2 million antibody products . Find yours today
View products

50 matching PYM Homolog 1, Exon Junction Complex Associated Factor monoclonal antibodies from 3 suppliers

Superstar Kits

PYM Homolog 1, Exon Junction Complex Associated Factor information

Aliases

PYM Homolog 1, Exon Junction Complex Associated Factor is also known as Partner of Y14 and mago, Protein wibg homolog, PYM, PYM1, WIBG

4 Applications, 1 Species currently selected

All  None         
  WB External link   IHC-P External link   IHC-F External link   IF External link
Human  External link   28      26      26       3   

View matching ELISA Kits

PYM Homolog 1, Exon Junction Complex Associated Factor monoclonal antibodies

50 PYM Homolog 1, Exon Junction Complex Associated Factor monoclonal antibodies from 3 antibody suppliers Click each PYM Homolog 1, Exon Junction Complex Associated Factor monoclonal antibody that interests you to view the full PYM Homolog 1, Exon Junction Complex Associated Factor monoclonal antibody datasheet.

Western Blot - Use Filter to switch application

Supplier data
Novus Biologicals
NBP2-46366
Mouse Mono [5E2], 100 ul
Hu
IHC-F, IHC-P, WB
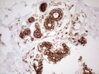
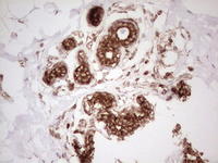
PYM Homolog 1, Exon Junction Complex Associated Factor antibody, NBP2-46366, Novus Biologicals, Immunohistochemistry frozen image  IHC-F, PYM Homolog 1, Exon Junction Complex Associated Factor antibody, NBP2-46366, Novus Biologicals, Immunohistochemistry paraffin image  IHC-P
Supplier data
Lifespan Biosciences
LS-C796966
Mouse Mono [LS-C796966], 1 Vial
Hu
IF, IHC-F, IHC-P, WB
PYM Homolog 1, Exon Junction Complex Associated Factor antibody, LS-C796966, Lifespan Biosciences, Immunofluorescence image  IF, IHC-F, PYM Homolog 1, Exon Junction Complex Associated Factor antibody, LS-C796966, Lifespan Biosciences, Immunohistochemistry paraffin image  IHC-P
Supplier data
Lifespan Biosciences
LS-C796967
Mouse Mono [LS-C796967], 1 Vial
Hu
IF, IHC-F, IHC-P, WB
PYM Homolog 1, Exon Junction Complex Associated Factor antibody, LS-C796967, Lifespan Biosciences, Immunofluorescence image  IF, IHC-F, PYM Homolog 1, Exon Junction Complex Associated Factor antibody, LS-C796967, Lifespan Biosciences, Immunohistochemistry paraffin image  IHC-P
Supplier data
Lifespan Biosciences
LS-C796963
Mouse Mono [LS-C796963], 1 Vial
Hu
IF, IHC-F, IHC-P, WB
PYM Homolog 1, Exon Junction Complex Associated Factor antibody, LS-C796963, Lifespan Biosciences, Immunofluorescence image  IF, IHC-F, PYM Homolog 1, Exon Junction Complex Associated Factor antibody, LS-C796963, Lifespan Biosciences, Immunohistochemistry paraffin image  IHC-P
Supplier data
Lifespan Biosciences
LS-C339949
Mouse Mono [OTI11C5], 1 Vial
Hu
IHC-F, IHC-P, WB
PYM Homolog 1, Exon Junction Complex Associated Factor antibody, LS-C339949, Lifespan Biosciences, Immunohistochemistry frozen image  IHC-F, PYM Homolog 1, Exon Junction Complex Associated Factor antibody, LS-C339949, Lifespan Biosciences, Immunohistochemistry paraffin image  IHC-P
Supplier data
Lifespan Biosciences
LS-C339981
Mouse Mono [OTI5E2], 1 Vial
Hu
IHC-F, IHC-P, WB
PYM Homolog 1, Exon Junction Complex Associated Factor antibody, LS-C339981, Lifespan Biosciences, Immunohistochemistry frozen image  IHC-F, PYM Homolog 1, Exon Junction Complex Associated Factor antibody, LS-C339981, Lifespan Biosciences, Immunohistochemistry paraffin image  IHC-P
Supplier data
Invitrogen Antibodies
MA5-26798
Mouse Mono [OTI1E10], 100 ul
Hu
IHC-F, IHC-P, WB
PYM Homolog 1, Exon Junction Complex Associated Factor antibody, MA5-26798, Invitrogen Antibodies, Immunohistochemistry frozen image  IHC-F, PYM Homolog 1, Exon Junction Complex Associated Factor antibody, MA5-26798, Invitrogen Antibodies, Immunohistochemistry paraffin image  IHC-P
Supplier data
Invitrogen Antibodies
MA5-26795
Mouse Mono [OTI5E2], 100 ul
Hu
IHC-F, IHC-P, WB
PYM Homolog 1, Exon Junction Complex Associated Factor antibody, MA5-26795, Invitrogen Antibodies, Immunohistochemistry frozen image  IHC-F, PYM Homolog 1, Exon Junction Complex Associated Factor antibody, MA5-26795, Invitrogen Antibodies, Immunohistochemistry paraffin image  IHC-P
Supplier data
Lifespan Biosciences
LS-C340033
Mouse Mono [OTI2C1], 1 Vial
Hu
IHC-F, IHC-P, WB
PYM Homolog 1, Exon Junction Complex Associated Factor antibody, LS-C340033, Lifespan Biosciences, Immunohistochemistry frozen image  IHC-F, PYM Homolog 1, Exon Junction Complex Associated Factor antibody, LS-C340033, Lifespan Biosciences, Immunohistochemistry paraffin image  IHC-P
Supplier data
Lifespan Biosciences
LS-C339990
Mouse Mono [OTI1E10], 1 Vial
Hu
IHC-F, IHC-P, WB
PYM Homolog 1, Exon Junction Complex Associated Factor antibody, LS-C339990, Lifespan Biosciences, Immunohistochemistry frozen image  IHC-F, PYM Homolog 1, Exon Junction Complex Associated Factor antibody, LS-C339990, Lifespan Biosciences, Immunohistochemistry paraffin image  IHC-P
Supplier data
Lifespan Biosciences
LS-C790938
Mouse Mono [LS-C790938], 1 Vial
Hu
IHC-F, IHC-P, WB
IHC-F, PYM Homolog 1, Exon Junction Complex Associated Factor antibody, LS-C790938, Lifespan Biosciences, Immunohistochemistry paraffin image  IHC-P
Supplier data
Lifespan Biosciences
LS-C790979
Mouse Mono [LS-C790979], 1 Vial
Hu
IHC-F, IHC-P, WB
IHC-F, PYM Homolog 1, Exon Junction Complex Associated Factor antibody, LS-C790979, Lifespan Biosciences, Immunohistochemistry paraffin image  IHC-P
Supplier data
Lifespan Biosciences
LS-C790930
Mouse Mono [LS-C790930], 1 Vial
Hu
IHC-F, IHC-P, WB
IHC-F, PYM Homolog 1, Exon Junction Complex Associated Factor antibody, LS-C790930, Lifespan Biosciences, Immunohistochemistry paraffin image  IHC-P
Supplier data
Lifespan Biosciences
LS-C790905
Mouse Mono [LS-C790905], 1 Vial
Hu
IHC-F, IHC-P, WB
IHC-F, PYM Homolog 1, Exon Junction Complex Associated Factor antibody, LS-C790905, Lifespan Biosciences, Immunohistochemistry paraffin image  IHC-P
Supplier data
Lifespan Biosciences
LS-C790937
Mouse Mono [LS-C790937], 1 Vial
Hu
WB
Supplier data
Lifespan Biosciences
LS-C798326
Mouse Mono [LS-C798326], 1 Vial
Hu
WB
Supplier data
Lifespan Biosciences
LS-C339991
Mouse Mono [OTI8D7], 1 Vial
Hu
WB
Supplier data
Lifespan Biosciences
LS-C339994
Mouse Mono [OTI2C7], 1 Vial
Hu
WB
Supplier data
Origene
TA806390
Mouse Mono [Clone OTI11C5], 100 ul
Hu
IHC-F, IHC-P, WB
IHC-F, IHC-P
Supplier data
Origene
TA806605
Mouse Mono [Clone OTI2C1], 100 ul
Hu
IHC-F, IHC-P, WB
IHC-F, IHC-P
Supplier data
Origene
UM800101
Mouse Mono [Clone UMAB209], 100 ul
Hu
IHC-F, IHC-P, WB
IHC-F, IHC-P
Supplier data
Origene
UM800099
Mouse Mono [Clone UMAB207], 100 ul
Hu
IHC-F, IHC-P, WB
IHC-F, IHC-P
Supplier data
Origene
TA806518
Mouse Mono [Clone OTI2C7], 100 ul
Hu
WB
Supplier data
Boster Biological Technology
M11210
Mouse Mono [OTI5E2], 100 ul
Hu
IHC-F, IHC-P, WB
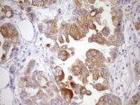
IHC-F, PYM Homolog 1, Exon Junction Complex Associated Factor antibody, M11210, Boster Biological Technology, Immunohistochemistry paraffin image  IHC-P
Supplier data
Origene
TA806508
Mouse Mono [Clone OTI1E10], 100 ul
Hu
IHC-F, IHC-P, WB
IHC-F, IHC-P
Supplier data
Origene
UM800100
Mouse Mono [Clone UMAB208], 100 ul
Hu
IHC-F, IHC-P, WB
IHC-F, IHC-P
Supplier data
Origene
TA806507
Mouse Mono [Clone OTI8D7], 100 ul
Hu
WB
Supplier data
Origene
TA806496
Mouse Mono [Clone OTI5E2], 100 ul
Hu
IHC-F, IHC-P, WB
IHC-F, IHC-P

Immunohistochemistry frozen

Supplier data
Novus Biologicals
NBP2-46366
Mouse Mono [5E2], 100 ul
Hu
IHC-F, IHC-P, WB
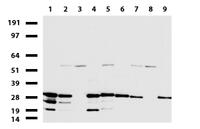
PYM Homolog 1, Exon Junction Complex Associated Factor antibody, NBP2-46366, Novus Biologicals, Immunohistochemistry paraffin image  IHC-P, PYM Homolog 1, Exon Junction Complex Associated Factor antibody, NBP2-46366, Novus Biologicals, Western Blot image  WB
Supplier data
Lifespan Biosciences
LS-C339949
Mouse Mono [OTI11C5], 1 Vial
Hu
IHC-F, IHC-P, WB
PYM Homolog 1, Exon Junction Complex Associated Factor antibody, LS-C339949, Lifespan Biosciences, Immunohistochemistry paraffin image  IHC-P, PYM Homolog 1, Exon Junction Complex Associated Factor antibody, LS-C339949, Lifespan Biosciences, Western Blot image  WB
Supplier data
Lifespan Biosciences
LS-C339981
Mouse Mono [OTI5E2], 1 Vial
Hu
IHC-F, IHC-P, WB
PYM Homolog 1, Exon Junction Complex Associated Factor antibody, LS-C339981, Lifespan Biosciences, Immunohistochemistry paraffin image  IHC-P, PYM Homolog 1, Exon Junction Complex Associated Factor antibody, LS-C339981, Lifespan Biosciences, Western Blot image  WB
Supplier data
Lifespan Biosciences
LS-C340033
Mouse Mono [OTI2C1], 1 Vial
Hu
IHC-F, IHC-P, WB
PYM Homolog 1, Exon Junction Complex Associated Factor antibody, LS-C340033, Lifespan Biosciences, Immunohistochemistry paraffin image  IHC-P, PYM Homolog 1, Exon Junction Complex Associated Factor antibody, LS-C340033, Lifespan Biosciences, Western Blot image  WB
Supplier data
Lifespan Biosciences
LS-C339990
Mouse Mono [OTI1E10], 1 Vial
Hu
IHC-F, IHC-P, WB
PYM Homolog 1, Exon Junction Complex Associated Factor antibody, LS-C339990, Lifespan Biosciences, Immunohistochemistry paraffin image  IHC-P, PYM Homolog 1, Exon Junction Complex Associated Factor antibody, LS-C339990, Lifespan Biosciences, Western Blot image  WB
Supplier data
Lifespan Biosciences
LS-C339988
Mouse Mono [OTI9C7], 1 Vial
Hu
IHC-F, IHC-P
PYM Homolog 1, Exon Junction Complex Associated Factor antibody, LS-C339988, Lifespan Biosciences, Immunohistochemistry paraffin image  IHC-P
Supplier data
Invitrogen Antibodies
MA5-26798
Mouse Mono [OTI1E10], 100 ul
Hu
IHC-F, IHC-P, WB
PYM Homolog 1, Exon Junction Complex Associated Factor antibody, MA5-26798, Invitrogen Antibodies, Immunohistochemistry paraffin image  IHC-P, PYM Homolog 1, Exon Junction Complex Associated Factor antibody, MA5-26798, Invitrogen Antibodies, Western Blot image  WB
Supplier data
Invitrogen Antibodies
MA5-26795
Mouse Mono [OTI5E2], 100 ul
Hu
IHC-F, IHC-P, WB
PYM Homolog 1, Exon Junction Complex Associated Factor antibody, MA5-26795, Invitrogen Antibodies, Immunohistochemistry paraffin image  IHC-P, PYM Homolog 1, Exon Junction Complex Associated Factor antibody, MA5-26795, Invitrogen Antibodies, Western Blot image  WB
Supplier data
Invitrogen Antibodies
MA5-26797
Mouse Mono [OTI9C7], 100 ul
Hu
IHC-F, IHC-P
PYM Homolog 1, Exon Junction Complex Associated Factor antibody, MA5-26797, Invitrogen Antibodies, Immunohistochemistry paraffin image  IHC-P
Supplier data
Origene
TA806506
Mouse Mono [Clone OTI9C7], 100 ul
Hu
IHC-F, IHC-P
PYM Homolog 1, Exon Junction Complex Associated Factor antibody, TA806506, Origene, Immunohistochemistry paraffin image  IHC-P

Immunohistochemistry paraffin

Supplier data
Novus Biologicals
NBP2-46366
Mouse Mono [5E2], 100 ul
Hu
IHC-F, IHC-P, WB
PYM Homolog 1, Exon Junction Complex Associated Factor antibody, NBP2-46366, Novus Biologicals, Immunohistochemistry frozen image  IHC-F, PYM Homolog 1, Exon Junction Complex Associated Factor antibody, NBP2-46366, Novus Biologicals, Western Blot image  WB