2 million antibody products . Find yours today
View products

54 matching Kruppel Like Factor 7 monoclonal antibodies from 7 suppliers

Superstar Kits

Kruppel Like Factor 7 information

Aliases

Kruppel Like Factor 7 is also known as KLF7, Krueppel-like factor 7, UKLF

4 Applications, 3 Species currently selected

All  None         
  WB External link   ELISA External link   IHC-P External link   IHC-F External link
Human  External link   25       5       1       1   
Mouse  External link   13       1   
Rat  External link    1       1   

View matching ELISA Kits

Kruppel Like Factor 7 monoclonal antibodies

54 Kruppel Like Factor 7 monoclonal antibodies from 7 antibody suppliers Click each Kruppel Like Factor 7 monoclonal antibody that interests you to view the full Kruppel Like Factor 7 monoclonal antibody datasheet.

Western Blot - Use Filter to switch application

Supplier data
Origene
CF812003
Mouse Mono [OTI2G3], 100 ug
Hu, Mo
WB
Supplier data
Origene
CF812009
Mouse Mono [OTI4D1], 100 ug
Hu, Mo
WB
Supplier data
Origene
TA812004S
Mouse Mono [OTI1A1], 30 ul
Hu, Mo
WB
Supplier data
Origene
CF812008
Mouse Mono [OTI4D1], 100 ug
Hu, Mo
WB
Supplier data
Origene
TA812003S
Mouse Mono [OTI1A1], 30 ul
Hu, Mo
WB
Supplier data
MyBioSource
MBS200270
Mouse Mono [AT3G3], 50 ul
Hu
ELISA, WB
ELISA
Supplier data
Novus Biologicals
H00008609-M01
Mouse Mono [3E8-B8], 100 ug
Hu, Rt
ELISA, WB
Kruppel Like Factor 7 antibody, H00008609-M01, Novus Biologicals, Enzyme Linked Immunosorbent Assay image  ELISA
Supplier data
Novus Biologicals
NBP2-42626
Mouse Mono [3G3], 100 ul
Hu
ELISA, WB
ELISA
Supplier data
Origene
CF812007
Mouse Mono [OTI2G3], 100 ug
Hu, Mo
WB
Supplier data
Origene
CF812004
Mouse Mono [OTI2G3], 100 ug
Hu, Mo
WB
Supplier data
Origene
TA812009
Mouse Mono [clone OTI8D7], 100 ul
Hu, Mo
WB
Supplier data
Origene
TA812004
Mouse Mono [clone OTI7G1], 100 ul
Hu, Mo
WB
Supplier data
Origene
TA812008
Mouse Mono [clone OTI1A7], 100 ul
Hu
WB
Supplier data
Origene
TA812007
Mouse Mono [clone OTI10D1], 100 ul
Hu
WB
Supplier data
Origene
AM50041PU-S
Mouse Mono [Clone AT3G3], 50 ul
Hu
WB
Supplier data
Origene
AM50041PU-N
Mouse Mono [Clone AT3G3], 100 ul
Hu
WB
Supplier data
Origene
TA812003
Mouse Mono [clone OTI3F6], 100 ul
Hu
WB
Supplier data
Lifespan Biosciences
LS-C200839
Mouse Mono [AT3G3], 1 Vial
Hu
ELISA, IHC-F, IHC-P, WB
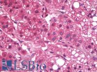
ELISA, Kruppel Like Factor 7 antibody, LS-C200839, Lifespan Biosciences, Immunohistochemistry frozen image  IHC-F, Kruppel Like Factor 7 antibody, LS-C200839, Lifespan Biosciences, Immunohistochemistry paraffin image  IHC-P
Supplier data
Lifespan Biosciences
LS-C796218
Mouse Mono [LS-C796218], 1 Vial
Hu
WB
Supplier data
Lifespan Biosciences
LS-C796217
Mouse Mono [LS-C796217], 1 Vial
Hu, Mo
WB
Supplier data
Lifespan Biosciences
LS-C796216
Mouse Mono [LS-C796216], 1 Vial
Hu
WB
Supplier data
Lifespan Biosciences
LS-C796215
Mouse Mono [LS-C796215], 1 Vial
Hu, Mo
WB
Supplier data
GeneTex
GTX53734
Mouse Mono [AT3G3], 100 ul
Hu, Mo
ELISA, WB
ELISA
Supplier data
Boster Biological Technology
M06749
Mouse Mono [OTI7G1], 100 ul
Hu, Mo
WB
Supplier data
Lifespan Biosciences
LS-C796214
Mouse Mono [LS-C796214], 1 Vial
Hu
WB

Enzyme Linked Immunosorbent Assay

Supplier data
Novus Biologicals
H00008609-M01
Mouse Mono [3E8-B8], 100 ug
Hu, Rt
ELISA, WB
Kruppel Like Factor 7 antibody, H00008609-M01, Novus Biologicals, Western Blot image  WB

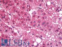
Immunohistochemistry paraffin

Supplier data
Lifespan Biosciences
LS-C200839
Mouse Mono [AT3G3], 1 Vial
Hu
ELISA, IHC-F, IHC-P, WB
ELISA, Kruppel Like Factor 7 antibody, LS-C200839, Lifespan Biosciences, Immunohistochemistry frozen image  IHC-F, Kruppel Like Factor 7 antibody, LS-C200839, Lifespan Biosciences, Western Blot image  WB

Immunohistochemistry frozen

Supplier data
Lifespan Biosciences
LS-C200839
Mouse Mono [AT3G3], 1 Vial
Hu
ELISA, IHC-F, IHC-P, WB
ELISA, Kruppel Like Factor 7 antibody, LS-C200839, Lifespan Biosciences, Immunohistochemistry paraffin image  IHC-P, Kruppel Like Factor 7 antibody, LS-C200839, Lifespan Biosciences, Western Blot image  WB