1
Mouse Mono [OTI1D2], 100 ul
Cn, Hu, Mo, Pr, Rt
IF, IHC-F, IHC-P, WB
IHC-F, Ubiquitin Conjugating Enzyme E2 G2 antibody, M07427-1, Boster Biological Technology, Immunohistochemistry paraffin image  IHC-P, Ubiquitin Conjugating Enzyme E2 G2 antibody, M07427-1, Boster Biological Technology, Western Blot image  WB
Supplier data
Boster Biological Technology
M07427
Mouse Mono [OTI1B10], 100 ul
Cn, Hu, Mo, Pr
IF, IHC-F, IHC-P, WB
IHC-F, Ubiquitin Conjugating Enzyme E2 G2 antibody, M07427, Boster Biological Technology, Immunohistochemistry paraffin image  IHC-P, Ubiquitin Conjugating Enzyme E2 G2 antibody, M07427, Boster Biological Technology, Western Blot image  WB
Supplier data
Lifespan Biosciences
LS-C174254
Mouse Mono [1G10], 1 Vial
Cn, Hu, Mo, Pr, Rt
IF, IHC-F, IHC-P, WB
Ubiquitin Conjugating Enzyme E2 G2 antibody, LS-C174254, Lifespan Biosciences, Immunohistochemistry frozen image  IHC-F, Ubiquitin Conjugating Enzyme E2 G2 antibody, LS-C174254, Lifespan Biosciences, Immunohistochemistry paraffin image  IHC-P, Ubiquitin Conjugating Enzyme E2 G2 antibody, LS-C174254, Lifespan Biosciences, Western Blot image  WB
Supplier data
Lifespan Biosciences
LS-C787501
Mouse Mono [LS-C787501], 1 Vial
Cn, Hu, Mo, Pr, Rt
IF, IHC-F, IHC-P, WB
Ubiquitin Conjugating Enzyme E2 G2 antibody, LS-C787501, Lifespan Biosciences, Immunohistochemistry frozen image  IHC-F, Ubiquitin Conjugating Enzyme E2 G2 antibody, LS-C787501, Lifespan Biosciences, Immunohistochemistry paraffin image  IHC-P, Ubiquitin Conjugating Enzyme E2 G2 antibody, LS-C787501, Lifespan Biosciences, Western Blot image  WB
Supplier data
Lifespan Biosciences
LS-C787523
Mouse Mono [LS-C787523], 1 Vial
Cn, Hu, Mo, Pr, Rt
IF, IHC-F, IHC-P, WB
Ubiquitin Conjugating Enzyme E2 G2 antibody, LS-C787523, Lifespan Biosciences, Immunohistochemistry frozen image  IHC-F, Ubiquitin Conjugating Enzyme E2 G2 antibody, LS-C787523, Lifespan Biosciences, Immunohistochemistry paraffin image  IHC-P, Ubiquitin Conjugating Enzyme E2 G2 antibody, LS-C787523, Lifespan Biosciences, Western Blot image  WB
Supplier data
Lifespan Biosciences
LS-C787515
Mouse Mono [LS-C787515], 1 Vial
Cn, Hu, Mo, Pr
IF, IHC-F, IHC-P, WB
Ubiquitin Conjugating Enzyme E2 G2 antibody, LS-C787515, Lifespan Biosciences, Immunohistochemistry frozen image  IHC-F, Ubiquitin Conjugating Enzyme E2 G2 antibody, LS-C787515, Lifespan Biosciences, Immunohistochemistry paraffin image  IHC-P, Ubiquitin Conjugating Enzyme E2 G2 antibody, LS-C787515, Lifespan Biosciences, Western Blot image  WB
Supplier data
Lifespan Biosciences
LS-C799975
Mouse Mono [LS-C799975], 1 Vial
Hu
IF, IHC-F, IHC-P, WB
Ubiquitin Conjugating Enzyme E2 G2 antibody, LS-C799975, Lifespan Biosciences, Immunohistochemistry frozen image  IHC-F, Ubiquitin Conjugating Enzyme E2 G2 antibody, LS-C799975, Lifespan Biosciences, Immunohistochemistry paraffin image  IHC-P, Ubiquitin Conjugating Enzyme E2 G2 antibody, LS-C799975, Lifespan Biosciences, Western Blot image  WB
Supplier data
Lifespan Biosciences
LS-C337838
Mouse Mono [OTI5F1], 1 Vial
Cn, Hu, Mo, Pr, Rt
IF, IHC-F, IHC-P, WB
Ubiquitin Conjugating Enzyme E2 G2 antibody, LS-C337838, Lifespan Biosciences, Immunohistochemistry frozen image  IHC-F, Ubiquitin Conjugating Enzyme E2 G2 antibody, LS-C337838, Lifespan Biosciences, Immunohistochemistry paraffin image  IHC-P, Ubiquitin Conjugating Enzyme E2 G2 antibody, LS-C337838, Lifespan Biosciences, Western Blot image  WB
Supplier data
Lifespan Biosciences
LS-C337836
Mouse Mono [OTI4D4], 1 Vial
Hu
IF, IHC-F, IHC-P, WB
Ubiquitin Conjugating Enzyme E2 G2 antibody, LS-C337836, Lifespan Biosciences, Immunohistochemistry frozen image  IHC-F, Ubiquitin Conjugating Enzyme E2 G2 antibody, LS-C337836, Lifespan Biosciences, Immunohistochemistry paraffin image  IHC-P, Ubiquitin Conjugating Enzyme E2 G2 antibody, LS-C337836, Lifespan Biosciences, Western Blot image  WB
Supplier data
Lifespan Biosciences
LS-C337845
Mouse Mono [OTI1B10], 1 Vial
Cn, Hu, Mo, Pr
IF, IHC-F, IHC-P, WB
Ubiquitin Conjugating Enzyme E2 G2 antibody, LS-C337845, Lifespan Biosciences, Immunohistochemistry frozen image  IHC-F, Ubiquitin Conjugating Enzyme E2 G2 antibody, LS-C337845, Lifespan Biosciences, Immunohistochemistry paraffin image  IHC-P, Ubiquitin Conjugating Enzyme E2 G2 antibody, LS-C337845, Lifespan Biosciences, Western Blot image  WB
Supplier data
Lifespan Biosciences
LS-C337846
Mouse Mono [OTI4A12], 1 Vial
Cn, Hu, Mo, Pr, Rt
IF, IHC-F, IHC-P, WB
Ubiquitin Conjugating Enzyme E2 G2 antibody, LS-C337846, Lifespan Biosciences, Immunohistochemistry frozen image  IHC-F, Ubiquitin Conjugating Enzyme E2 G2 antibody, LS-C337846, Lifespan Biosciences, Immunohistochemistry paraffin image  IHC-P, Ubiquitin Conjugating Enzyme E2 G2 antibody, LS-C337846, Lifespan Biosciences, Western Blot image  WB

Immunohistochemistry paraffin

Supplier data
Novus Biologicals
H00007327-M01
Mouse Mono [5E1], 100 ug
Hu
ELISA, IHC-F, IHC-P, WB
Ubiquitin Conjugating Enzyme E2 G2 antibody, H00007327-M01, Novus Biologicals, Enzyme Linked Immunosorbent Assay image  ELISA, Ubiquitin Conjugating Enzyme E2 G2 antibody, H00007327-M01, Novus Biologicals, Immunohistochemistry frozen image  IHC-F, Ubiquitin Conjugating Enzyme E2 G2 antibody, H00007327-M01, Novus Biologicals, Western Blot image  WB
Supplier data
Novus Biologicals
NBP2-46278
Mouse Mono [1B10], 100 ul
Hu
IF, IHC-F, IHC-P, WB
Ubiquitin Conjugating Enzyme E2 G2 antibody, NBP2-46278, Novus Biologicals, Immunofluorescence image  IF, Ubiquitin Conjugating Enzyme E2 G2 antibody, NBP2-46278, Novus Biologicals, Immunohistochemistry frozen image  IHC-F, Ubiquitin Conjugating Enzyme E2 G2 antibody, NBP2-46278, Novus Biologicals, Western Blot image  WB

Related antibodies

Ubiquitin Conjugating Enzyme E2 G2 antibodies are often published withAssociated citations
Derlin 150.0%
c-Myc50.0%