2 million antibody products . Find yours today
View products

33 matching Kelch Repeat And BTB Domain Containing 7 monoclonal antibodies from 4 suppliers

Superstar Kits

Kelch Repeat And BTB Domain Containing 7 information

Aliases

Kelch Repeat And BTB Domain Containing 7 is also known as KBTB7, KBTBD7

4 Applications, 5 Species currently selected

All  None         
  WB External link   IF External link   ICC External link   ELISA External link
Human  External link   39      33      24       7   
Canine  External link   30      32      23   
Rat  External link   30      32      23   
Primate  External link   29      31      22   
Mouse  External link    3       3   

View matching ELISA Kits

Kelch Repeat And BTB Domain Containing 7 monoclonal antibodies

33 Kelch Repeat And BTB Domain Containing 7 monoclonal antibodies from 4 antibody suppliers Click each Kelch Repeat And BTB Domain Containing 7 monoclonal antibody that interests you to view the full Kelch Repeat And BTB Domain Containing 7 monoclonal antibody datasheet.

Western Blot - Use Filter to switch application

Supplier data
Origene
TA501391S
Mouse Mono [OTI6H6], 30 ul
Cn, Hu, Mo, Pr, Rt
IF, WB
IF
Supplier data
Origene
TA501391
Mouse Mono [clone 1G3], 100 ul
Cn, Hu, Pr, Rt
IF, WB
Kelch Repeat And BTB Domain Containing 7 antibody, TA501391, Origene, Immunofluorescence image  IF
Supplier data
Origene
CF501391
Mouse Mono [Clone OTI1G3], 100 ug
Cn, Hu, Pr, Rt
IF, WB
IF
Supplier data
Novus Biologicals
NBP2-02742
Mouse Mono [1G3], 100 ul
Cn, Hu, Pr, Rt
ICC, IF, WB
Kelch Repeat And BTB Domain Containing 7 antibody, NBP2-02742, Novus Biologicals, Immunocytochemistry image  ICC, Kelch Repeat And BTB Domain Containing 7 antibody, NBP2-02742, Novus Biologicals, Immunofluorescence image  IF
Supplier data
MyBioSource
MBS832249
Mouse Mono [1G3], 100 ul
Cn, Hu, Pr, Rt
IF, WB
IF
Supplier data
Lifespan Biosciences
LS-C115380
Mouse Mono [1G3], 1 Vial
Cn, Hu, Pr, Rt
IF, WB
Kelch Repeat And BTB Domain Containing 7 antibody, LS-C115380, Lifespan Biosciences, Immunofluorescence image  IF
Supplier data
Invitrogen Antibodies
MA5-25171
Mouse Mono [OTI1G3], 100 ul
Cn, Hu, Rt
ICC, IF, WB
Kelch Repeat And BTB Domain Containing 7 antibody, MA5-25171, Invitrogen Antibodies, Immunocytochemistry image  ICC, IF
Supplier data
GeneTex
GTX84282
Mouse Mono [1G3], 100 ul
Cn, Hu, Pr, Rt
ICC, IF, WB
Kelch Repeat And BTB Domain Containing 7 antibody, GTX84282, GeneTex, Immunocytochemistry image  ICC, Kelch Repeat And BTB Domain Containing 7 antibody, GTX84282, GeneTex, Immunofluorescence image  IF
Supplier data
Boster Biological Technology
M14135
Mouse Mono [OTI1G3], 100 ul
Cn, Hu, Pr, Rt
IF, WB
Kelch Repeat And BTB Domain Containing 7 antibody, M14135, Boster Biological Technology, Immunofluorescence image  IF

Immunofluorescence

Supplier data
Origene
TA501391
Mouse Mono [clone 1G3], 100 ul
Cn, Hu, Pr, Rt
IF, WB
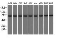
Kelch Repeat And BTB Domain Containing 7 antibody, TA501391, Origene, Western Blot image  WB
Supplier data
Novus Biologicals
NBP2-02742
Mouse Mono [1G3], 100 ul
Cn, Hu, Pr, Rt
ICC, IF, WB
Kelch Repeat And BTB Domain Containing 7 antibody, NBP2-02742, Novus Biologicals, Immunocytochemistry image  ICC, Kelch Repeat And BTB Domain Containing 7 antibody, NBP2-02742, Novus Biologicals, Western Blot image  WB
Supplier data
Lifespan Biosciences
LS-C115380
Mouse Mono [1G3], 1 Vial
Cn, Hu, Pr, Rt
IF, WB
Kelch Repeat And BTB Domain Containing 7 antibody, LS-C115380, Lifespan Biosciences, Western Blot image  WB