2 million antibody products . Find yours today
View products

52 matching Mitochondrial Ribosomal Protein L34 antibodies from 8 suppliers

Superstar Kits

Mitochondrial Ribosomal Protein L34 information

Aliases

Mitochondrial Ribosomal Protein L34 is also known as L34mt, MRPL34, RM34

6 Applications, 3 Species currently selected

All  None             
  IHC-P External link   IHC-F External link   WB External link   IF External link   ICC External link   ELISA External link
Human  External link   12       9       8       6       4       3   
Mouse  External link    7       5       6       2       3   
Rat  External link    2       2       4       2       2   

View matching ELISA Kits

Mitochondrial Ribosomal Protein L34 antibodies

52 Mitochondrial Ribosomal Protein L34 antibodies from 8 antibody suppliers Click each Mitochondrial Ribosomal Protein L34 antibody that interests you to view the full Mitochondrial Ribosomal Protein L34 antibody datasheet.
View only Mitochondrial Ribosomal Protein L34 Monoclonal Antibodies or Mitochondrial Ribosomal Protein L34 Polyclonal Antibodies

Immunohistochemistry paraffin - Use Filter to switch application

Supplier data
FineTest
FNab05328
Rabbit Poly, 100 ug
Hu, Mo, Rt
ELISA, IF, IHC-F, IHC-P, WB
ELISA, IF, Mitochondrial Ribosomal Protein L34 antibody, FNab05328, FineTest, Immunohistochemistry frozen image  IHC-F, Mitochondrial Ribosomal Protein L34 antibody, FNab05328, FineTest, Western Blot image  WB
Supplier data
Atlas Antibodies
HPA049276
Rabbit Poly, 100 ul
Hu
ICC, IF, IHC-F, IHC-P
Mitochondrial Ribosomal Protein L34 antibody, HPA049276, Atlas Antibodies, Immunocytochemistry image  ICC, Mitochondrial Ribosomal Protein L34 antibody, HPA049276, Atlas Antibodies, Immunofluorescence image  IF, Mitochondrial Ribosomal Protein L34 antibody, HPA049276, Atlas Antibodies, Immunohistochemistry frozen image  IHC-F
Supplier data
Origene
TA315758
Rabbit Poly, 100 ul
Hu, Mo
IHC-F, IHC-P
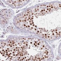
Mitochondrial Ribosomal Protein L34 antibody, TA315758, Origene, Immunohistochemistry frozen image  IHC-F
Supplier data
Proteintech Group
15233-1-AP
Rabbit Poly, 150 ul
Hu, Mo, Rt
ELISA, IF, IHC-F, IHC-P, WB
ELISA, Mitochondrial Ribosomal Protein L34 antibody, 15233-1-AP, Proteintech Group, Immunofluorescence image  IF, Mitochondrial Ribosomal Protein L34 antibody, 15233-1-AP, Proteintech Group, Immunohistochemistry frozen image  IHC-F, Mitochondrial Ribosomal Protein L34 antibody, 15233-1-AP, Proteintech Group, Western Blot image  WB
Supplier data
Novus Biologicals
NBP2-13616
Rabbit Poly, 100 ul
Hu
ICC, IF, IHC-F, IHC-P, WB
Mitochondrial Ribosomal Protein L34 antibody, NBP2-13616, Novus Biologicals, Immunocytochemistry image  ICC, Mitochondrial Ribosomal Protein L34 antibody, NBP2-13616, Novus Biologicals, Immunofluorescence image  IF, Mitochondrial Ribosomal Protein L34 antibody, NBP2-13616, Novus Biologicals, Immunohistochemistry frozen image  IHC-F, Mitochondrial Ribosomal Protein L34 antibody, NBP2-13616, Novus Biologicals, Western Blot image  WB
Supplier data
Lifespan Biosciences
LS-B12525
Rabbit Poly, 1 Vial
Hu, Mo
ELISA, IHC-P
ELISA
Supplier data
Boster Biological Technology
A16116
Rabbit Poly, 100 ug
Hu, Mo
IHC-F, IHC-P
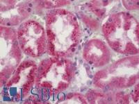
Mitochondrial Ribosomal Protein L34 antibody, A16116, Boster Biological Technology, Immunohistochemistry frozen image  IHC-F
Supplier data
Invitrogen Antibodies
PA5-61922
Rabbit Poly, 100 ul
Hu
ICC, IF, IHC-F, IHC-P, WB
ICC, Mitochondrial Ribosomal Protein L34 antibody, PA5-61922, Invitrogen Antibodies, Immunofluorescence image  IF, Mitochondrial Ribosomal Protein L34 antibody, PA5-61922, Invitrogen Antibodies, Immunohistochemistry frozen image  IHC-F, Mitochondrial Ribosomal Protein L34 antibody, PA5-61922, Invitrogen Antibodies, Western Blot image  WB
Supplier data
Invitrogen Antibodies
PA5-38963
Rabbit Poly, 100 ug
Hu, Mo
IHC-F, IHC-P
Mitochondrial Ribosomal Protein L34 antibody, PA5-38963, Invitrogen Antibodies, Immunohistochemistry frozen image  IHC-F
Supplier data
Sino Biological
201519-T02
Rabbit Poly, 200 ul
Hu
ICC, IF, IHC-F, IHC-P
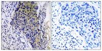
ICC, IF, Mitochondrial Ribosomal Protein L34 antibody, 201519-T02, Sino Biological, Immunohistochemistry frozen image  IHC-F
Supplier data
GeneTex
GTX87218
Rabbit Poly, 100 ug
Hu
IHC-P