2 million antibody products . Find yours today
View products

67 matching antibodies for Immunofluorescence from 12 suppliers

Superstar Kits

information

Aliases

is also known as bHLHb24, Id, Id-1, ID1, Idb1, IDNK, Inhibitor of DNA binding 1

View matching ELISA Kits

67 matching antibodies for Immunofluorescence after applying filters

Click each antibody that interests you to view the full antibody datasheet.
View only Monoclonal Antibodies or Polyclonal Antibodies

Immunofluorescence - Use Filter to switch application

Supplier data
Atlas Antibodies
HPA058518
Rabbit Poly, 100 ul
Hu
ICC, IF
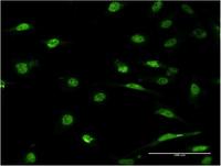
 antibody, HPA058518, Atlas Antibodies, Immunocytochemistry image  ICC
Supplier data
Atlas Antibodies
HPA051456
Rabbit Poly, 100 ul
Hu
ICC, IF
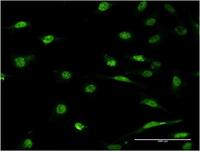
 antibody, HPA051456, Atlas Antibodies, Immunocytochemistry image  ICC
Supplier data
Proteintech Group
18475-1-AP
Rabbit Poly, 150 ul
Hu, Mo, Rt
ELISA, IF, WB
ELISA,  antibody, 18475-1-AP, Proteintech Group, Western Blot image  WB
Supplier data
R&D Systems
AF4377
Goat Poly, 100 ug
Hu, Mo
ICC, IF, WB
 antibody, AF4377, R&D Systems, Immunocytochemistry image  ICC,  antibody, AF4377, R&D Systems, Western Blot image  WB
Supplier data
Novus Biologicals
NBP2-66897
Rabbit Mono [JM92-13], 100 ul
Hu
FACS, ICC, IF, IHC-F, IHC-P, WB
 antibody, NBP2-66897, Novus Biologicals, Flow Cytometry image  FACS,  antibody, NBP2-66897, Novus Biologicals, Immunocytochemistry image  ICC, IHC-F,  antibody, NBP2-66897, Novus Biologicals, Immunohistochemistry paraffin image  IHC-P,  antibody, NBP2-66897, Novus Biologicals, Western Blot image  WB
Supplier data
Novus Biologicals
H00003397-M02
Mouse Mono [1F7], 100 ug
Hu
ELISA, ICC, IF, WB
 antibody, H00003397-M02, Novus Biologicals, Enzyme Linked Immunosorbent Assay image  ELISA,  antibody, H00003397-M02, Novus Biologicals, Immunocytochemistry image  ICC,  antibody, H00003397-M02, Novus Biologicals, Western Blot image  WB
Supplier data
Novus Biologicals
H00003397-M04
Mouse Mono [4G11], 100 ug
Hu
ELISA, ICC, IF, WB
 antibody, H00003397-M04, Novus Biologicals, Enzyme Linked Immunosorbent Assay image  ELISA,  antibody, H00003397-M04, Novus Biologicals, Immunocytochemistry image  ICC,  antibody, H00003397-M04, Novus Biologicals, Western Blot image  WB
Supplier data
Novus Biologicals
H00003397-M10
Mouse Mono [3A9], 100 ug
Hu
ELISA, ICC, IF, WB
 antibody, H00003397-M10, Novus Biologicals, Enzyme Linked Immunosorbent Assay image  ELISA,  antibody, H00003397-M10, Novus Biologicals, Immunocytochemistry image  ICC, WB
Supplier data
Novus Biologicals
H00003397-M14
Mouse Mono [3F3], 100 ug
Hu
ELISA, ICC, IF, WB
 antibody, H00003397-M14, Novus Biologicals, Enzyme Linked Immunosorbent Assay image  ELISA,  antibody, H00003397-M14, Novus Biologicals, Immunocytochemistry image  ICC, WB
Supplier data
Invitrogen Antibodies
MA5-19171
Mouse Mono [4F6], 100 ug
Hu
ELISA, ICC, IF, WB
 antibody, MA5-19171, Invitrogen Antibodies, Enzyme Linked Immunosorbent Assay image  ELISA, ICC, WB
Supplier data
Invitrogen Antibodies
MA5-19170
Mouse Mono [3F3], 100 ug
Hu
ELISA, ICC, IF, WB
 antibody, MA5-19170, Invitrogen Antibodies, Enzyme Linked Immunosorbent Assay image  ELISA, ICC, WB
Supplier data
Invitrogen Antibodies
MA5-19169
Mouse Mono [3A9], 100 ug
Hu
ELISA, ICC, IF, WB
 antibody, MA5-19169, Invitrogen Antibodies, Enzyme Linked Immunosorbent Assay image  ELISA, ICC, WB
Supplier data
Novus Biologicals
NBP2-55521
Rabbit Poly, 100 ul
Hu
ICC, IF
 antibody, NBP2-55521, Novus Biologicals, Immunocytochemistry image  ICC
Supplier data
Novus Biologicals
NBP2-56771
Rabbit Poly, 100 ul
Hu
ICC, IF
 antibody, NBP2-56771, Novus Biologicals, Immunocytochemistry image  ICC
Supplier data
Lifespan Biosciences
LS-C165110
Rabbit Poly, 100 ug
Hu, Mo
FACS, IF, IHC-F, IHC-P, WB
 antibody, LS-C165110, Lifespan Biosciences, Flow Cytometry image  FACS,  antibody, LS-C165110, Lifespan Biosciences, Immunohistochemistry frozen image  IHC-F,  antibody, LS-C165110, Lifespan Biosciences, Immunohistochemistry paraffin image  IHC-P,  antibody, LS-C165110, Lifespan Biosciences, Western Blot image  WB
Supplier data
Lifespan Biosciences
LS-C342646
Mouse Mono [2456C1a], 1 Vial
Hu
DB, ICC, IF, WB
DB, ICC,  antibody, LS-C342646, Lifespan Biosciences, Western Blot image  WB
Supplier data
ProSci
56-010
Rabbit Poly, 400 ul
Hu, Rt
FACS, IF, IHC-F, IHC-P, WB
FACS,  antibody, 56-010, ProSci, Immunohistochemistry frozen image  IHC-F,  antibody, 56-010, ProSci, Immunohistochemistry paraffin image  IHC-P,  antibody, 56-010, ProSci, Western Blot image  WB
Supplier data
Cusabio
CSB-RA253477A0HU
Human Mono [CSB-RA253477A0HU], 100 ul
Hu
ELISA, IF, WB
ELISA,  antibody, CSB-RA253477A0HU, Cusabio, Western Blot image  WB
Supplier data
GeneTex
GTX53624
Rabbit Poly, 400 ul
Hu, Mo, Rt
FACS, ICC, IF, IHC-P, WB
 antibody, GTX53624, GeneTex, Flow Cytometry image  FACS,  antibody, GTX53624, GeneTex, Immunocytochemistry image  ICC,  antibody, GTX53624, GeneTex, Immunohistochemistry paraffin image  IHC-P,  antibody, GTX53624, GeneTex, Western Blot image  WB
Supplier data
GeneTex
GTX133738
Rabbit Poly, 100 ul
Hu, Mo
ICC, IF, WB
 antibody, GTX133738, GeneTex, Immunocytochemistry image  ICC,  antibody, GTX133738, GeneTex, Western Blot image  WB

Western Blot

Supplier data
Proteintech Group
18475-1-AP
Rabbit Poly, 150 ul
Hu, Mo, Rt
ELISA, IF, WB
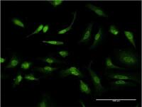
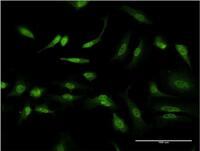
ELISA,  antibody, 18475-1-AP, Proteintech Group, Immunofluorescence image  IF

Related antibodies

antibodies are often published withAssociated citations
Inhibitor Of DNA Binding 3, HLH Protein4.0%
Vimentin3.4%
CD192.8%
GFAP2.8%
Inhibitor Of DNA Binding 22.8%
Iduronate 2-Sulfatase2.8%
Human IgG2.8%
GAPDH2.3%
CD202.3%
CD32.3%