2 million antibody products . Find yours today
View products

16 matching Mitochondrial Ribosomal Protein L44 monoclonal antibodies from 2 suppliers

Superstar Kits

Mitochondrial Ribosomal Protein L44 information

Aliases

Mitochondrial Ribosomal Protein L44 is also known as L44mt, MRPL44, RM44

7 Applications, 3 Species currently selected

All  None               
  WB External link   IHC-P External link   IF External link   IHC-F External link   FACS External link   IP External link   ELISA External link
Human  External link   33      13      10       9       6       4       4   
Rat  External link   18       7       9       3       6       3       3   
Mouse  External link   17       7       8       3       6       2       2   

View matching ELISA Kits

Mitochondrial Ribosomal Protein L44 monoclonal antibodies

16 Mitochondrial Ribosomal Protein L44 monoclonal antibodies from 2 antibody suppliers Click each Mitochondrial Ribosomal Protein L44 monoclonal antibody that interests you to view the full Mitochondrial Ribosomal Protein L44 monoclonal antibody datasheet.

Western Blot - Use Filter to switch application

Supplier data
Origene
TA810592S
Mouse Mono [OTI1A8], 30 ul
Hu, Mo, Rt
WB
Supplier data
Origene
TA810591S
Mouse Mono [OTI1D1], 30 ul
Hu, Mo, Rt
WB
Supplier data
Origene
TA810573S
Mouse Mono [OTI1A2], 30 ul
Hu, Mo, Rt
IHC-F, IHC-P, WB
IHC-F, IHC-P
Supplier data
Origene
CF810592
Mouse Mono [clone OTI1A1], 100 ug
Hu
WB
Supplier data
Origene
CF810591
Mouse Mono [clone OTI2A8], 100 ug
Hu
WB
Supplier data
Lifespan Biosciences
LS-C792503
Mouse Mono [LS-C792503], 1 Vial
Hu
IHC-F, IHC-P, WB
IHC-F, Mitochondrial Ribosomal Protein L44 antibody, LS-C792503, Lifespan Biosciences, Immunohistochemistry paraffin image  IHC-P
Supplier data
Lifespan Biosciences
LS-C795529
Mouse Mono [LS-C795529], 1 Vial
Hu
IHC-F, IHC-P, WB
IHC-F, Mitochondrial Ribosomal Protein L44 antibody, LS-C795529, Lifespan Biosciences, Immunohistochemistry paraffin image  IHC-P
Supplier data
Lifespan Biosciences
LS-C792509
Mouse Mono [LS-C792509], 1 Vial
Hu
WB
Supplier data
Origene
TA810592
Mouse Mono [clone OTI1A1], 100 ul
Hu
WB
Supplier data
Origene
TA810591
Mouse Mono [clone OTI2A8], 100 ul
Hu
WB
Supplier data
Origene
TA810573
Mouse Mono [clone OTI3H5], 100 ul
Hu
IHC-F, IHC-P, WB
IHC-F, IHC-P
Supplier data
Origene
CF810573
Mouse Mono [clone OTI3H5], 100 ug
Hu
IHC-F, IHC-P, WB
IHC-F, IHC-P
Supplier data
Lifespan Biosciences
LS-C792513
Mouse Mono [LS-C792513], 1 Vial
Hu
WB
Supplier data
Lifespan Biosciences
LS-C795535
Mouse Mono [LS-C795535], 1 Vial
Hu
WB
Supplier data
Invitrogen Antibodies
MA5-27323
Mouse Mono [OTI3H5], 100 ul
Hu
IHC-F, IHC-P, WB
Mitochondrial Ribosomal Protein L44 antibody, MA5-27323, Invitrogen Antibodies, Immunohistochemistry frozen image  IHC-F, Mitochondrial Ribosomal Protein L44 antibody, MA5-27323, Invitrogen Antibodies, Immunohistochemistry paraffin image  IHC-P
Supplier data
Boster Biological Technology
M10898
Mouse Mono [OTI3H5], 100 ul
Hu
IHC-F, IHC-P, WB
IHC-F, Mitochondrial Ribosomal Protein L44 antibody, M10898, Boster Biological Technology, Immunohistochemistry paraffin image  IHC-P
Supplier data
Lifespan Biosciences
LS-C799079
Mouse Mono [LS-C799079], 1 Vial
Hu
WB

Immunohistochemistry paraffin

Supplier data
Lifespan Biosciences
LS-C792503
Mouse Mono [LS-C792503], 1 Vial
Hu
IHC-F, IHC-P, WB
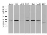
IHC-F, Mitochondrial Ribosomal Protein L44 antibody, LS-C792503, Lifespan Biosciences, Western Blot image  WB
Supplier data
Lifespan Biosciences
LS-C795529
Mouse Mono [LS-C795529], 1 Vial
Hu
IHC-F, IHC-P, WB
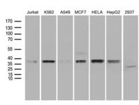
IHC-F, Mitochondrial Ribosomal Protein L44 antibody, LS-C795529, Lifespan Biosciences, Western Blot image  WB
Supplier data
Invitrogen Antibodies
MA5-27323
Mouse Mono [OTI3H5], 100 ul
Hu
IHC-F, IHC-P, WB
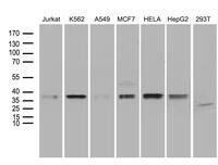
Mitochondrial Ribosomal Protein L44 antibody, MA5-27323, Invitrogen Antibodies, Immunohistochemistry frozen image  IHC-F, Mitochondrial Ribosomal Protein L44 antibody, MA5-27323, Invitrogen Antibodies, Western Blot image  WB
Supplier data
Boster Biological Technology
M10898
Mouse Mono [OTI3H5], 100 ul
Hu
IHC-F, IHC-P, WB
IHC-F, Mitochondrial Ribosomal Protein L44 antibody, M10898, Boster Biological Technology, Western Blot image  WB

Immunohistochemistry frozen

Supplier data
Invitrogen Antibodies
MA5-27323
Mouse Mono [OTI3H5], 100 ul
Hu
IHC-F, IHC-P, WB
Mitochondrial Ribosomal Protein L44 antibody, MA5-27323, Invitrogen Antibodies, Immunohistochemistry paraffin image  IHC-P, Mitochondrial Ribosomal Protein L44 antibody, MA5-27323, Invitrogen Antibodies, Western Blot image  WB